验证数据展示
经过测试的应用
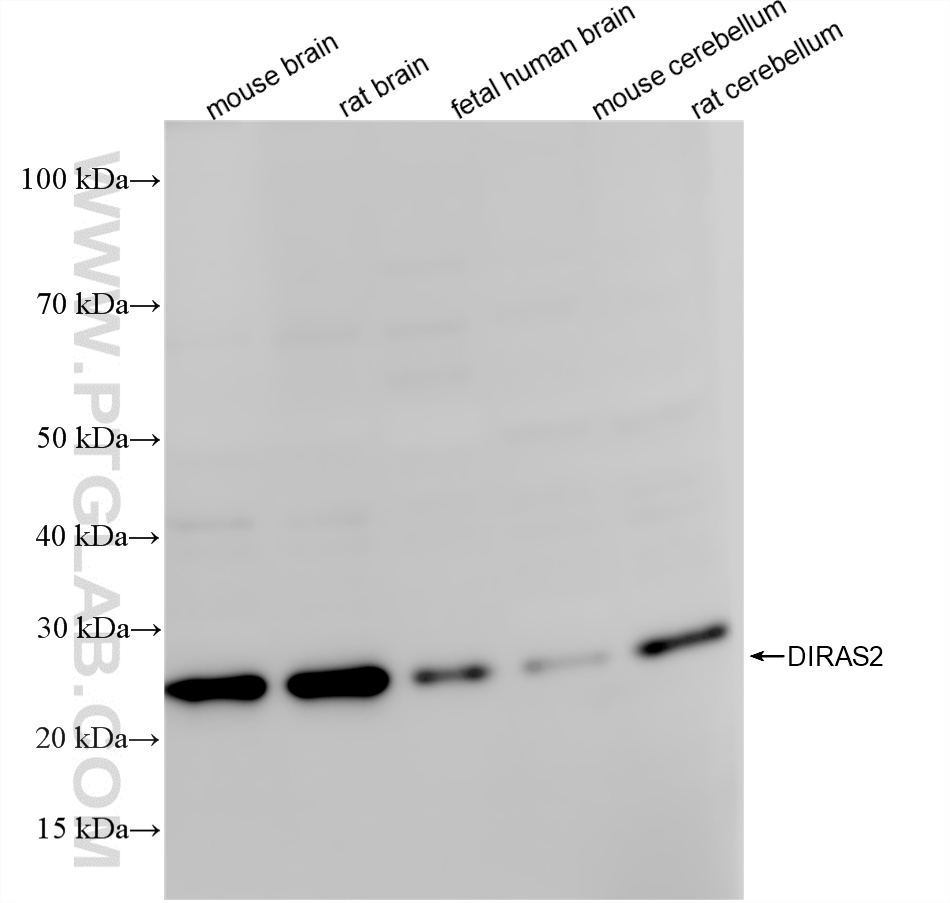
| Positive WB detected in | mouse brain tissue, rat brain tissue, fetal human brain tissue, mouse cerebellum tissue, rat cerebellum tissue |
| Positive IHC detected in | human colon tissue Note: suggested antigen retrieval with TE buffer pH 9.0; (*) Alternatively, antigen retrieval may be performed with citrate buffer pH 6.0 |
推荐稀释比
| 应用 | 推荐稀释比 |
|---|---|
| Western Blot (WB) | WB : 1:5000-1:50000 |
| Immunohistochemistry (IHC) | IHC : 1:500-1:2000 |
| It is recommended that this reagent should be titrated in each testing system to obtain optimal results. | |
| Sample-dependent, Check data in validation data gallery. | |
产品信息
86460-1-RR targets DIRAS2 in WB, IHC, ELISA applications and shows reactivity with human, mouse, rat samples.
| 经测试应用 | WB, IHC, ELISA Application Description |
| 经测试反应性 | human, mouse, rat |
| 免疫原 |
CatNo: Ag7926 Product name: Recombinant human DIRAS2 protein Source: e coli.-derived, PGEX-4T Tag: GST Domain: 1-199 aa of BC008065 Sequence: MPEQSNDYRVAVFGAGGVGKSSLVLRFVKGTFRESYIPTVEDTYRQVISCDKSICTLQITDTTGSHQFPAMQRLSISKGHAFILVYSITSRQSLEELKPIYEQICEIKGDVESIPIMLVGNKCDESPSREVQSSEAEALARTWKCAFMETSAKLNHNVKELFQELLNLEKRRTVSLQIDGKKSKQQKRKEKLKGKCVIM 种属同源性预测 |
| 宿主/亚型 | Rabbit / IgG |
| 抗体类别 | Recombinant |
| 产品类型 | Antibody |
| 全称 | DIRAS family, GTP-binding RAS-like 2 |
| 别名 | GTP binding protein Di Ras2, GTP-binding protein Di-Ras2 |
| 计算分子量 | 22 kDa |
| 观测分子量 | 22 kDa |
| GenBank蛋白编号 | BC008065 |
| 基因名称 | DIRAS2 |
| Gene ID (NCBI) | 54769 |
| RRID | AB_3744900 |
| 偶联类型 | Unconjugated |
| 形式 | Liquid |
| 纯化方式 | Protein A purification |
| UNIPROT ID | Q96HU8 |
| 储存缓冲液 | PBS with 0.02% sodium azide and 50% glycerol, pH 7.3. |
| 储存条件 | Store at -20°C. Stable for one year after shipment. Aliquoting is unnecessary for -20oC storage. |
背景介绍
GTP-binding protein Di-Ras2 (DIRAS2) is a member of the Ras-related small G-protein family. DIRAS2 regulated the phosphorylation of downstream effector proteins and activated the RAS/mitogen-activated protein kinase (MAPK) signaling pathway (PMID: 3216131). DIRAS2 interacted with 26S proteasome non-ATPase regulatory subunit 2, which facilitates the degradation of DIRAS2 in a proteasome-mediated way. DIRAS2 blocked nuclear factor kappa light-chain enhancer of activated B-cell (NF-κB) signaling pathways, inducing G0/G1 arrest. DIRAS2 inhibited CRC cell proliferation and affected cell-cycle protein expression (PMID: 35173535). DIRAS2 was proved to be an oncogene that activated the RAS-MAPK pathway to induce cell proliferation and metastasis in renal cell cancer (PMID: 3216131). DIRAS2 also shows its activity as a tumor-suppressor gene to induce autophagic cell death via modulating nuclear localization FOXO3/FOXO3A and TFEB (PMID: 29368982).
实验方案
| Product Specific Protocols | |
|---|---|
| IHC protocol for DIRAS2 antibody 86460-1-RR | Download protocol |
| WB protocol for DIRAS2 antibody 86460-1-RR | Download protocol |
| Standard Protocols | |
|---|---|
| Click here to view our Standard Protocols |

