验证数据展示
经过测试的应用
| Positive WB detected in | HeLa cells, A431 cells, HAP1 cells, HEK-293 cells, HepG2 cells, Jurkat cells, LNCaP cells, MCF-7 cells |
| Positive IP detected in | HepG2 cells |
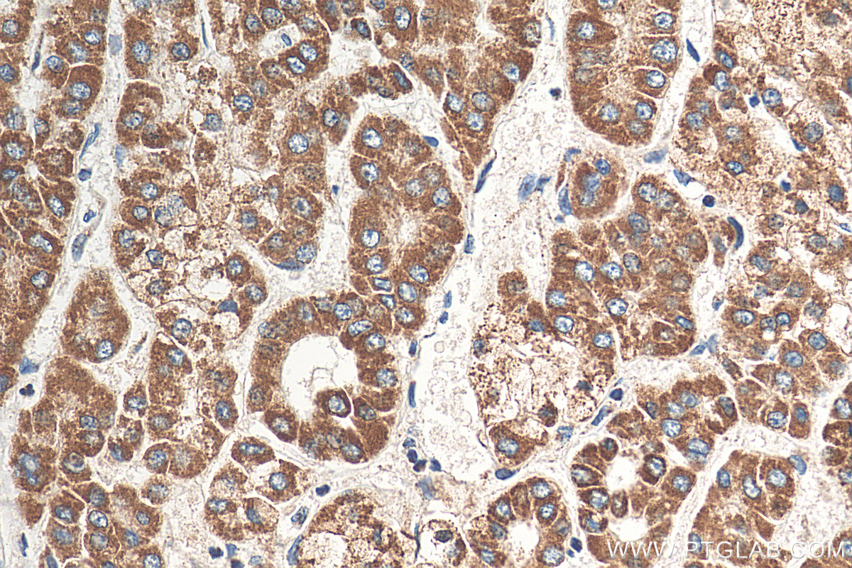
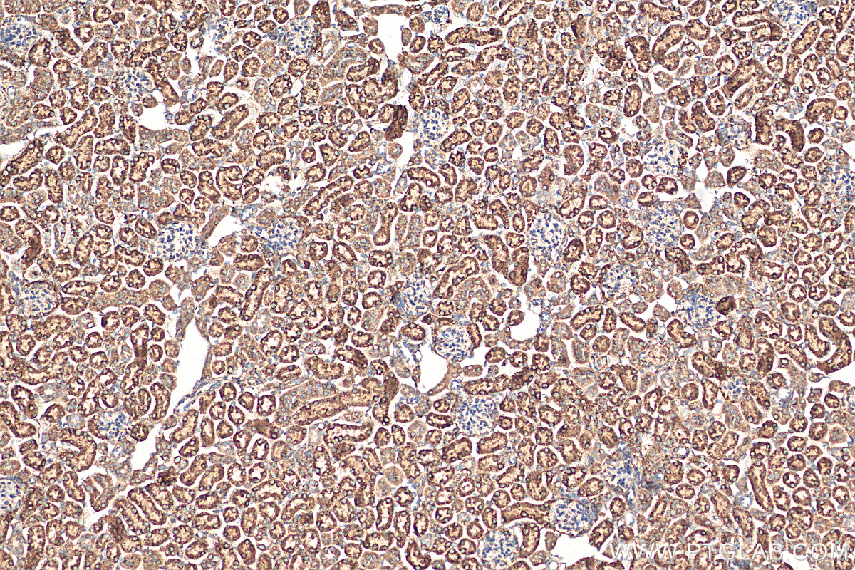
| Positive IHC detected in | human liver cancer tissue, human colon cancer tissue, mouse kidney tissue Note: suggested antigen retrieval with TE buffer pH 9.0; (*) Alternatively, antigen retrieval may be performed with citrate buffer pH 6.0 |
| Positive IF/ICC detected in | HepG2 cells |
推荐稀释比
| 应用 | 推荐稀释比 |
|---|---|
| Western Blot (WB) | WB : 1:2000-1:10000 |
| Immunoprecipitation (IP) | IP : 0.5-4.0 ug for 1.0-3.0 mg of total protein lysate |
| Immunohistochemistry (IHC) | IHC : 1:500-1:2000 |
| Immunofluorescence (IF)/ICC | IF/ICC : 1:200-1:800 |
| It is recommended that this reagent should be titrated in each testing system to obtain optimal results. | |
| Sample-dependent, Check data in validation data gallery. | |
产品信息
13426-1-AP targets DLAT in WB, IHC, IF/ICC, IP, CoIP, IP-MS, ELISA applications and shows reactivity with human, mouse, rat samples.
