验证数据展示
经过测试的应用
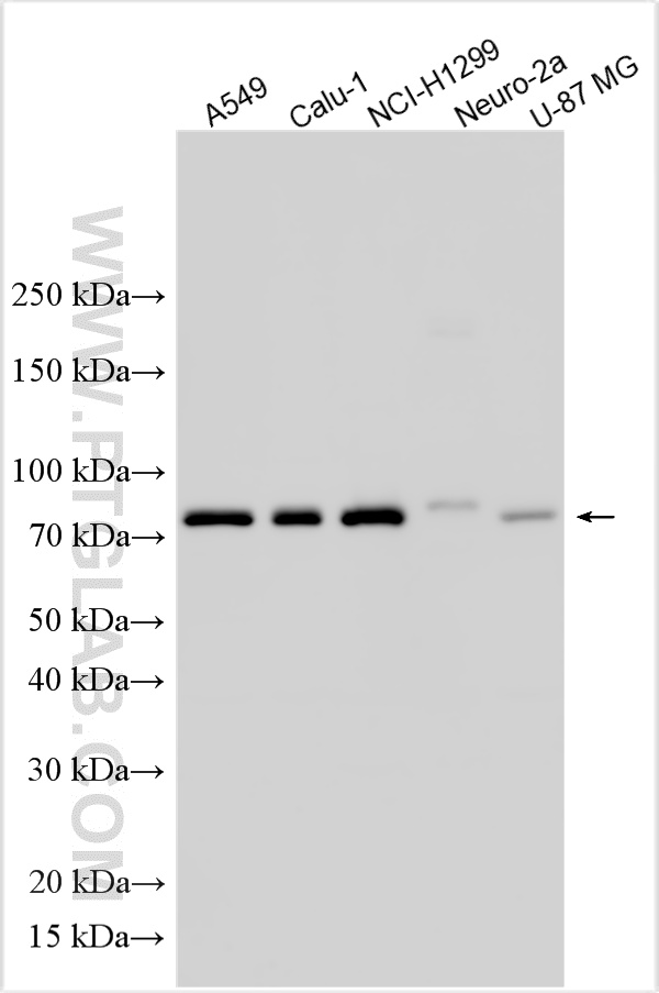
| Positive WB detected in | A549 cells, Calu-1 cells, NCI-H1299 cells, Neuro-2a cells, U-87 MG cells |
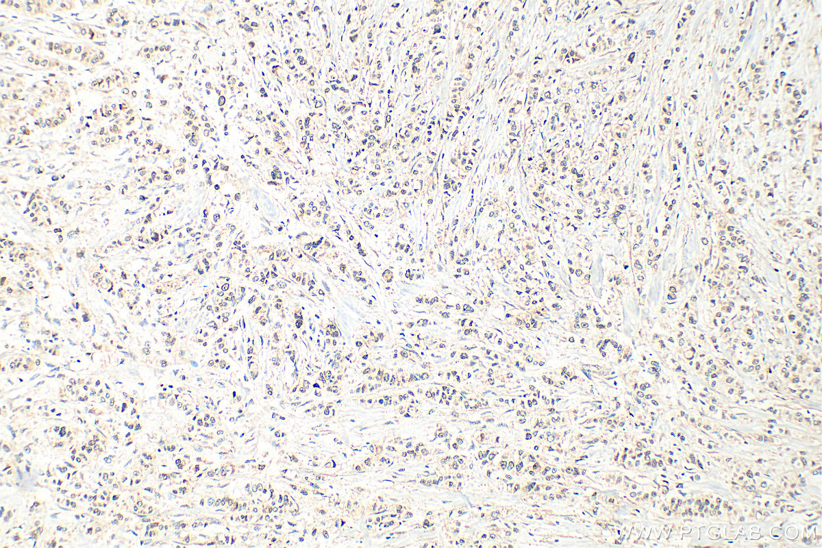
| Positive IHC detected in | human breast cancer tissue Note: suggested antigen retrieval with TE buffer pH 9.0; (*) Alternatively, antigen retrieval may be performed with citrate buffer pH 6.0 |
推荐稀释比
| 应用 | 推荐稀释比 |
|---|---|
| Western Blot (WB) | WB : 1:1000-1:4000 |
| Immunohistochemistry (IHC) | IHC : 1:50-1:500 |
| It is recommended that this reagent should be titrated in each testing system to obtain optimal results. | |
| Sample-dependent, Check data in validation data gallery. | |
产品信息
32948-1-AP targets DDX59 in WB, IHC, ELISA applications and shows reactivity with human samples.
| 经测试应用 | WB, IHC, ELISA Application Description |
| 经测试反应性 | human |
| 免疫原 |
CatNo: Ag37657 Product name: Recombinant human DDX59 protein Source: e coli.-derived, PGEX-4T Tag: GST Domain: 335-619 aa of BC041801 Sequence: DIIKQSSVELCGVKIVVVDEADTMLKMGFQQQVLDILENIPNDCQTILVSATIPTSIEQLASQLLHNPVRIITGEKNLPCANVRQIILWVEDPAKKKKLFEILNDKKLFKPPVLVFVDCKLGADLLSEAVQKITGLKRISIHSEKSQIERKNILKGLLEGDYEVVVSTGVLGRGLDLISVRLVVNFDMPSSMDEYVHQIGRVGRLGQNGTAITFINNNSKRLFWDIAKRVKPTGSILPPQLLNSPYLHDQKRKEQQKDKQTQNDLVTGANLMDIIRKHDKSNSQK 种属同源性预测 |
| 宿主/亚型 | Rabbit / IgG |
| 抗体类别 | Polyclonal |
| 产品类型 | Antibody |
| 全称 | DEAD (Asp-Glu-Ala-Asp) box polypeptide 59 |
| 别名 | DEAD box protein 59, EC:3.6.4.13, Probable ATP-dependent RNA helicase DDX59, Zinc finger HIT domain-containing protein 5, ZNHIT5 |
| 计算分子量 | 619 aa, 69 kDa |
| 观测分子量 | 75 kDa |
| GenBank蛋白编号 | BC041801 |
| 基因名称 | DDX59 |
| Gene ID (NCBI) | 83479 |
| 偶联类型 | Unconjugated |
| 形式 | Liquid |
| 纯化方式 | Antigen affinity Purification |
| UNIPROT ID | Q5T1V6 |
| 储存缓冲液 | PBS with 0.02% sodium azide and 50% glycerol, pH 7.3. |
| 储存条件 | Store at -20°C. Stable for one year after shipment. Aliquoting is unnecessary for -20oC storage. |
背景介绍
DEAD box proteins are multifunctional proteins involved in every aspect in RNA metabolism and have essential roles in many cellular activities. DDX59 is overexpressed in lung adenocarcinoma. DDX59 knockdown reduced cell proliferation, anchorage-independent cell growth, and caused reduction of tumor formation in immunocompromised mice. In multiple lung cancer cells, DDX59 knockdown inhibits DNA synthesis; wild-type DDX59 but not helicase-defective mutant of DDX59 enhances DNA synthesis. DDX59 knockdown caused reduction of MCM protein levels, decreased the loading of MCM ring protein onto chromatin, and therefore inhibited DNA replication. DDX59 has an important role in lung cancer development through promoting DNA replication (PMID: 28090355).
实验方案
| Product Specific Protocols | |
|---|---|
| IHC protocol for DDX59 antibody 32948-1-AP | Download protocol |
| WB protocol for DDX59 antibody 32948-1-AP | Download protocol |
| Standard Protocols | |
|---|---|
| Click here to view our Standard Protocols |

