验证数据展示
经过测试的应用
| Positive WB detected in | HeLa cells, A431 cells |
| Positive IP detected in | A431 cells |
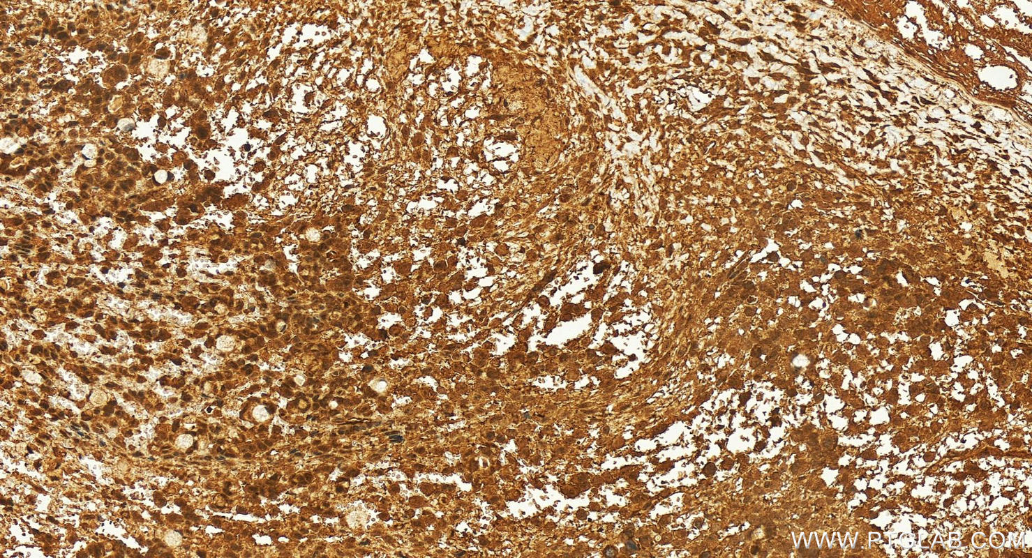
| Positive IHC detected in | human ovary cancer tissue Note: suggested antigen retrieval with TE buffer pH 9.0; (*) Alternatively, antigen retrieval may be performed with citrate buffer pH 6.0 |
| Positive IF/ICC detected in | HeLa cells |
推荐稀释比
| 应用 | 推荐稀释比 |
|---|---|
| Western Blot (WB) | WB : 1:500-1:1000 |
| Immunoprecipitation (IP) | IP : 0.5-4.0 ug for 1.0-3.0 mg of total protein lysate |
| Immunohistochemistry (IHC) | IHC : 1:50-1:500 |
| Immunofluorescence (IF)/ICC | IF/ICC : 1:20-1:200 |
| It is recommended that this reagent should be titrated in each testing system to obtain optimal results. | |
| Sample-dependent, Check data in validation data gallery. | |
发表文章中的应用
| IF | See 2 publications below |
产品信息
25835-1-AP targets DGCR8 N-terminal in WB, IHC, IF/ICC, IP, ELISA applications and shows reactivity with human samples.
| 经测试应用 | WB, IHC, IF/ICC, IP, ELISA Application Description |
| 文献引用应用 | IF |
| 经测试反应性 | human |
| 文献引用反应性 | mouse, bovine |
| 免疫原 |
CatNo: Ag22988 Product name: Recombinant human DGCR8 protein Source: e coli.-derived, PGEX-4T Tag: GST Domain: 1-303 aa of BC078147 Sequence: METDESPSPLPCGPAGEAVMESRARPFQALPREQSPPPPLQTSSGAEVMDVGSGGDGQSELPAEDPFNFYGASLLSKGSFSKGRLLIDPNCSGHSPRTARHAPAVRKFSPDLKLLKDVKISVSFTESCRSKDRKVLYTGAERDVRAECGLLLSPVSGDVHACPFGGSVGDGVGIGGESADKKDEENELDQEKRVEYAVLDELEDFTDNLELDEEGAGGFTAKAIVQRDRVDEEALNFPYEDDFDNDVDALLEEGLCAPKKRRTEEKYGGDSDHPSDGETSVQPMMTKIKTVLKSRGRPPTEPL 种属同源性预测 |
| 宿主/亚型 | Rabbit / IgG |
| 抗体类别 | Polyclonal |
| 产品类型 | Antibody |
| 全称 | DiGeorge syndrome critical region gene 8 |
| 别名 | DGCR8, C22orf12, pasha, LP4941, Gy1 |
| 计算分子量 | 773 aa, 86 kDa |
| 观测分子量 | 88-100 kDa |
| GenBank蛋白编号 | BC078147 |
| 基因名称 | DGCR8 |
| Gene ID (NCBI) | 54487 |
| RRID | AB_2880262 |
| 偶联类型 | Unconjugated |
| 形式 | Liquid |
| 纯化方式 | Antigen affinity purification |
| UNIPROT ID | Q8WYQ5 |
| 储存缓冲液 | PBS with 0.02% sodium azide and 50% glycerol, pH 7.3. |
| 储存条件 | Store at -20°C. Stable for one year after shipment. Aliquoting is unnecessary for -20oC storage. |
背景介绍
DGCR8 is a RNA-binding protein that assists the Rnase III enzyme Drosha in the processing of microRNAs (miRNAs), which regulate the expression of a large number of protein-coding genes[PMID: 22580560]. DGCR8, which contains two double-stranded RNA (dsRNA)-binding domains, may be an essential component of the primary miRNAs processing complex, along with Drosha, promoting the processing of primary microRNA to precursor microRNA. It is ubiquitous expressed in human and mouse tissues, and is deleted in DiGeorge syndrome[22323604]. The calculated molecular weight of DGCR8 is 82-86 kDa, but the post-modified DGCR8 is about 120 kDa.
实验方案
| Product Specific Protocols | |
|---|---|
| IF protocol for DGCR8 N-terminal antibody 25835-1-AP | Download protocol |
| IHC protocol for DGCR8 N-terminal antibody 25835-1-AP | Download protocol |
| IP protocol for DGCR8 N-terminal antibody 25835-1-AP | Download protocol |
| WB protocol for DGCR8 N-terminal antibody 25835-1-AP | Download protocol |
| Standard Protocols | |
|---|---|
| Click here to view our Standard Protocols |
发表文章
| Species | Application | Title |
|---|---|---|
Nucleic Acids Res DAZL regulates proliferation of human primordial germ cells by direct binding to precursor miRNAs and enhances DICER processing activity | ||
Proc Natl Acad Sci U S A Embryonic microRNAs are essential for bovine preimplantation embryo development |








