验证数据展示
经过测试的应用
| Positive WB detected in | SKOV-3 cells, A2780 cells, K-562 cells |
| Positive IP detected in | K-562 cells |
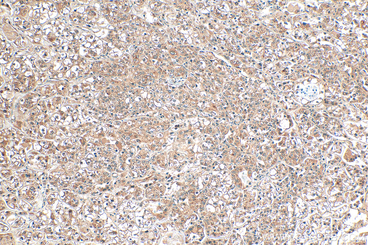
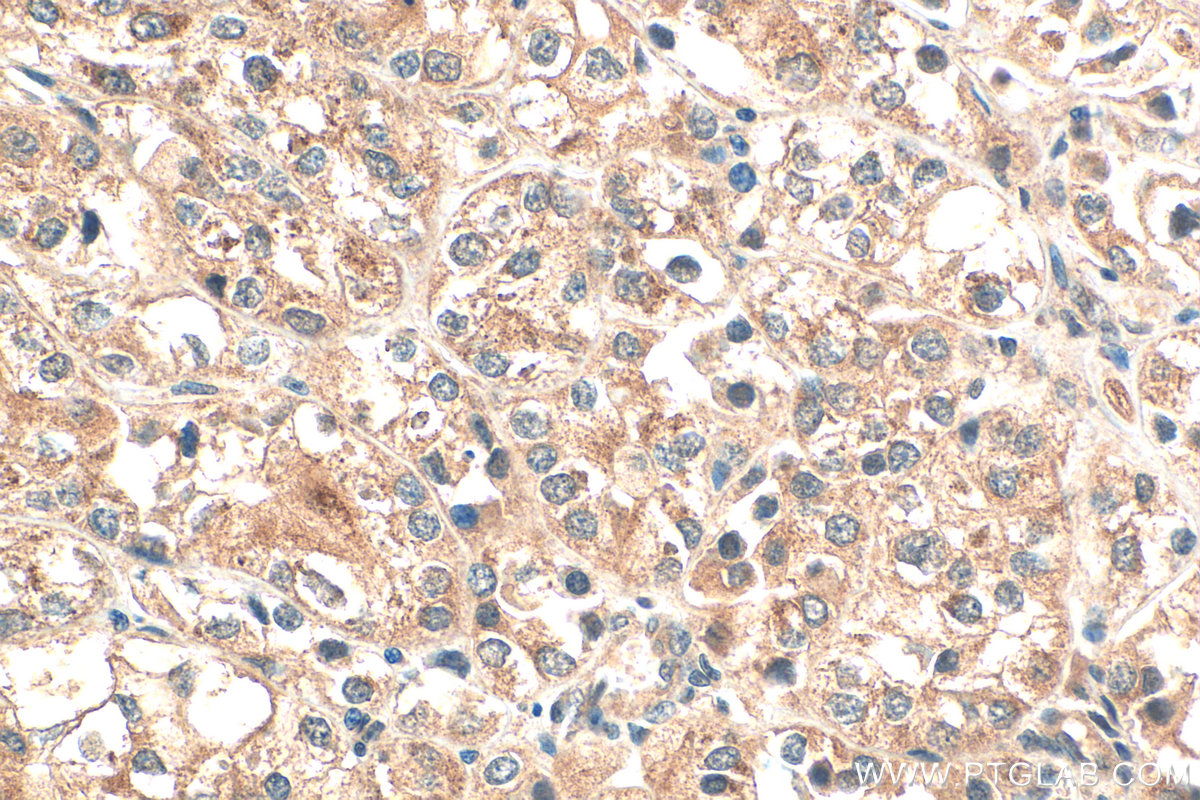
| Positive IHC detected in | human endometrial cancer tissue Note: suggested antigen retrieval with TE buffer pH 9.0; (*) Alternatively, antigen retrieval may be performed with citrate buffer pH 6.0 |
| Positive IF/ICC detected in | SKOV-3 cells |
推荐稀释比
| 应用 | 推荐稀释比 |
|---|---|
| Western Blot (WB) | WB : 1:500-1:1000 |
| Immunoprecipitation (IP) | IP : 0.5-4.0 ug for 1.0-3.0 mg of total protein lysate |
| Immunohistochemistry (IHC) | IHC : 1:50-1:500 |
| Immunofluorescence (IF)/ICC | IF/ICC : 1:200-1:800 |
| It is recommended that this reagent should be titrated in each testing system to obtain optimal results. | |
| Sample-dependent, Check data in validation data gallery. | |
产品信息
25658-1-AP targets DENND1A in WB, IHC, IF/ICC, IP, ELISA applications and shows reactivity with human samples.
| 经测试应用 | WB, IHC, IF/ICC, IP, ELISA Application Description |
| 经测试反应性 | human |
| 免疫原 |
CatNo: Ag22547 Product name: Recombinant human DENND1A protein Source: e coli.-derived, PGEX-4T Tag: GST Domain: 451-559 aa of BC039703 Sequence: QKDIAENGCAPTPEEQLPKTAPSPLVEAKDPKLREDRRPITVHFGQVRPPRPHVVKRPKSNIAVEGRRTSVPSPEQNTIATPATLHILQKSITHFAAKFPTRGWTSSSH 种属同源性预测 |
| 宿主/亚型 | Rabbit / IgG |
| 抗体类别 | Polyclonal |
| 产品类型 | Antibody |
| 全称 | DENN/MADD domain containing 1A |
| 别名 | Connecdenn, Connecdenn 1, DENN domain-containing protein 1A, DENN/MADD domain containing 1A, FAM31A |
| 计算分子量 | 1009 aa, 111 kDa |
| 观测分子量 | 111 kDa, 64 kDa |
| GenBank蛋白编号 | BC039703 |
| 基因名称 | DENND1A |
| Gene ID (NCBI) | 57706 |
| RRID | AB_2880180 |
| 偶联类型 | Unconjugated |
| 形式 | Liquid |
| 纯化方式 | Antigen affinity purification |
| UNIPROT ID | Q8TEH3 |
| 储存缓冲液 | PBS with 0.02% sodium azide and 50% glycerol, pH 7.3. |
| 储存条件 | Store at -20°C. Stable for one year after shipment. Aliquoting is unnecessary for -20oC storage. |
背景介绍
DENND1A (DENN/MADD domain containing 1A), also known as Connecdenn,FAM31A or KIAA1608, is a 1,009 amino acid peripheral membrane protein. Recent studies has found DENND1A is strongly associated with PCOS (Polycystic ovary syndrome). DENND1A has several isoforms.This antibody(25658-1-AP) can recognize all the isoforms at 112 kDa, 52-64 kDa.
实验方案
| Product Specific Protocols | |
|---|---|
| IF protocol for DENND1A antibody 25658-1-AP | Download protocol |
| IHC protocol for DENND1A antibody 25658-1-AP | Download protocol |
| IP protocol for DENND1A antibody 25658-1-AP | Download protocol |
| WB protocol for DENND1A antibody 25658-1-AP | Download protocol |
| Standard Protocols | |
|---|---|
| Click here to view our Standard Protocols |







