验证数据展示
经过测试的应用
| Positive WB detected in | HepG2 cells, mouse lung tissue, L02 cells, Jurkat cells, MCF-7 cells |
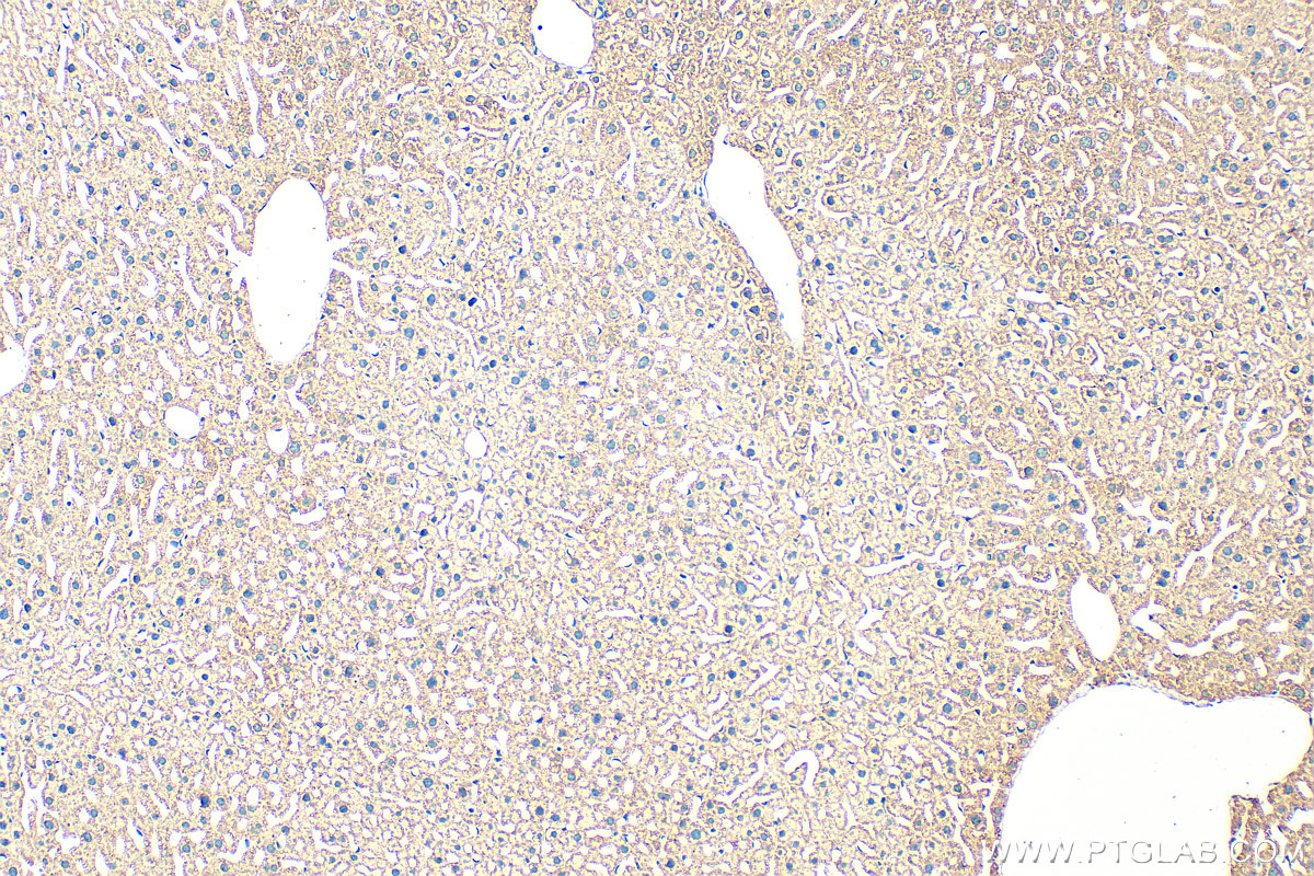
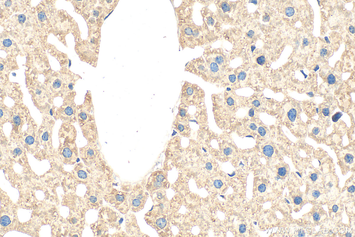
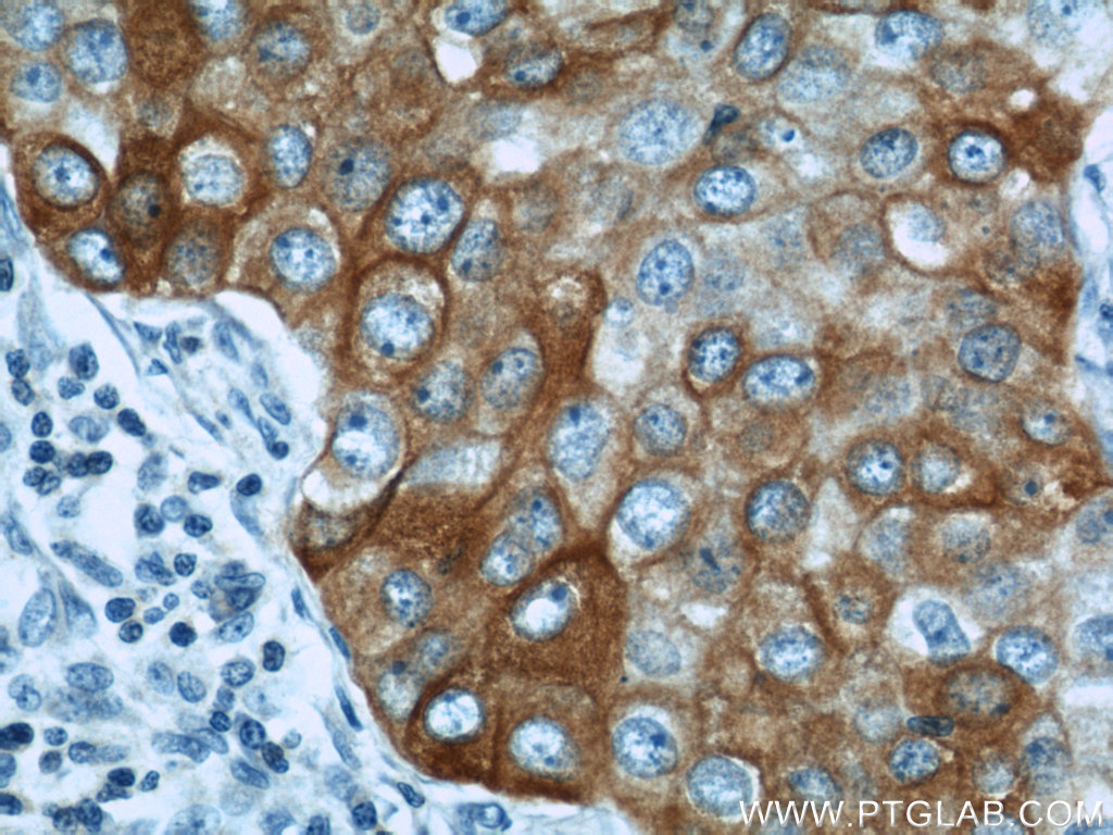
| Positive IHC detected in | mouse liver tissue, human breast cancer tissue, human liver tissue Note: suggested antigen retrieval with TE buffer pH 9.0; (*) Alternatively, antigen retrieval may be performed with citrate buffer pH 6.0 |
推荐稀释比
| 应用 | 推荐稀释比 |
|---|---|
| Western Blot (WB) | WB : 1:5000-1:50000 |
| Immunohistochemistry (IHC) | IHC : 1:50-1:500 |
| It is recommended that this reagent should be titrated in each testing system to obtain optimal results. | |
| Sample-dependent, Check data in validation data gallery. | |
产品信息
10471-1-AP targets DHCR24 in WB, IHC, ELISA applications and shows reactivity with human, mouse samples.
