验证数据展示
经过测试的应用
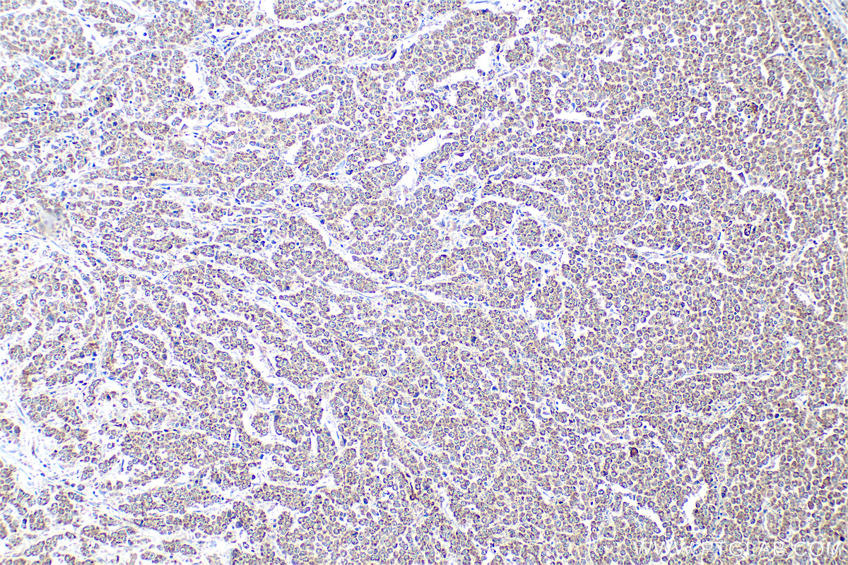
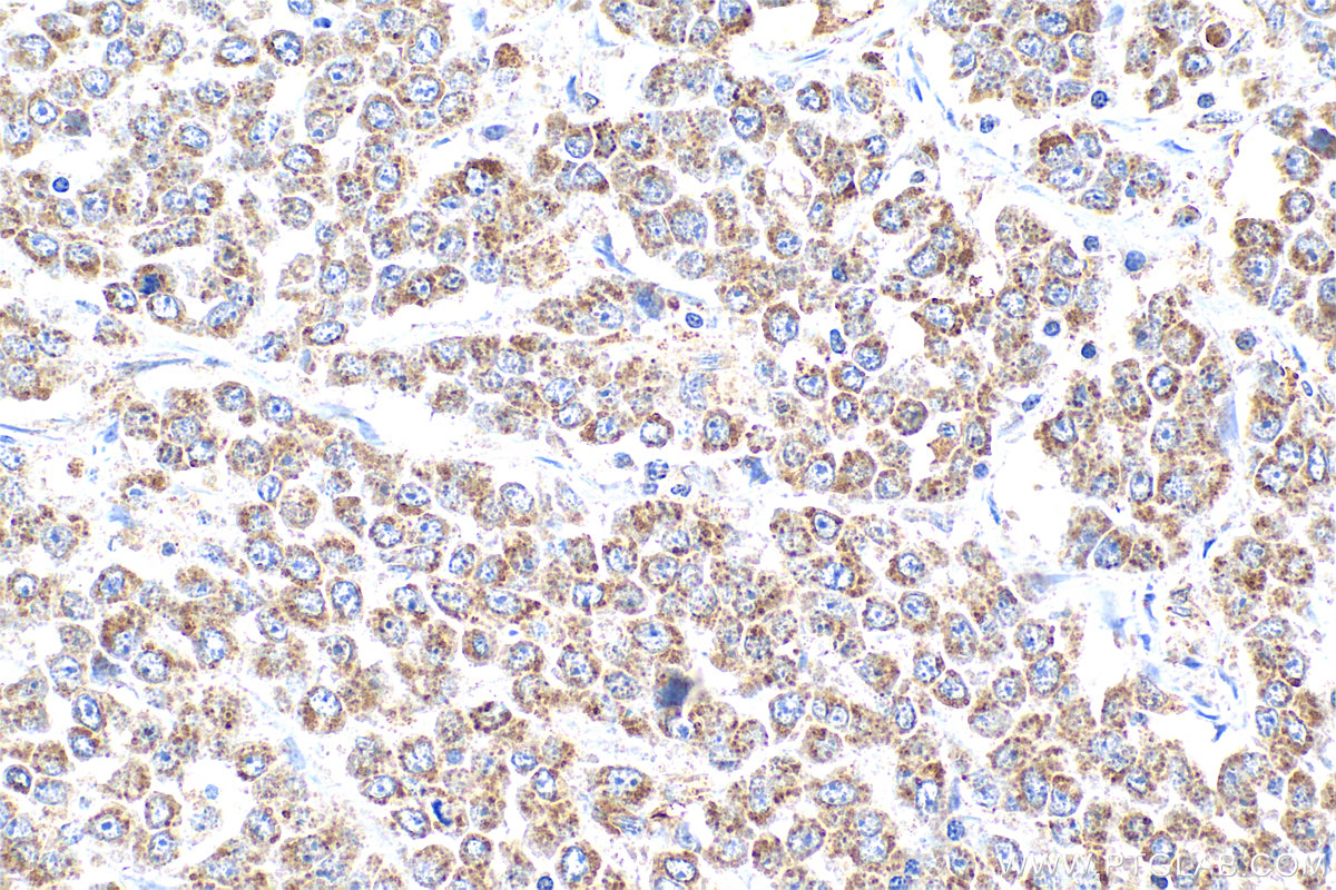
| Positive IHC detected in | human colon cancer tissue Note: suggested antigen retrieval with TE buffer pH 9.0; (*) Alternatively, antigen retrieval may be performed with citrate buffer pH 6.0 |
| Positive IF/ICC detected in | A549 cells |
推荐稀释比
| 应用 | 推荐稀释比 |
|---|---|
| Immunohistochemistry (IHC) | IHC : 1:200-1:800 |
| Immunofluorescence (IF)/ICC | IF/ICC : 1:200-1:800 |
| It is recommended that this reagent should be titrated in each testing system to obtain optimal results. | |
| Sample-dependent, Check data in validation data gallery. | |
发表文章中的应用
| WB | See 5 publications below |
| IHC | See 3 publications below |
| ELISA | See 1 publications below |
产品信息
14738-1-AP targets DEFB1 in WB, IHC, IF/ICC, ELISA applications and shows reactivity with human samples.
| 经测试应用 | IHC, IF/ICC, ELISA Application Description |
| 文献引用应用 | WB, IHC, ELISA |
| 经测试反应性 | human |
| 文献引用反应性 | human, mouse |
| 免疫原 |
CatNo: Ag6406 Product name: Recombinant human DEFB1 protein Source: e coli.-derived, PGEX-4T Tag: GST Domain: 1-68 aa of BC047677 Sequence: MRTSYLLLFTLCLLLSEMASGGNFLTGLGHRSDHYNCVSSGGQCLYSACPIFTKIQGTCYRGKAKCCK 种属同源性预测 |
| 宿主/亚型 | Rabbit / IgG |
| 抗体类别 | Polyclonal |
| 产品类型 | Antibody |
| 全称 | defensin, beta 1 |
| 别名 | BD 1, BD1, BD-1, Beta defensin 1, Beta-defensin 1 |
| 计算分子量 | 7 kDa |
| GenBank蛋白编号 | BC047677 |
| 基因名称 | DEFB1 |
