验证数据展示
经过测试的应用
| Positive WB detected in | A549 cells, mouse brain tissue, K-562 cells, HeLa cells, mouse heart tissue, rat brain tissue, rat heart tissue |
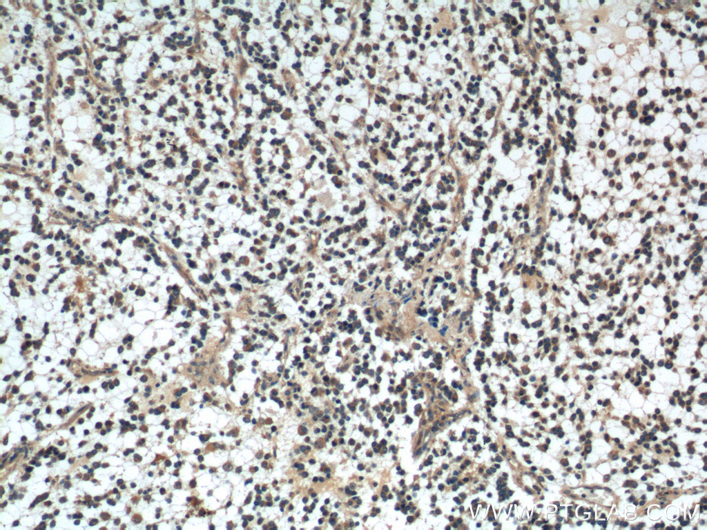
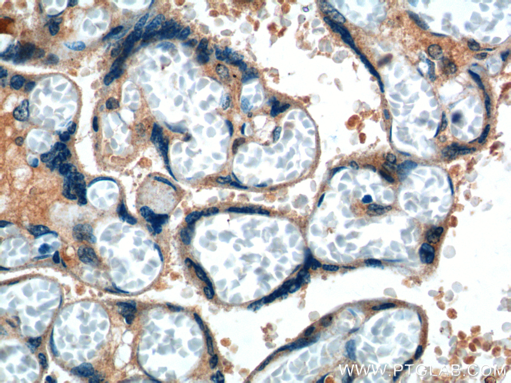
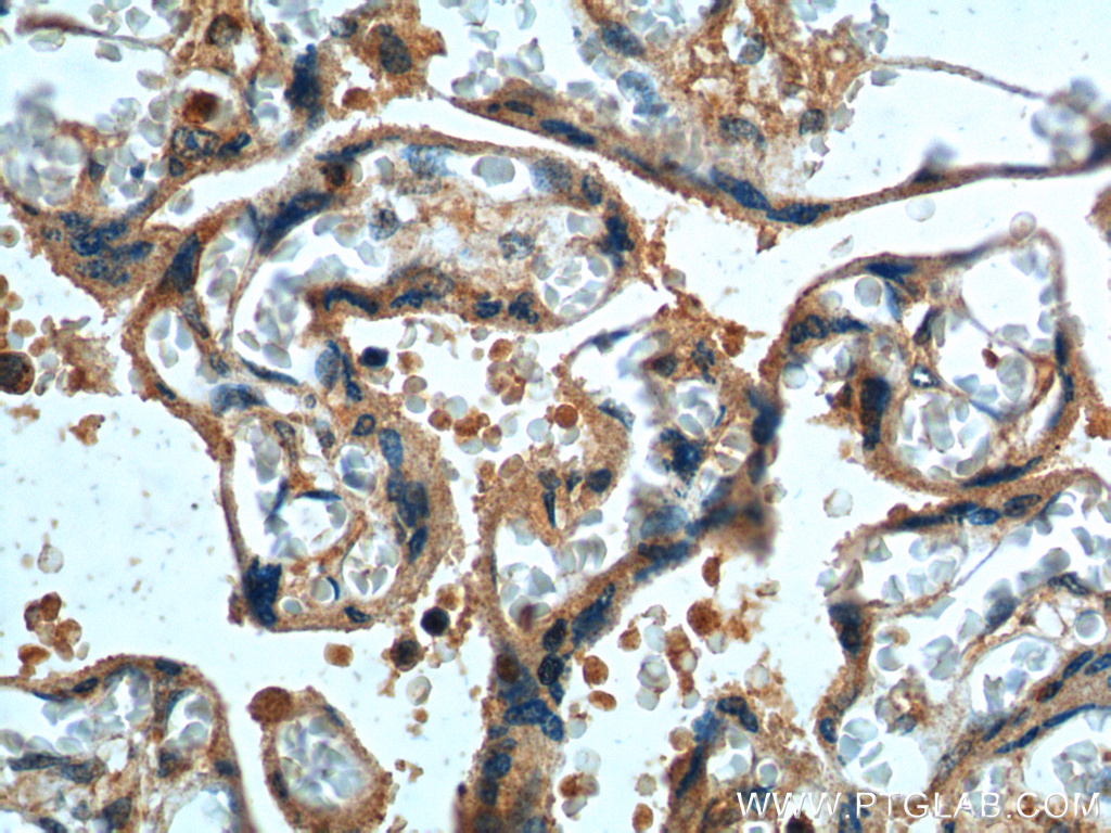
| Positive IHC detected in | human gliomas tissue, human placenta tissue Note: suggested antigen retrieval with TE buffer pH 9.0; (*) Alternatively, antigen retrieval may be performed with citrate buffer pH 6.0 |
推荐稀释比
| 应用 | 推荐稀释比 |
|---|---|
| Western Blot (WB) | WB : 1:2000-1:16000 |
| Immunohistochemistry (IHC) | IHC : 1:50-1:500 |
| It is recommended that this reagent should be titrated in each testing system to obtain optimal results. | |
| Sample-dependent, Check data in validation data gallery. | |
产品信息
21112-1-AP targets DKK1 in WB, IHC, IF, ELISA applications and shows reactivity with human, mouse, rat samples.
