验证数据展示
经过测试的应用
| Positive WB detected in | HeLa cells, HepG2 cells, MCF-7 cells |
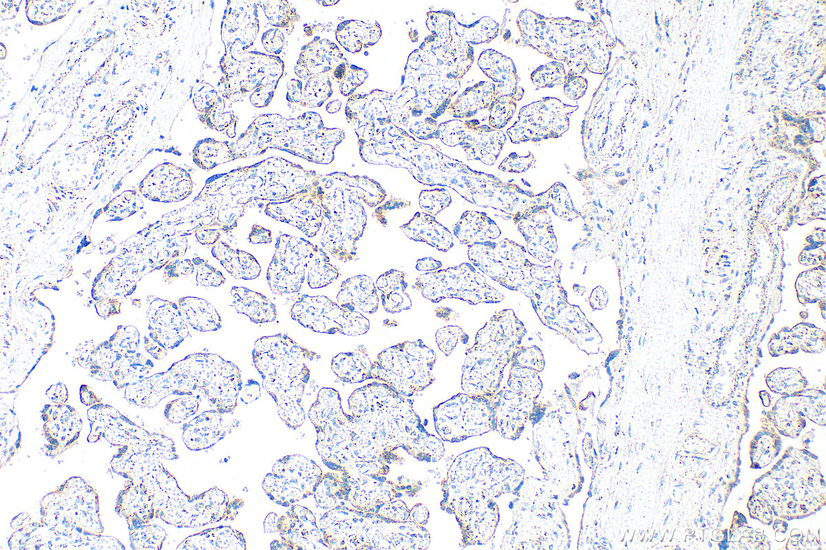
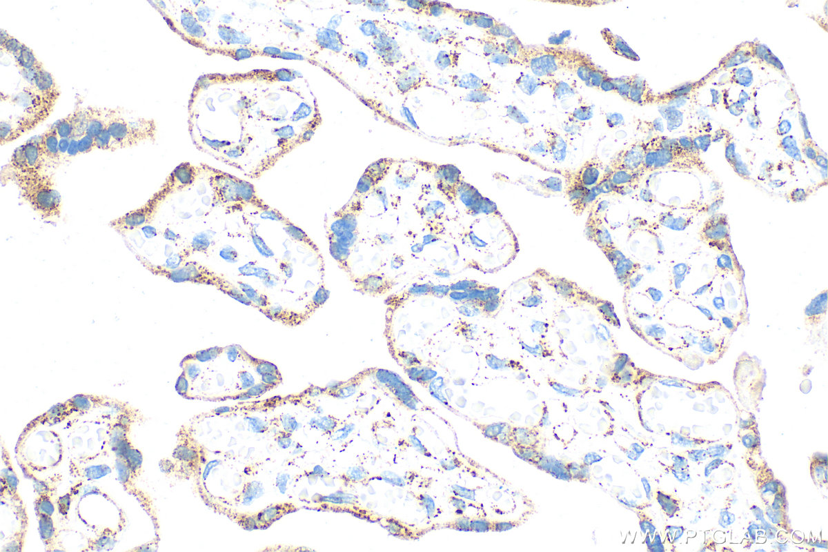
| Positive IHC detected in | human placenta tissue Note: suggested antigen retrieval with TE buffer pH 9.0; (*) Alternatively, antigen retrieval may be performed with citrate buffer pH 6.0 |
| Positive IF/ICC detected in | HeLa cells |
推荐稀释比
| 应用 | 推荐稀释比 |
|---|---|
| Western Blot (WB) | WB : 1:5000-1:50000 |
| Immunohistochemistry (IHC) | IHC : 1:300-1:1200 |
| Immunofluorescence (IF)/ICC | IF/ICC : 1:200-1:800 |
| It is recommended that this reagent should be titrated in each testing system to obtain optimal results. | |
| Sample-dependent, Check data in validation data gallery. | |
产品信息
31174-1-AP targets DLST in WB, IHC, IF/ICC, ELISA applications and shows reactivity with human samples.
| 经测试应用 | WB, IHC, IF/ICC, ELISA Application Description |
| 经测试反应性 | human |
| 免疫原 |
CatNo: Ag34753 Product name: Recombinant human DLST protein Source: e coli.-derived, PGEX-4T Tag: GST Domain: 212-366 aa of BC001922 Sequence: EPGAGKGLRSEHREKMNRMRQRIAQRLKEAQNTCAMLTTFNEIDMSNIQEMRARHKEAFLKKHNLKLGFMSAFVKASAFALQEQPVVNAVIDDTTKEVVYRDYIDISVAVATPRGLVVPVIRNVEAMNFADIERTITELGEKARKNELAIEDMDG 种属同源性预测 |
| 宿主/亚型 | Rabbit / IgG |
| 抗体类别 | Polyclonal |
| 产品类型 | Antibody |
| 全称 | dihydrolipoamide S-succinyltransferase (E2 component of 2-oxo-glutarate complex) |
| 别名 | DLTS, OGDC E2 |
| 计算分子量 | 49 kDa |
| 观测分子量 | 40 kDa, 49 kDa |
| GenBank蛋白编号 | BC001922 |
| 基因名称 | DLST |
| Gene ID (NCBI) | 1743 |
| RRID | AB_3742403 |
| 偶联类型 | Unconjugated |
| 形式 | Liquid |
| 纯化方式 | Antigen affinity Purification |
| UNIPROT ID | P36957 |
| 储存缓冲液 | PBS with 0.02% sodium azide and 50% glycerol, pH 7.3. |
| 储存条件 | Store at -20°C. Stable for one year after shipment. Aliquoting is unnecessary for -20oC storage. |
背景介绍
DLST (Dihydrolipoyllysine-residue succinyltransferase component of 2-oxoglutarate dehydrogenase complex) ) is the E2 transferase of α-ketoglutarate dehydrogenase complex (KGDHC) that regulates the irreversible conversion of α-ketoglutarate to succinyl-CoA in the TCA cycle.RNAi knockdown of DLST led to decreased cell viability and induction of apoptosis in human T-ALL cell lines. High DLST expression predicts poor overall and recurrencefree survival among TNBC patients (PMID: 26876595, 34785772). DLST has two isoforms of 40 kDa, 49 kDa.
实验方案
| Product Specific Protocols | |
|---|---|
| IF protocol for DLST antibody 31174-1-AP | Download protocol |
| IHC protocol for DLST antibody 31174-1-AP | Download protocol |
| WB protocol for DLST antibody 31174-1-AP | Download protocol |
| Standard Protocols | |
|---|---|
| Click here to view our Standard Protocols |