| Gene ID (NCBI) | 1672 |
| RRID | AB_2091826 |
| 偶联类型 | Unconjugated |
| 形式 | Liquid |
| 纯化方式 | Antigen affinity purification |
| UNIPROT ID | P60022 |
| 储存缓冲液 | PBS with 0.02% sodium azide and 50% glycerol, pH 7.3. |
| 储存条件 | Store at -20°C. Stable for one year after shipment. Aliquoting is unnecessary for -20oC storage. |
实验方案
| Product Specific Protocols | |
|---|---|
| IF protocol for DEFB1 antibody 14738-1-AP | Download protocol |
| IHC protocol for DEFB1 antibody 14738-1-AP | Download protocol |
| Standard Protocols | |
|---|---|
| Click here to view our Standard Protocols |
发表文章
| Species | Application | Title |
|---|---|---|
Sci Rep β-defensin 1 expression in HCV infected liver/liver cancer: an important role in protecting HCV progression and liver cancer development. | ||
Indian J Gastroenterol Antibacterial spectrum of human omentum and differential expression of beta defensins. | ||
Cureus Expression of Antimicrobial Peptides and Cytokines in Human Omentum Following Abdominal Surgery | ||
Biomed Pharmacother Shen Qi Wan ameliorates nephritis in chronic kidney disease via AQP1 and DEFB1 regulation | ||
Int Immunopharmacol Edaravone alleviates Pseudomonas aeruginosa associated-acute lung injury by inhibiting inflammation and promoting anti-microbial peptide production | ||
Clin Proteomics Multi-omics analyses, cell experiments, and network pharmacology tools identified key proteins and candidate drugs for alopecia areata treatment |


