验证数据展示
经过测试的应用
| Positive WB detected in | HeLa cells |
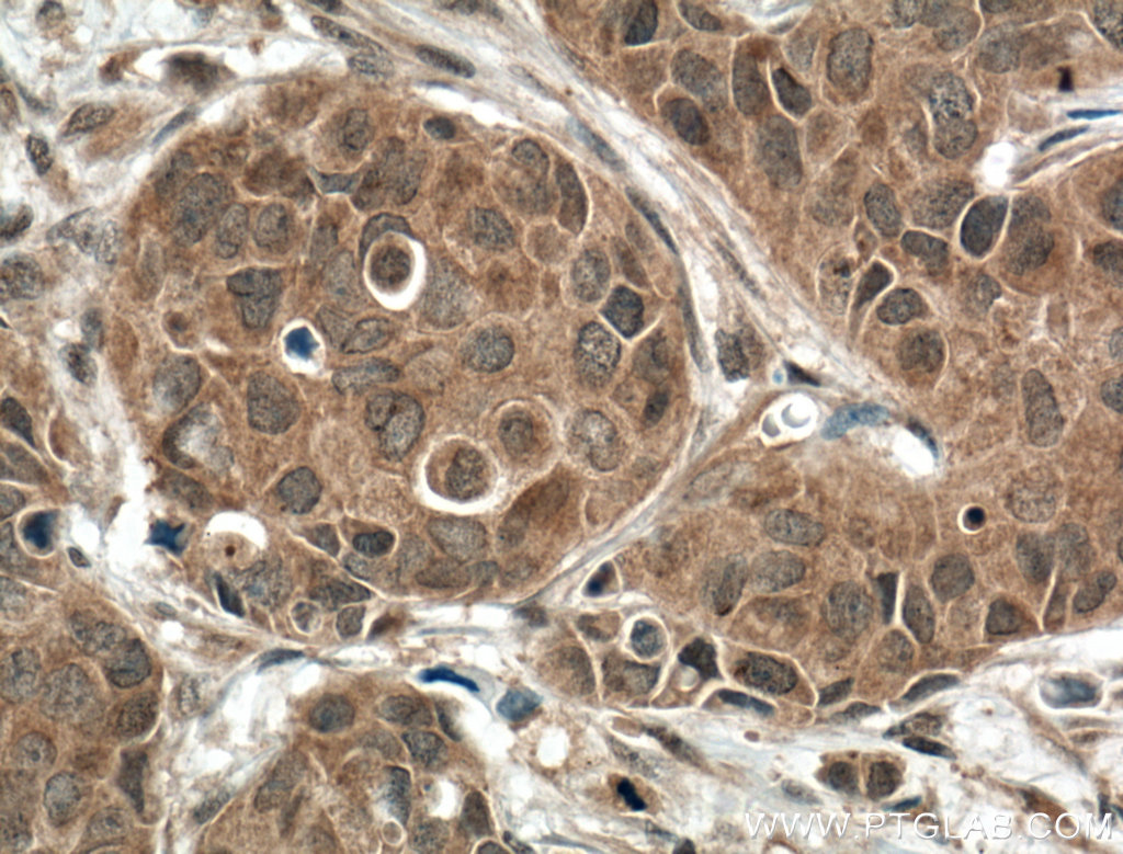
| Positive IHC detected in | human breast cancer tissue Note: suggested antigen retrieval with TE buffer pH 9.0; (*) Alternatively, antigen retrieval may be performed with citrate buffer pH 6.0 |
推荐稀释比
| 应用 | 推荐稀释比 |
|---|---|
| Western Blot (WB) | WB : 1:500-1:2000 |
| Immunohistochemistry (IHC) | IHC : 1:100-1:400 |
| It is recommended that this reagent should be titrated in each testing system to obtain optimal results. | |
| Sample-dependent, Check data in validation data gallery. | |
产品信息
24320-1-AP targets DGKB in WB, IHC, ELISA applications and shows reactivity with human samples.
| 经测试应用 | WB, IHC, ELISA Application Description |
| 经测试反应性 | human |
| 免疫原 |
CatNo: Ag19809 Product name: Recombinant human DGKB protein Source: e coli.-derived, PET28a Tag: 6*His Domain: 30-140 aa of BC105005 Sequence: KDVLEEFHGNGVLAKYNPEGKQDILNQTIDFEGFKLFMKTFLEAELPDDFTAHLFMSFSNKFPHSSPMVKSKPALLSGGLRMNKGAITPPRTTSPANTCSPEVIHLKDIVC 种属同源性预测 |
| 宿主/亚型 | Rabbit / IgG |
| 抗体类别 | Polyclonal |
| 产品类型 | Antibody |
| 全称 | diacylglycerol kinase, beta 90kDa |
| 别名 | 90 kDa diacylglycerol kinase, DAG kinase beta, DAGK2, DGK, DGK BETA, DGKB, Diacylglycerol kinase beta, Diglyceride kinase beta, KIAA0718 |
| 计算分子量 | 804 aa, 91 kDa |
| 观测分子量 | 91 kDa |
| GenBank蛋白编号 | BC105005 |
| 基因名称 | DGKB |
| Gene ID (NCBI) | 1607 |
| RRID | AB_2879492 |
| 偶联类型 | Unconjugated |
| 形式 | Liquid |
| 纯化方式 | Antigen affinity purification |
| UNIPROT ID | Q9Y6T7 |
| 储存缓冲液 | PBS with 0.02% sodium azide and 50% glycerol, pH 7.3. |
| 储存条件 | Store at -20°C. Stable for one year after shipment. Aliquoting is unnecessary for -20oC storage. |
背景介绍
DGKB(Diacylglycerol kinase beta) is also named as DAGK2, KIAA0718 , 90 kDa diacylglycerol kinase and belongs to the eukaryotic diacetylglycerol kinase family. It is a key enzyme in lipid metabolism that functions to reintroduce diacylglycerol formed from the hydrolysis of phospholipids into the biosynthetic pathway. This protein has 2 isoforms produced by alternative splicing with the molecular weight of 87 kDa and 91 kDa.
实验方案
| Product Specific Protocols | |
|---|---|
| IHC protocol for DGKB antibody 24320-1-AP | Download protocol |
| WB protocol for DGKB antibody 24320-1-AP | Download protocol |
| Standard Protocols | |
|---|---|
| Click here to view our Standard Protocols |


