验证数据展示
经过测试的应用
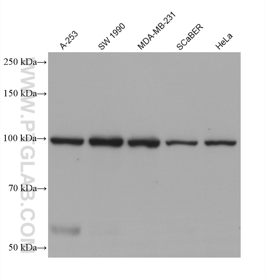
| Positive WB detected in | A-253 cells, SW 1990 cells, MDA-MB-231 cells, SCaBER cells, HeLa cells | 
| Positive IF/ICC detected in | HepG2 cells | 
推荐稀释比
| 应用 | 推荐稀释比 | 
|---|---|
| Western Blot (WB) | WB : 1:5000-1:50000 | 
| Immunofluorescence (IF)/ICC | IF/ICC : 1:200-1:800 | 
| It is recommended that this reagent should be titrated in each testing system to obtain optimal results. | |
| Sample-dependent, Check data in validation data gallery. | |
发表文章中的应用
| WB | See 5 publications below | 
| IF | See 2 publications below | 
产品信息
67556-1-Ig targets RIG-1/DDX58 in WB, IF/ICC, ELISA applications and shows reactivity with human samples.
| 经测试应用 | WB, IF/ICC, ELISA Application Description | 
| 文献引用应用 | WB, IF | 
| 经测试反应性 | human | 
| 文献引用反应性 | human, duck | 
| 免疫原 | 
                                             CatNo: Ag18591 Product name: Recombinant human DDX58 protein Source: e coli.-derived, PET28a Tag: 6*His Domain: 575-925 aa of BC132786 Sequence: RAAGFDEIEQDLTQRFEEKLQELESVSRDPSNENPKLEDLCFILQEEYHLNPETITILFVKTRALVDALKNWIEGNPKLSFLKPGILTGRGKTNQNTGMTLPAQKCILDAFKASGDHNILIATSVADEGIDIAQCNLVILYEYVGNVIKMIQTRGRGRARGSKCFLLTSNAGVIEKEQINMYKEKMMNDSILRLQTWDEAVFREKILHIQTHEKFIRDSQEKPKPVPDKENKKLLCRKCKALACYTADVRVIEECHYTVLGDAFKECFVSRPHPKPKQFSSFEKRAKIFCARQNCSHDWGIHVKYKTFEIPVIKIESFVVEDIATGVQTLYSKWKDFHFEKIPFDPAEMSK 种属同源性预测 | 
                                    
| 宿主/亚型 | Mouse / IgG1 | 
| 抗体类别 | Monoclonal | 
| 产品类型 | Antibody | 
| 全称 | DEAD (Asp-Glu-Ala-Asp) box polypeptide 58 | 
| 别名 | DDX58, RIG-I, 3B10F5, Antiviral innate immune response receptor RIG-I, ATP-dependent RNA helicase DDX58 | 
| 计算分子量 | 925 aa, 106 kDa | 
| 观测分子量 | 101/106 kDa | 
| GenBank蛋白编号 | BC132786 | 
| 基因名称 | RIG-1/DDX58 | 
| Gene ID (NCBI) | 23586 | 
| RRID | AB_2882770 | 
| 偶联类型 | Unconjugated | 
| 形式 | Liquid | 
| 纯化方式 | Protein G purification | 
| UNIPROT ID | O95786 | 
| 储存缓冲液 | PBS with 0.02% sodium azide and 50% glycerol, pH 7.3. | 
| 储存条件 | Store at -20°C. Stable for one year after shipment. Aliquoting is unnecessary for -20oC storage. | 
背景介绍
DDX58, also named as RIG-1, belongs to the helicase family. It is involved in innate immune defense against viruses. Upon interaction with intracellular dsRNA produced during viral replication, triggers a transduction cascade involving MAVS/IPS1, which results in the activation of NF-kappa-B, IRF3 and IRF7 and the induction of the expression of antiviral cytokines such as IFN-beta and RANTES (CCL5). Detects dsRNA produced from non-self dsDNA by RNA polymerase III, such as Epstein-Barr virus-encoded RNAs (EBERs). It is essential for the production of interferons in response to RNA viruses including paramyxoviruses, influenza viruses, Japanese encephalitis virus and HCV. The antibody is specific to DDX58,which has two isoform with the MW of 106 and 101 kDa.
实验方案
| Product Specific Protocols | |
|---|---|
| IF protocol for RIG-1/DDX58 antibody 67556-1-Ig | Download protocol | 
| WB protocol for RIG-1/DDX58 antibody 67556-1-Ig | Download protocol | 
| Standard Protocols | |
|---|---|
| Click here to view our Standard Protocols | 
发表文章
| Species | Application | Title | 
|---|---|---|
J Virol RBM14 inhibits the replication of porcine epidemic diarrhea virus by recruiting p62 to degrade nucleocapsid protein through the activation of autophagy and interferon pathway | ||
Redox Biol Nlrp6 protects from corticosterone-induced NSPC ferroptosis by modulating RIG-1/MAVS-mediated mitophagy | ||
Poult Sci Matrine relieved DHAV-1-induced hepatocyte excessive interferon and pyroptosis by activating mitophagy | ||
Vet Microbiol BTG3 inhibits porcine epidemic diarrhea virus replication by promoting viral S2 protein degradation through the autophagy and proteasome pathways | 

