验证数据展示
经过测试的应用
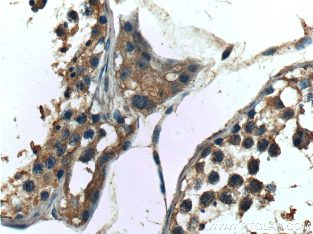
| Positive IHC detected in | human colon cancer tissue, human kidney tissue, human testis tissue, human stomach tissue Note: suggested antigen retrieval with TE buffer pH 9.0; (*) Alternatively, antigen retrieval may be performed with citrate buffer pH 6.0 |
推荐稀释比
| 应用 | 推荐稀释比 |
|---|---|
| Immunohistochemistry (IHC) | IHC : 1:250-1:1000 |
| It is recommended that this reagent should be titrated in each testing system to obtain optimal results. | |
| Sample-dependent, Check data in validation data gallery. | |
产品信息
10536-1-AP targets DDR1 in IHC, IF, IP, CoIP, ELISA applications and shows reactivity with human samples.
| 经测试应用 | IHC, ELISA Application Description |
| 文献引用应用 | IHC, IF, IP, CoIP |
| 经测试反应性 | human |
| 文献引用反应性 | human, mouse |
| 免疫原 |
CatNo: Ag0794 Product name: Recombinant human DDR1 protein Source: e coli.-derived, PGEX-4T Tag: GST Domain: 4-403 aa of BC008716 Sequence: EALSSLLLLLLVASGDADMKGHFDPAKCRYALGMQDRTIPDSDISASSSWSDSTAARHSRLESSDGDGAWCPAGSVFPKEEEYLQVDLQRLHLVALVGTQGRHAGGLGKEFSRSYRLRYSRDGRRWMGWKDRWGQEVISGNEDPEGVVLKDLGPPMVARLVRFYPRADRVMSVCLRVELYGCLWRDGLLSYTAPVGQTMYLSEAVYLNDSTYDGHTVGGLQYGGLGQLADGVVGLDDFRKSQELRVWPGYDYVGWSNHSFSSGYVEMEFEFDRLRAFQAMQVHCNNMHTLGARLPGGVECRFRRGPAMAWEGEPMRHNLGGNLGDPRARAVSVPLGGRVARFLQCRFLFAGPWLLFSEISFISDVVNNSSPALGGTFPPAPWWPPGPPPTNFSSLELEPR 种属同源性预测 |
| 宿主/亚型 | Rabbit / IgG |
| 抗体类别 | Polyclonal |
| 产品类型 | Antibody |
| 全称 | discoidin domain receptor tyrosine kinase 1 |
| 别名 | DDR, Cell adhesion kinase, CD167a, CD167 antigen-like family member A, CD167 |
| 计算分子量 | 97 kDa |
| GenBank蛋白编号 | BC008716 |
| 基因名称 | DDR1 |
| Gene ID (NCBI) | 780 |
| RRID | AB_2092081 |
| 偶联类型 | Unconjugated |
| 形式 | Liquid |
| 纯化方式 | Antigen affinity purification |
| UNIPROT ID | Q08345 |
| 储存缓冲液 | PBS with 0.02% sodium azide and 50% glycerol, pH 7.3. |
| 储存条件 | Store at -20°C. Stable for one year after shipment. Aliquoting is unnecessary for -20oC storage. |
背景介绍
DDR1, or Discoidin Domain Receptor 1, is a member of the receptor tyrosine kinase (RTK) family, which plays a significant role in various cellular processes including cell proliferation, adhesion, migration, and extracellular matrix (ECM) remodeling. DDR1 is known for its unique discoidin domain that allows it to bind specifically to certain collagens, initiating downstream signaling pathways that can lead to cell transformation and tumor progression. Abnormal activation of DDR1 is closely associated with the development of various solid tumors, and it has been shown that DDR1 can prevent immune cells from infiltrating triple-negative breast cancer (TNBC) and eliminate tumor cells.
实验方案
| Product Specific Protocols | |
|---|---|
| IHC protocol for DDR1 antibody 10536-1-AP | Download protocol |
| Standard Protocols | |
|---|---|
| Click here to view our Standard Protocols |
发表文章
| Species | Application | Title |
|---|---|---|
Nat Commun Endothelial discoidin domain receptor 1 senses flow to modulate YAP activation
| ||
Bioact Mater Matrix stiffness exacerbates the proinflammatory responses of vascular smooth muscle cell through the DDR1-DNMT1 mechanotransduction axis.
| ||
J Exp Clin Cancer Res High expression of DDR1 is associated with the poor prognosis in Chinese patients with pancreatic ductal adenocarcinoma. | ||
Exp Cell Res Downregulation of CYRI-B promotes migration, invasion and EMT by activating the Rac1-STAT3 pathway in gastric cancer | ||
Nat Cell Biol Palmitoylation-mediated regulation of KAT2A promotes lung metastasis in breast cancer.
|






