验证数据展示
经过测试的应用
| Positive WB detected in | HeLa cells, Y79 cells |
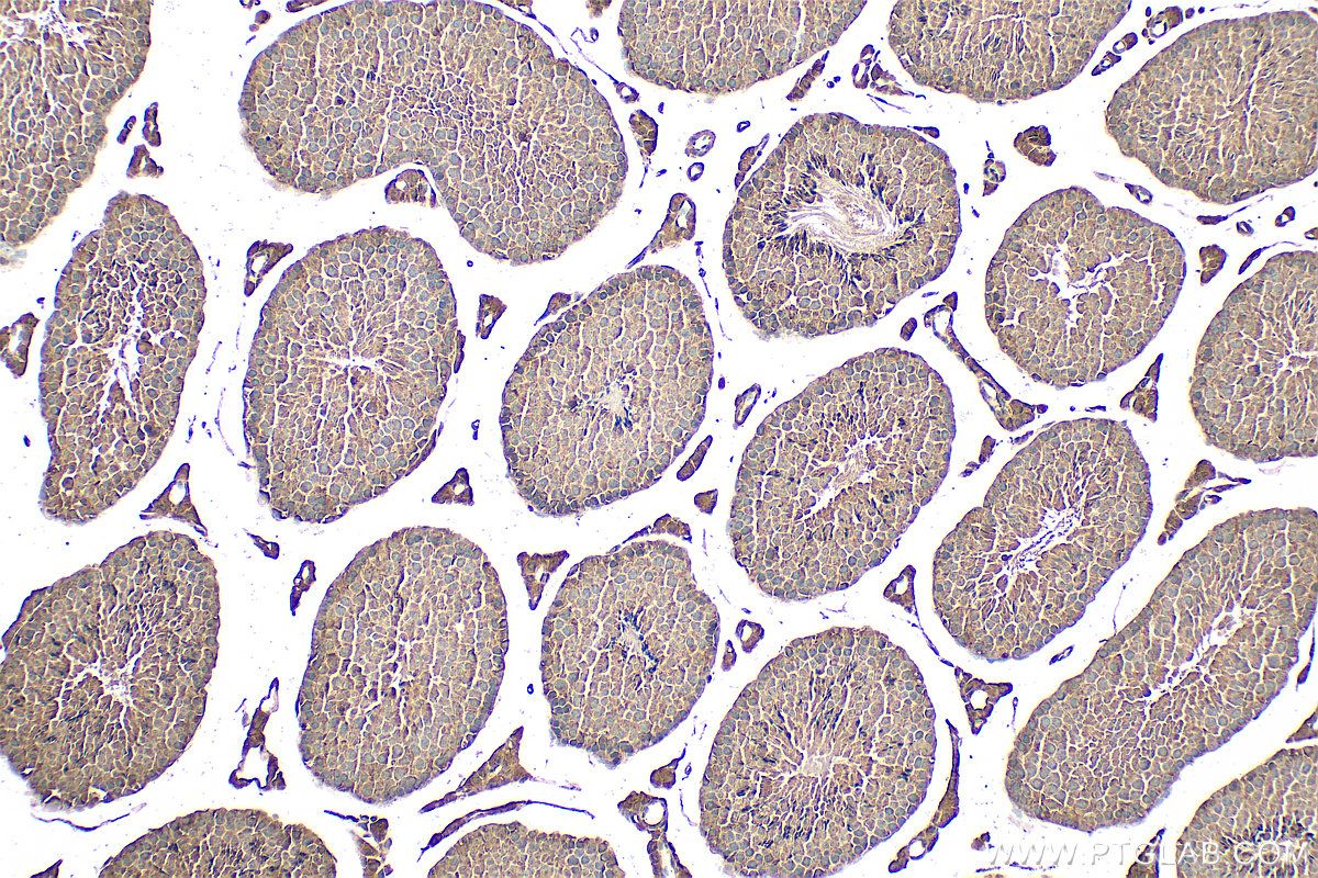
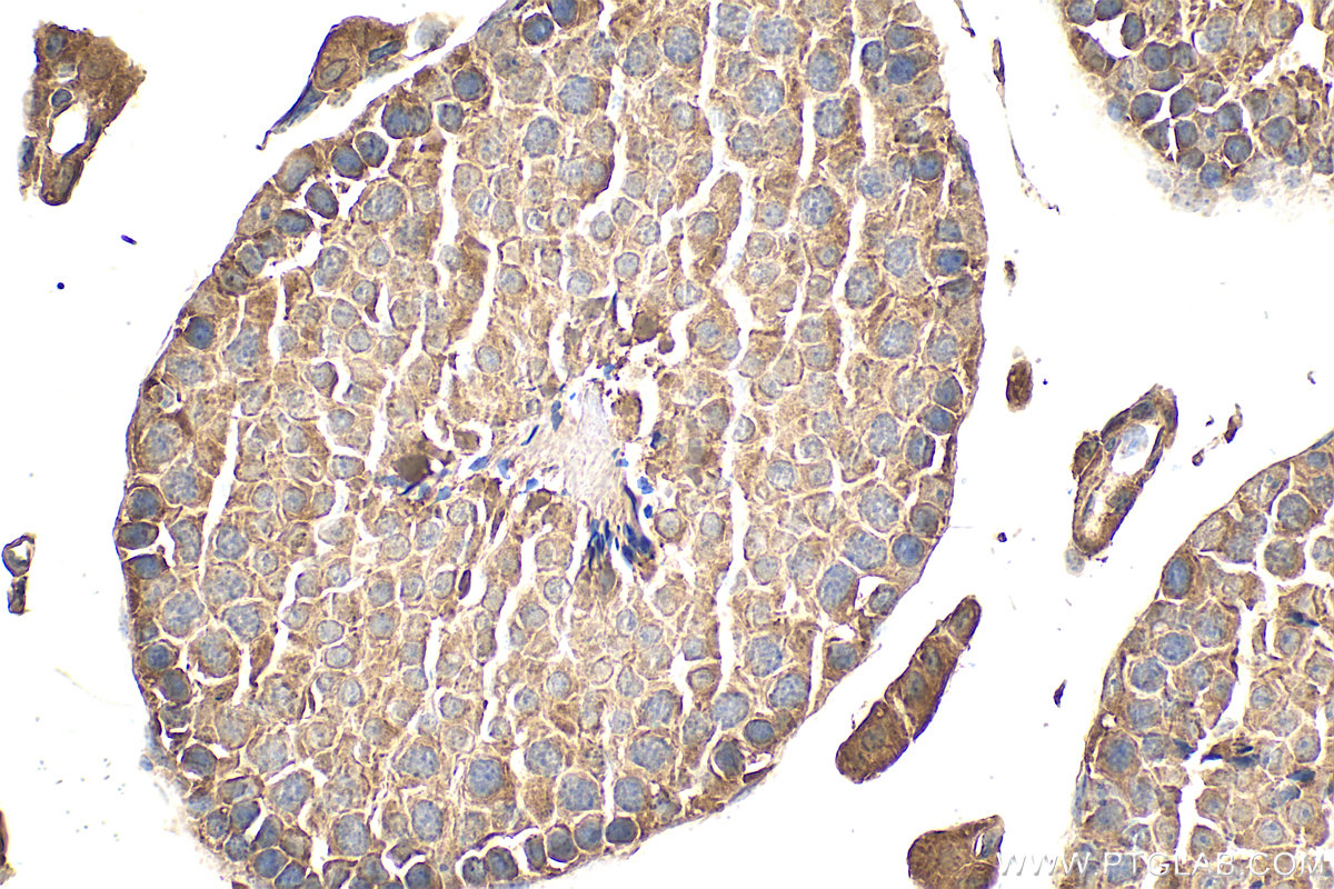
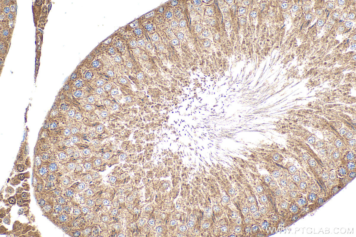
| Positive IHC detected in | mouse testis tissue, rat testis tissue Note: suggested antigen retrieval with TE buffer pH 9.0; (*) Alternatively, antigen retrieval may be performed with citrate buffer pH 6.0 |
推荐稀释比
| 应用 | 推荐稀释比 |
|---|---|
| Western Blot (WB) | WB : 1:1000-1:4000 |
| Immunohistochemistry (IHC) | IHC : 1:50-1:500 |
| It is recommended that this reagent should be titrated in each testing system to obtain optimal results. | |
| Sample-dependent, Check data in validation data gallery. | |
产品信息
15099-1-AP targets DHDDS in WB, IHC, ELISA applications and shows reactivity with human, mouse, rat samples.