| 经测试应用 | WB, IHC, ELISA Application Description |
| 文献引用应用 | WB, IHC |
| 经测试反应性 | human, mouse |
| 文献引用反应性 | human, mouse, rat |
| 免疫原 |
CatNo: Ag0756 Product name: Recombinant human DHCR24 protein Source: e coli.-derived, PGEX-4T Tag: GST Domain: 217-516 aa of BC004375 Sequence: SCGTLGFLVAAEIRIIPAKKYVKLRFEPVRGLEAICAKFTHESQRQENHFVEGLLYSLDEAVIMTGVMTDEAEPSKLNSIGNYYKPWFFKHVENYLKTNREGLEYIPLRHYYHRHTRSIFWELQDIIPFGNNPIFRYLFGWMVPPKISLLKLTQGETLRKLYEQHHVVQDMLVPMKCLQQALHTFQNDIHVYPIWLCPFILPSQPGLVHPKGNEAELYIDIGAYGEPRVKHFEARSCMRQLEKFVRSVHGFQMLYADCYMNREEFWEMFDGSLYHKLREKLGCQDAFPEVYDKICKAARH 种属同源性预测 |
| 宿主/亚型 | Rabbit / IgG |
| 抗体类别 | Polyclonal |
| 产品类型 | Antibody |
| 全称 | 24-dehydrocholesterol reductase |
| 别名 | DHC24, 24-dehydrocholesterol reductase, 3-beta-hydroxysterol Delta-24-reductase, Delta(24)-sterol reductase, EC:1.3.1.72 |
| 计算分子量 | 60 kDa, 516 aa |
| 观测分子量 | 50-60 kDa |
| GenBank蛋白编号 | BC004375 |
| 基因名称 | DHCR24 |
| Gene ID (NCBI) | 1718 |
| RRID | AB_2091446 |
| 偶联类型 | Unconjugated |
| 形式 | Liquid |
| 纯化方式 | Antigen affinity purification |
| UNIPROT ID | Q15392 |
| 储存缓冲液 | PBS with 0.02% sodium azide and 50% glycerol, pH 7.3. |
| 储存条件 | Store at -20°C. Stable for one year after shipment. Aliquoting is unnecessary for -20oC storage. |
背景介绍
DHCR24(3-beta-hydroxysterol delta-24-reductase), also named as Seladin-1 or Diminuto/dwarf1 homolog, is a member of the flavin adenine dinucleotide (FAD)-dependent oxidoreductases, and catalyzes the reduction of the delta-24 double bond of sterol intermediates during cholesterol biosynthesis. The DHCR24 expression was shown to be down regulated in brain areas affected by Alzheimer's disease and endogenous DHCR24/seladin-1 levels are highly up-regulated upon acute oxidative stress while expression declines to very low levels upon chronic exposure (PMID:17984220). In apoptotic cells, endogenous seladin-1 was cleaved to a 40 kDa derivative in a caspase-dependent manner (PMID: 11007892).
实验方案
| Product Specific Protocols | |
|---|---|
| IHC protocol for DHCR24 antibody 10471-1-AP | Download protocol |
| WB protocol for DHCR24 antibody 10471-1-AP | Download protocol |
| Standard Protocols | |
|---|---|
| Click here to view our Standard Protocols |
发表文章
| Species | Application | Title |
|---|---|---|
Cell Death Differ Efferocytosis potentiates the expression of arachidonate 15-lipoxygenase (ALOX15) in alternatively activated human macrophages through LXR activation. | ||
Commun Biol Cholesterol mediated ferroptosis suppression reveals essential roles of Coenzyme Q and squalene
| ||
J Neurosci Golgi-Dependent Copper Homeostasis Sustains Synaptic Development and Mitochondrial Content. | ||
NanoImpact The alterations of miRNA and mRNA expression profile and their integration analysis induced by silica nanoparticles in spermatocyte cells. |









