验证数据展示
经过测试的应用
| Positive WB detected in | SH-SY5Y cells, A549 cells, mouse brain tissue |
| Positive IP detected in | SH-SY5Y cells |
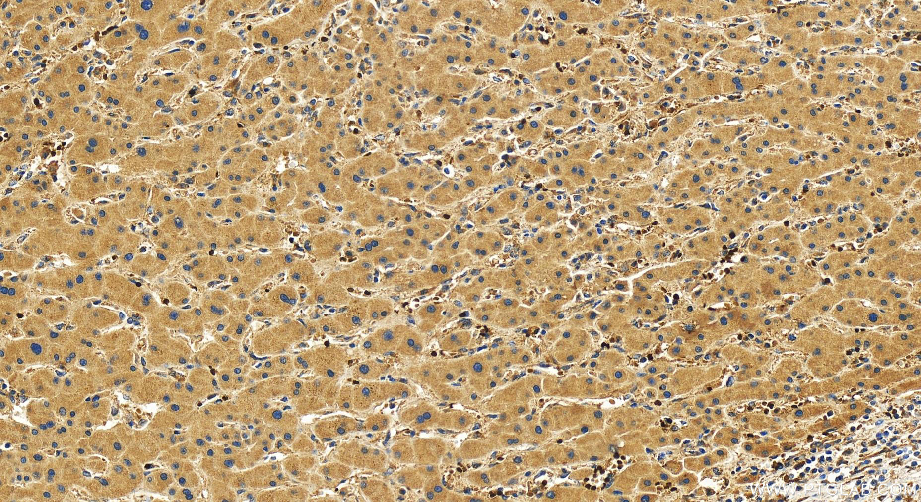
| Positive IHC detected in | human intrahepatic cholangiocarcinoma tissue Note: suggested antigen retrieval with TE buffer pH 9.0; (*) Alternatively, antigen retrieval may be performed with citrate buffer pH 6.0 |
| Positive IF/ICC detected in | SH-SY5Y cells |
推荐稀释比
| 应用 | 推荐稀释比 |
|---|---|
| Western Blot (WB) | WB : 1:500-1:2000 |
| Immunoprecipitation (IP) | IP : 0.5-4.0 ug for 1.0-3.0 mg of total protein lysate |
| Immunohistochemistry (IHC) | IHC : 1:50-1:500 |
| Immunofluorescence (IF)/ICC | IF/ICC : 1:200-1:800 |
| It is recommended that this reagent should be titrated in each testing system to obtain optimal results. | |
| Sample-dependent, Check data in validation data gallery. | |
产品信息
31363-1-AP targets DFNA5/GSDME in WB, IHC, IF/ICC, IP, ELISA applications and shows reactivity with human, mouse samples.
| 经测试应用 | WB, IHC, IF/ICC, IP, ELISA Application Description |
| 经测试反应性 | human, mouse |
| 免疫原 |
CatNo: Ag35186 Product name: Recombinant human DFNA5 protein Source: e coli.-derived, PGEX-4T Tag: GST Domain: 90-190 aa of BC019689 Sequence: NVTKDSNVVLEIPAATTIAYGVIELYVKLDGQFEFCLLRGKQGGFENKKRIDSVYLDPLVFREFAFIDMPDAAHGISSQDGPLSVLKQATLLLERNFHPFA 种属同源性预测 |
| 宿主/亚型 | Rabbit / IgG |
| 抗体类别 | Polyclonal |
| 产品类型 | Antibody |
| 全称 | deafness, autosomal dominant 5 |
| 别名 | Cleaved DFNA5, Cleaved DFNA5/GSDME, Cleaved Gasdermin E, Cleaved GSDME, DFNA5 |
| 计算分子量 | 496 aa, 55 kDa |
| 观测分子量 | 55 kDa, 35 kDa, 25 kDa |
| GenBank蛋白编号 | BC019689 |
| 基因名称 | DFNA5 |
| Gene ID (NCBI) | 1687 |
| RRID | AB_3669957 |
| 偶联类型 | Unconjugated |
| 形式 | Liquid |
| 纯化方式 | Antigen affinity Purification |
| UNIPROT ID | O60443 |
| 储存缓冲液 | PBS with 0.02% sodium azide and 50% glycerol, pH 7.3. |
| 储存条件 | Store at -20°C. Stable for one year after shipment. Aliquoting is unnecessary for -20oC storage. |
背景介绍
DFNA5 (deafness, autosomal dominant 5), also known as GSDME or ICERE-1, is a 496 amino acid protein that is expressed in cochlea tissue, as well as in placenta, brain, heart, liver, lung and pancreas. Defects in the gene encoding DFNA5 are the cause of non-syndromic sensorineural deafness autosomal dominant type 5 (DFNA5), a form of sensorineural hearing loss that results from damage to one of various structures that receive sound information in the brain. GSDME produced two GSDME fragments with MW of 35 kDa and 25 kDa.
实验方案
| Product Specific Protocols | |
|---|---|
| IF protocol for DFNA5/GSDME antibody 31363-1-AP | Download protocol |
| IHC protocol for DFNA5/GSDME antibody 31363-1-AP | Download protocol |
| IP protocol for DFNA5/GSDME antibody 31363-1-AP | Download protocol |
| WB protocol for DFNA5/GSDME antibody 31363-1-AP | Download protocol |
| Standard Protocols | |
|---|---|
| Click here to view our Standard Protocols |






