验证数据展示
产品信息
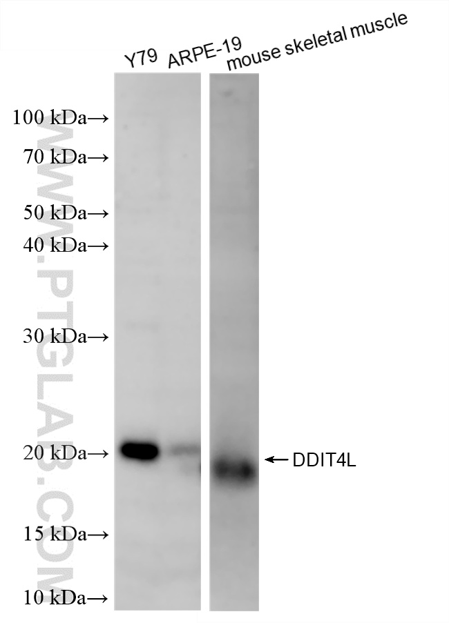
87486-1-PBS targets DDIT4L in WB, Indirect ELISA applications and shows reactivity with human, mouse samples.
| 经测试应用 | WB, Indirect ELISA Application Description |
| 经测试反应性 | human, mouse |
| 免疫原 |
CatNo: Ag29616 Product name: Recombinant human DDIT4L protein Source: e coli.-derived, PGEX-4T Tag: GST Domain: 1-99 aa of BC013592 Sequence: MVATGSLSSKNPASISELLDCGYHPESLLSDFDYWDYVVPEPNLNEVIFEESTCQNLVKMLENCLSKSKQTKLGCSKVLVPEKLTQRIAQDVLRLSSTE 种属同源性预测 |
| 宿主/亚型 | Rabbit / IgG |
| 抗体类别 | Recombinant |
| 产品类型 | Antibody |
| 全称 | DNA-damage-inducible transcript 4-like |
| 别名 | DNA damage-inducible transcript 4-like protein, HIF-1 responsive protein RTP801-like, REDD2, REDD-2, RTP801L |
| 计算分子量 | 193 aa, 22 kDa |
| 观测分子量 | 20 kDa |
| GenBank蛋白编号 | BC013592 |
| 基因名称 | DDIT4L |
| Gene ID (NCBI) | 115265 |
| RRID | AB_3745577 |
| 偶联类型 | Unconjugated |
| 形式 | Liquid |
| 纯化方式 | Protein A purification |
| UNIPROT ID | Q96D03 |
| 储存缓冲液 | PBS only, pH 7.3. |
| 储存条件 | Store at -80°C. The product is shipped with ice packs. Upon receipt, store it immediately at -80°C |
背景介绍
DNA-damage-inducible transcript 4-like protein(DDIT4L), encoded by the stress responsive gene REDD2, is a negative regulator of mTOR signaling, and expressed predominantly in skeletal muscle. It regulates the TOR signaling pathway upstream of the TSC1-TSC2 complex and downstream of AKT1. Also, DDIT4L involves in oxidized low-density lipoprotein-induced macrophage death sensitivity.


