验证数据展示
经过测试的应用
| Positive WB detected in | DU 145 cells, LNCaP cells, PC-3 cells | 
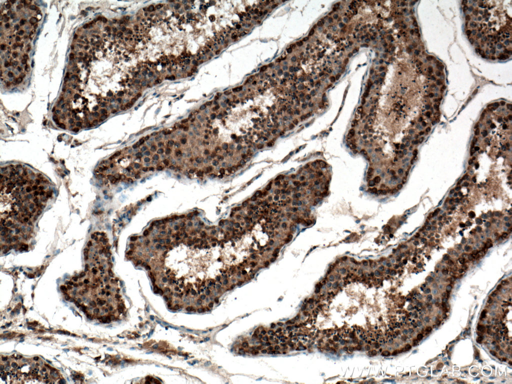
| Positive IHC detected in | human testis tissue Note: suggested antigen retrieval with TE buffer pH 9.0; (*) Alternatively, antigen retrieval may be performed with citrate buffer pH 6.0 | 
| Positive IF/ICC detected in | HeLa cells | 
推荐稀释比
| 应用 | 推荐稀释比 | 
|---|---|
| Western Blot (WB) | WB : 1:500-1:1000 | 
| Immunohistochemistry (IHC) | IHC : 1:50-1:500 | 
| Immunofluorescence (IF)/ICC | IF/ICC : 1:50-1:500 | 
| It is recommended that this reagent should be titrated in each testing system to obtain optimal results. | |
| Sample-dependent, Check data in validation data gallery. | |
发表文章中的应用
| IP | See 1 publications below | 
产品信息
14041-1-AP targets DDX3Y in WB, IHC, IF/ICC, IP, ELISA applications and shows reactivity with human samples.
| 经测试应用 | WB, IHC, IF/ICC, ELISA Application Description | 
| 文献引用应用 | IP | 
| 经测试反应性 | human | 
| 文献引用反应性 | human | 
| 免疫原 | CatNo: Ag5110 Product name: Recombinant human DDX3Y protein Source: e coli.-derived, PGEX-4T Tag: GST Domain: 311-660 aa of BC034942 Sequence: LERGCHLLVATPGRLVDMMERGKIGLDFCKYLVLDEADRMLDMGFEPQIRRIVEQDTMPPKGVRHTMMFSATFPKEIQMLARDFLDEYIFLAVGRVGSTSENITQKVVWVEDLDKRSFLLDILGATGSDSLTLVFVETKKGADSLEDFLYHEGYACTSIHGDRSQRDREEALHQFRSGKSPILVATAVAARGLDISNVRHVINFDLPSDIEEYVHRIGRTGRVGNLGLATSFFNEKNMNITKDLLDLLVEAKQEVPSWLENMAYEHHYKGGSRGRSKSNRFSGGFGARDYRQSSGSSSSGFGASRGSSSRSGGGGYGNSRGFGGGGYGGFYNSDGYGGNYNSQGVDWWGN种属同源性预测 | 
| 宿主/亚型 | Rabbit / IgG | 
| 抗体类别 | Polyclonal | 
| 产品类型 | Antibody | 
| 全称 | DEAD (Asp-Glu-Ala-Asp) box polypeptide 3, Y-linked | 
| 别名 | ATP-dependent RNA helicase DDX3Y, DBY, DEAD box protein 3, Y-chromosomal, EC:3.6.4.13 | 
| 计算分子量 | 73 kDa | 
| 观测分子量 | 73 kDa | 
| GenBank蛋白编号 | BC034942 | 
| 基因名称 | DDX3Y | 
| Gene ID (NCBI) | 8653 | 
| RRID | AB_2092884 | 
| 偶联类型 | Unconjugated | 
| 形式 | Liquid | 
| 纯化方式 | Antigen affinity purification | 
| UNIPROT ID | O15523 | 
| 储存缓冲液 | PBS with 0.02% sodium azide and 50% glycerol, pH 7.3. | 
| 储存条件 | Store at -20°C. Stable for one year after shipment. Aliquoting is unnecessary for -20oC storage. | 
背景介绍
DEAD box proteins, characterized by the conserved motif Asp-Glu-Ala-Asp (DEAD), are putative RNA helicases which are implicated in a number of cellular processes involving RNA binding and alteration of RNA secondary structure. DDX3Y is one member of DEAD box RNA helicases, encode by the gene locate on the chromosome Y in the azoospermia factor A region. Polyclonal anti-DDX3Y antibodies (14041-1-AP) are produced by immunizing animals with C-terminus of DDX3Y and detect an 73-kDa band. As DDX3Y has a structural homolog with DDX3X, the antibody can recognize both.
实验方案
| Product Specific Protocols | |
|---|---|
| IF protocol for DDX3Y antibody 14041-1-AP | Download protocol | 
| IHC protocol for DDX3Y antibody 14041-1-AP | Download protocol | 
| WB protocol for DDX3Y antibody 14041-1-AP | Download protocol | 
| Standard Protocols | |
|---|---|
| Click here to view our Standard Protocols | 