| 经测试应用 | WB, IHC, ELISA Application Description |
| 经测试反应性 | human, mouse, rat |
| 免疫原 |
CatNo: Ag7426 Product name: Recombinant human DHDDS protein Source: e coli.-derived, PGEX-4T Tag: GST Domain: 1-333 aa of BC003643 Sequence: MSWIKEGELSLWERFCANIIKAGPMPKHIAFIMDGNRRYAKKCQVERQEGHSQGFNKLAETLRWCLNLGILEVTVYAFSIENFKRSKSEVDGLMDLARQKFSRLMEEKEKLQKHGVCIRVLGDLHLLPLDLQELIAQAVQATKNYNKCFLNVCFAYTSRHEISNAVREMAWGVEQGLLDPSDISESLLDKCLYTNRSPHPDILIRTSGEVRLSDFLLWQTSHSCLVFQPVLWPEYTFWNLFEAILQFQMNHSMLQKARDMYAEERKRQQLERDQATVTEQLLREGLQASGDAQLRRTRLHKLSARREERVQGFLQALELKRADWLARLGTASA 种属同源性预测 |
| 宿主/亚型 | Rabbit / IgG |
| 抗体类别 | Polyclonal |
| 产品类型 | Antibody |
| 全称 | dehydrodolichyl diphosphate synthase |
| 别名 | Cis-IPTase, Cis-isoprenyltransferase, Cis-prenyltransferase subunit hCIT, Dehydrodolichyl diphosphate synthase complex subunit DHDDS, EC:2.5.1.87 |
| 计算分子量 | 39 kDa |
| 观测分子量 | 34 kDa |
| GenBank蛋白编号 | BC003643 |
| 基因名称 | DHDDS |
| Gene ID (NCBI) | 79947 |
| RRID | AB_2091576 |
| 偶联类型 | Unconjugated |
| 形式 | Liquid |
| 纯化方式 | Antigen affinity purification |
| UNIPROT ID | Q86SQ9 |
| 储存缓冲液 | PBS with 0.02% sodium azide and 50% glycerol, pH 7.3. |
| 储存条件 | Store at -20°C. Stable for one year after shipment. Aliquoting is unnecessary for -20oC storage. |
背景介绍
DHDDS (dehydrodolichol diphosphate synthetase) encodes a protein involved in dolichol biosynthesis on the cytoplasmic face of the ER, where N-glycosylation, O-mannosylation, C-mannosylation and GPI-anchor synthesis occurs (PMID: 34382076). Homozygous mutations in the DHDDS gene (c.124 A>G) have been associated with nonsyndromic retinitis pigmentosa in consanguineous families (PMID: 36628425).
实验方案
| Product Specific Protocols | |
|---|---|
| IHC protocol for DHDDS antibody 15099-1-AP | Download protocol |
| WB protocol for DHDDS antibody 15099-1-AP | Download protocol |
| Standard Protocols | |
|---|---|
| Click here to view our Standard Protocols |