| 经测试应用 | WB, IHC, IF/ICC, IP, ELISA Application Description |
| 文献引用应用 | WB, IHC, IF, IP, CoIP, IP-MS |
| 经测试反应性 | human, mouse, rat |
| 文献引用反应性 | human, mouse, rat, pig, rabbit, monkey |
| 免疫原 |
CatNo: Ag4226 Product name: Recombinant human DLAT protein Source: e coli.-derived, PET28a Tag: 6*His Domain: 1-322 aa of BC039084 Sequence: MWRVCARRAQNVAPWAGLEARWTALQEVPGTPRVTSRSGPAPARRNSVTTGYGGVRALCGWTPSSGATPRNRLLLQLLGSPGRRYYSLPPHQKVPLPSLSPTMQAGTIARWEKKEGDKINEGDLIAEVETDKATVGFESLEECYMAKILVAEGTRDVPIGAIICITVGKPEDIEAFKNYTLDSSAAPTPQAAPAPTPAATASPPTPSAQAPGSSYPPHMQVLLPALSPTMTMGTVQRWEKKVGEKLSEGDLLAEIETDKATIGFEVQEEGYLAKILVPEGTRDVPLGTPLCIIVEKEADISAFADYRPTEVTDLKPQVPPPT 种属同源性预测 |
| 宿主/亚型 | Rabbit / IgG |
| 抗体类别 | Polyclonal |
| 产品类型 | Antibody |
| 全称 | dihydrolipoamide S-acetyltransferase |
| 别名 | Dihydrolipoyllysine-residue acetyltransferase component of pyruvate dehydrogenase complex, mitochondrial, DLTA, EC:2.3.1.12, ODP2, PDC-E2 |
| 计算分子量 | 647 aa, 70 kDa |
| 观测分子量 | 69-70 kDa |
| GenBank蛋白编号 | BC039084 |
| 基因名称 | DLAT |
| Gene ID (NCBI) | 1737 |
| RRID | AB_2091774 |
| 偶联类型 | Unconjugated |
| 形式 | Liquid |
| 纯化方式 | Antigen affinity purification |
| UNIPROT ID | P10515 |
| 储存缓冲液 | PBS with 0.02% sodium azide and 50% glycerol, pH 7.3. |
| 储存条件 | Store at -20°C. Stable for one year after shipment. Aliquoting is unnecessary for -20oC storage. |
实验方案
| Product Specific Protocols | |
|---|---|
| IF protocol for DLAT antibody 13426-1-AP | Download protocol |
| IHC protocol for DLAT antibody 13426-1-AP | Download protocol |
| IP protocol for DLAT antibody 13426-1-AP | Download protocol |
| WB protocol for DLAT antibody 13426-1-AP | Download protocol |
| Standard Protocols | |
|---|---|
| Click here to view our Standard Protocols |
发表文章
| Species | Application | Title |
|---|---|---|
Cell Res Hypoxia induces mitochondrial protein lactylation to limit oxidative phosphorylation | ||
Nat Cell Biol RIP3 targets pyruvate dehydrogenase complex to increase aerobic respiration in TNF-induced necroptosis | ||
Mol Cell Acetyl-CoA production by Mediator-bound 2-ketoacid dehydrogenases boosts de novo histone acetylation and is regulated by nitric oxide | ||
Adv Sci (Weinh) High-Efficiency Carriers' Separation Strategy Based Ultrasmall-Bandgap CuWO4 Sono-Enhances GSH Antagonism for Cuproptosis Cascade Immunotherapy | ||
J Immunother Cancer C5a/C5aR pathway blocking promoted CuS-mediated cancer therapy effect by inhibiting cuproptosis resistance | ||
Adv Healthc Mater Biomimetic Nano-regulator that Induces Cuproptosis and Lactate-Depletion Mediated ROS Storm for Metalloimmunotherapy of Clear Cell Renal Cell Carcinoma |











