验证数据展示
经过测试的应用
| Positive WB detected in | HeLa cells, HepG2 cells |
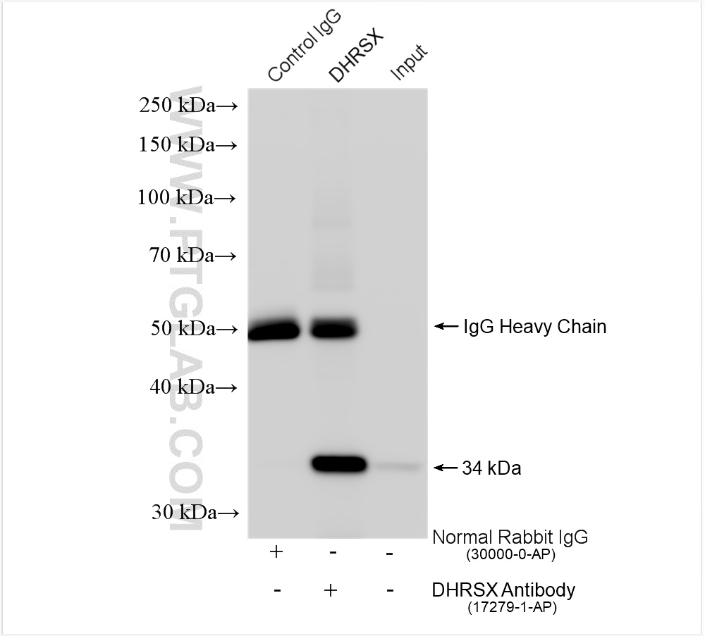
| Positive IP detected in | HeLa cells |
推荐稀释比
| 应用 | 推荐稀释比 |
|---|---|
| Western Blot (WB) | WB : 1:500-1:1000 |
| Immunoprecipitation (IP) | IP : 0.5-4.0 ug for 1.0-3.0 mg of total protein lysate |
| It is recommended that this reagent should be titrated in each testing system to obtain optimal results. | |
| Sample-dependent, Check data in validation data gallery. | |
产品信息
17279-1-AP targets DHRSX in WB, IP, ELISA applications and shows reactivity with human samples.
| 经测试应用 | WB, IP, ELISA Application Description |
| 经测试反应性 | human |
| 免疫原 |
CatNo: Ag11046 Product name: Recombinant human DHRSX protein Source: e coli.-derived, PGEX-4T Tag: GST Domain: 1-330 aa of BC032340 Sequence: MSPLSAARAALRVYAVGAAVILAQLLRRCRGGFLEPVFPPRPDRVAIVTGGTDGIGYSTAKHLARLGMHVIIAGNNDSKAKQVVSKIKEETLNDKVEFLYCDLASMTSIRQFVQKFKMKKIPLHVLINNAGVMMVPQRKTRDGFEEHFGLNYLGHFLLTNLLLDTLKESGSPGHSARVVTVSSATHYVAELNMDDLQSSACYSPHAAYAQSKLALVLFTYHLQRLLAAEGSHVTANVVDPGVVNTDLYKHVFWATRLAKKLLGWLLFKTPDEGAWTSIYAAVTPELEGVGGRYLYNEKETKSLHVTYNQKLQQQLWSKSCEMTGVLDVTL 种属同源性预测 |
| 宿主/亚型 | Rabbit / IgG |
| 抗体类别 | Polyclonal |
| 产品类型 | Antibody |
| 全称 | dehydrogenase/reductase (SDR family) X-linked |
| 别名 | CXorf11, DHRS5X, DHRS5Y, DHRSX, DHRSXY, DHRSY, SDR46C1 |
| 计算分子量 | 330 aa, 36 kDa |
| 观测分子量 | 36 kDa |
| GenBank蛋白编号 | BC032340 |
| 基因名称 | DHRSX |
| Gene ID (NCBI) | 207063 |
| RRID | AB_3085520 |
| 偶联类型 | Unconjugated |
| 形式 | Liquid |
| 纯化方式 | Antigen affinity purification |
| UNIPROT ID | Q8N5I4 |
| 储存缓冲液 | PBS with 0.02% sodium azide and 50% glycerol, pH 7.3. |
| 储存条件 | Store at -20°C. Stable for one year after shipment. Aliquoting is unnecessary for -20oC storage. |
背景介绍
DHRSX(Dehydrogenase/reductase SDR family member on chromosome X) is also named as CXorf11, DHRS5X and belongs to the short-chain dehydrogenases/reductases (SDR) family. It is involved in the metabolism of a large variety of compounds, including steroid hormones, prostaglandins, retinoids, lipids and xenobiotics.
实验方案
| Product Specific Protocols | |
|---|---|
| WB protocol for DHRSX antibody 17279-1-AP | Download protocol |
| IP protocol for DHRSX antibody 17279-1-AP | Download protocol |
| Standard Protocols | |
|---|---|
| Click here to view our Standard Protocols |

