验证数据展示
经过测试的应用
| Positive WB detected in | mouse placenta tissue, mouse ovary tissue, 3T3-L1 cells, MCF-7 cells, A549 cells, mouse brain tissue |
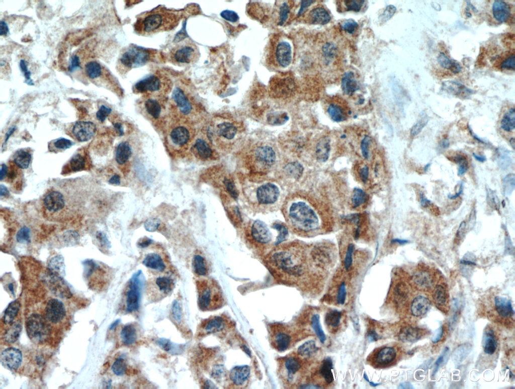
| Positive IHC detected in | human pancreas cancer tissue, human breast cancer tissue Note: suggested antigen retrieval with TE buffer pH 9.0; (*) Alternatively, antigen retrieval may be performed with citrate buffer pH 6.0 |
推荐稀释比
| 应用 | 推荐稀释比 |
|---|---|
| Western Blot (WB) | WB : 1:500-1:1000 |
| Immunohistochemistry (IHC) | IHC : 1:500-1:2000 |
| It is recommended that this reagent should be titrated in each testing system to obtain optimal results. | |
| Sample-dependent, Check data in validation data gallery. | |
产品信息
10636-1-AP targets DLK1 in WB, IHC, IF, ELISA applications and shows reactivity with human, mouse, rat samples.
| 经测试应用 | WB, IHC, ELISA Application Description |
| 文献引用应用 | WB, IHC, IF |
| 经测试反应性 | human, mouse, rat |
| 文献引用反应性 | human, mouse, rat, pig |
| 免疫原 |
CatNo: Ag0991 Product name: Recombinant human DLK1 protein Source: e coli.-derived, PGEX-4T Tag: GST Domain: 83-383 aa of BC007741 Sequence: ELCDRDVRACSSAPCANNGTCVSLDDGLYECSCAPGYSGKDCQKKDGPCVINGSPCQHGGTCVDDEGRASHASCLCPPGFSGNFCEIVANSCTPNPCENDGVCTDIGGDFRCRCPAGFIDKTCSRPVTNCASSPCQNGGTCLQHTQVSYECLCKPEFTGLTCVKKRALSPQQVTRLPNGYGLAYRLTPGVHELPVQQPEHRILKVSMKELNKKTPLLTEGQAICFTILGVLTSLVVLGTVGIVFLNKCETWVSNLRYNHMLRKKKNLLLQYNSGEDLAVNIIFPEKIDMTTFSKEAGDEEI 种属同源性预测 |
| 宿主/亚型 | Rabbit / IgG |
| 抗体类别 | Polyclonal |
| 产品类型 | Antibody |
| 全称 | delta-like 1 homolog (Drosophila) |
| 别名 | Pref 1, pG2, FA1, DLK-1, DLK 1 |
| 计算分子量 | 41 kDa |
| 观测分子量 | 45-60 kDa |
| GenBank蛋白编号 | BC007741 |
| 基因名称 | DLK1 |
| Gene ID (NCBI) | 8788 |
| RRID | AB_2092679 |
| 偶联类型 | Unconjugated |
| 形式 | Liquid |
| 纯化方式 | Antigen affinity purification |
| UNIPROT ID | P80370 |
| 储存缓冲液 | PBS with 0.02% sodium azide and 50% glycerol, pH 7.3. |
| 储存条件 | Store at -20°C. Stable for one year after shipment. Aliquoting is unnecessary for -20oC storage. |
背景介绍
DLK1, also named PREF1, FA1, or pG2, is a transmembrane protein belonging to the epidermal growth factor (EGF)-like superfamily (PMID: 8095043). It contains six EGF-like repeats in the extracellular region. DLK1 is abundant in preadipocytes and regulate adipocyte differentiation negatively (PMID: 8500166). Deficiency of DLK1 gives rise to growth retardation and accelerated adiposity in mouse model. Expression of DLK1 is found in tumors with neuroendocrine features that implies DLK1 may be involved in neuroendocrine differentiation (PMID: 8095043). It has been reported overexpression of DLK1 could lead to the development of metabolic abnormalities by impairment of adipocyte function in mice (PMID: 12588883). The gene of DLK1 maps to chromosome 14q32, and encodes a 383-amino acid protein with a calculated molecular mass of 41 kDa. In preadipocytes, multiple discrete forms of DLK1 protein of 45-60 kDa are present, owing in part to N-linked glycosylation (PMID: 8500166).
实验方案
| Product Specific Protocols | |
|---|---|
| IHC protocol for DLK1 antibody 10636-1-AP | Download protocol |
| WB protocol for DLK1 antibody 10636-1-AP | Download protocol |
| Standard Protocols | |
|---|---|
| Click here to view our Standard Protocols |
发表文章
| Species | Application | Title |
|---|---|---|
Gastroenterology Activation of β-catenin and Yap1 in human hepatoblastoma and induction of hepatocarcinogenesis in mice. | ||
Nat Commun GREB1 induced by Wnt signaling promotes development of hepatoblastoma by suppressing TGFβ signaling. | ||
PLoS Genet Gene dosage effects of the imprinted delta-like homologue 1 (dlk1/pref1) in development: implications for the evolution of imprinting. | ||
Cell Death Differ The miR-181d-regulated metalloproteinase Adamts1 enzymatically impairs adipogenesis via ECM remodeling. | ||
Meat Sci Dietary vitamin A restriction affects adipocyte differentiation and fatty acid composition of intramuscular fat in Iberian pigs. | ||
Front Cell Dev Biol A Na+/K+ ATPase Pump Regulates Chondrocyte Differentiation and Bone Length Variation in Mice. |









