验证数据展示
经过测试的应用
| Positive WB detected in | HEK-293T cells, HeLa cells, K-562 cells, Jurkat cells, MCF-7 cells |
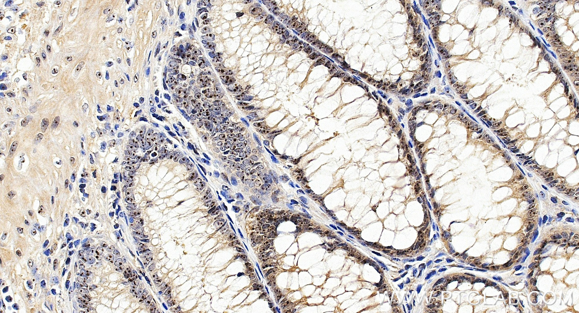
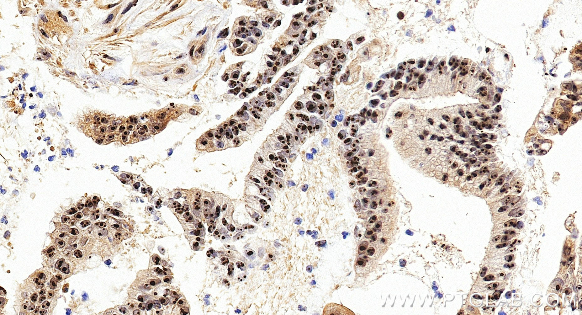
| Positive IHC detected in | human colon cancer tissue Note: suggested antigen retrieval with TE buffer pH 9.0; (*) Alternatively, antigen retrieval may be performed with citrate buffer pH 6.0 |
| Positive IF/ICC detected in | HepG2 cells |
推荐稀释比
| 应用 | 推荐稀释比 |
|---|---|
| Western Blot (WB) | WB : 1:5000-1:50000 |
| Immunohistochemistry (IHC) | IHC : 1:500-1:2000 |
| Immunofluorescence (IF)/ICC | IF/ICC : 1:500-1:2000 |
| It is recommended that this reagent should be titrated in each testing system to obtain optimal results. | |
| Sample-dependent, Check data in validation data gallery. | |
产品信息
85789-3-RR targets DDX18 in WB, IHC, IF/ICC, ELISA applications and shows reactivity with human samples.
| 经测试应用 | WB, IHC, IF/ICC, ELISA Application Description |
| 经测试反应性 | human |
| 免疫原 |
CatNo: Ag27457 Product name: Recombinant human DDX18 protein Source: e coli.-derived, PGEX-4T Tag: GST Domain: 7-165 aa of BC001238 Sequence: KLLRKKIEKRNLKLRQRNLKFQGASNLTLSETQNGDVSEETMGSRKVKKSKQKPMNVGLSETQNGGMSQEAVGNIKVTKSPQKSTVLTNGEAAMQSSNSESKKKKKKKRKMVNDAEPDTKKAKTENKGKSEEESAETTKETENNVEKPDNDEDESEVPS 种属同源性预测 |
| 宿主/亚型 | Rabbit / IgG |
| 抗体类别 | Recombinant |
| 产品类型 | Antibody |
| 全称 | DEAD (Asp-Glu-Ala-Asp) box polypeptide 18 |
| 别名 | ATP-dependent RNA helicase DDX18, cPERP-D, DEAD box protein 18, EC:3.6.4.13, MrDb |
| 计算分子量 | 75 kDa |
| 观测分子量 | 75 kDa |
| GenBank蛋白编号 | BC001238 |
| 基因名称 | DDX18 |
| Gene ID (NCBI) | 8886 |
| RRID | AB_3744375 |
| 偶联类型 | Unconjugated |
| 形式 | Liquid |
| 纯化方式 | Protein A purification |
| UNIPROT ID | Q9NVP1 |
| 储存缓冲液 | PBS with 0.02% sodium azide and 50% glycerol, pH 7.3. |
| 储存条件 | Store at -20°C. Stable for one year after shipment. Aliquoting is unnecessary for -20oC storage. |
背景介绍
DDX18 (DEAD-box helicase 18) is a protein belonging to the DEAD-box deconjugating enzyme family that is widely involved in RNA metabolism. It plays a key role in the assembly of the ribosomal small subunit (SSU) and ensures efficient intracellular protein synthesis. DDX18 unwinds RNA double strands through its deconjugating enzyme activity, which is essential for the proper processing and functional execution of RNA molecules. In addition, DDX18 is a multifunctional RNA deconjugating enzyme involved in a variety of signaling pathways, playing a key role not only in ribosome assembly and RNA metabolism, but also in the regulation of a variety of biological processes such as cell cycle, genome stability and stem cell pluripotency.
实验方案
| Product Specific Protocols | |
|---|---|
| IF protocol for DDX18 antibody 85789-3-RR | Download protocol |
| IHC protocol for DDX18 antibody 85789-3-RR | Download protocol |
| WB protocol for DDX18 antibody 85789-3-RR | Download protocol |
| Standard Protocols | |
|---|---|
| Click here to view our Standard Protocols |