| 经测试应用 | WB, IHC, ELISA Application Description |
| 文献引用应用 | WB, IHC, IF |
| 经测试反应性 | human, mouse, rat |
| 文献引用反应性 | human, mouse, rat, rabbit |
| 免疫原 |
CatNo: Ag15110 Product name: Recombinant human DKK1 protein Source: e coli.-derived, PGEX-4T Tag: GST Domain: 32-191 aa of BC001539 Sequence: TLNSVLNSNAIKNLPPPLGGAAGHPGSAVSAAPGILYPGGNKYQTIDNYQPYPCAEDEECGTDEYCASPTRGGDAGVQICLACRKRRKRCMRHAMCCPGNYCKNGICVSSDQNHFRGEIEETITESFGNDHSTLDGYSRRTTLSSKMYHTKGQEGSVCLR 种属同源性预测 |
| 宿主/亚型 | Rabbit / IgG |
| 抗体类别 | Polyclonal |
| 产品类型 | Antibody |
| 全称 | dickkopf homolog 1 (Xenopus laevis) |
| 别名 | Dkk-1, DKK 1, Dickkopf-related protein 1, Dickkopf-1, Dickkopf1 |
| 计算分子量 | 266 aa, 29 kDa |
| 观测分子量 | 30-35 kDa |
| GenBank蛋白编号 | BC001539 |
| 基因名称 | DKK1 |
| Gene ID (NCBI) | 22943 |
| RRID | AB_10733097 |
| 偶联类型 | Unconjugated |
| 形式 | Liquid |
| 纯化方式 | Antigen affinity purification |
| UNIPROT ID | O94907 |
| 储存缓冲液 | PBS with 0.02% sodium azide and 50% glycerol, pH 7.3. |
| 储存条件 | Store at -20°C. Stable for one year after shipment. Aliquoting is unnecessary for -20oC storage. |
背景介绍
DKK1, also named a SK and Dickkopf-1, belongs to the dickkopf family. DKKs play an important role in vertebrate development, where they locally inhibit Wnt regulated processes such as antero-posterior axial patterning, limb development, somitogenesis and eye formation. In the adult, Dkks are implicated in bone formation and bone disease, cancer and Alzheimer disease. SDS-PAGE and Western blot analysis demonstrated that DKK1 is expressed as a 35-kDa doublet protein, which is larger than the deduced molecular mass of 26 kDa. Sometime DKK1 is expressed as a 42- to 50-kDa secreted protein, with little change observed after glycanase treatment.
实验方案
| Product Specific Protocols | |
|---|---|
| IHC protocol for DKK1 antibody 21112-1-AP | Download protocol |
| WB protocol for DKK1 antibody 21112-1-AP | Download protocol |
| Standard Protocols | |
|---|---|
| Click here to view our Standard Protocols |
发表文章
| Species | Application | Title |
|---|---|---|
Nat Commun Cancer stem cell regulated phenotypic plasticity protects metastasized cancer cells from ferroptosis.
| ||
Cell Death Dis Enhancing immunotherapy efficacy in colorectal cancer: targeting the FGR-AKT-SP1-DKK1 axis with DCC-2036 (Rebastinib) | ||
Bioengineered Exosomes from bone marrow mesenchymal stem cells promoted osteogenic differentiation by delivering miR-196a that targeted Dickkopf-1 to activate Wnt/β-catenin pathway | ||
Oncotarget MicroRNA-372 inhibits endometrial carcinoma development by targeting the expression of the Ras homolog gene family member C (RhoC). | ||
Osteoporos Int Rehmanniae Radix Preparata suppresses bone loss and increases bone strength through interfering with canonical Wnt/β-catenin signaling pathway in OVX rats. |







