验证数据展示
经过测试的应用
| Positive WB detected in | MCF-7 cells, A549 cells |
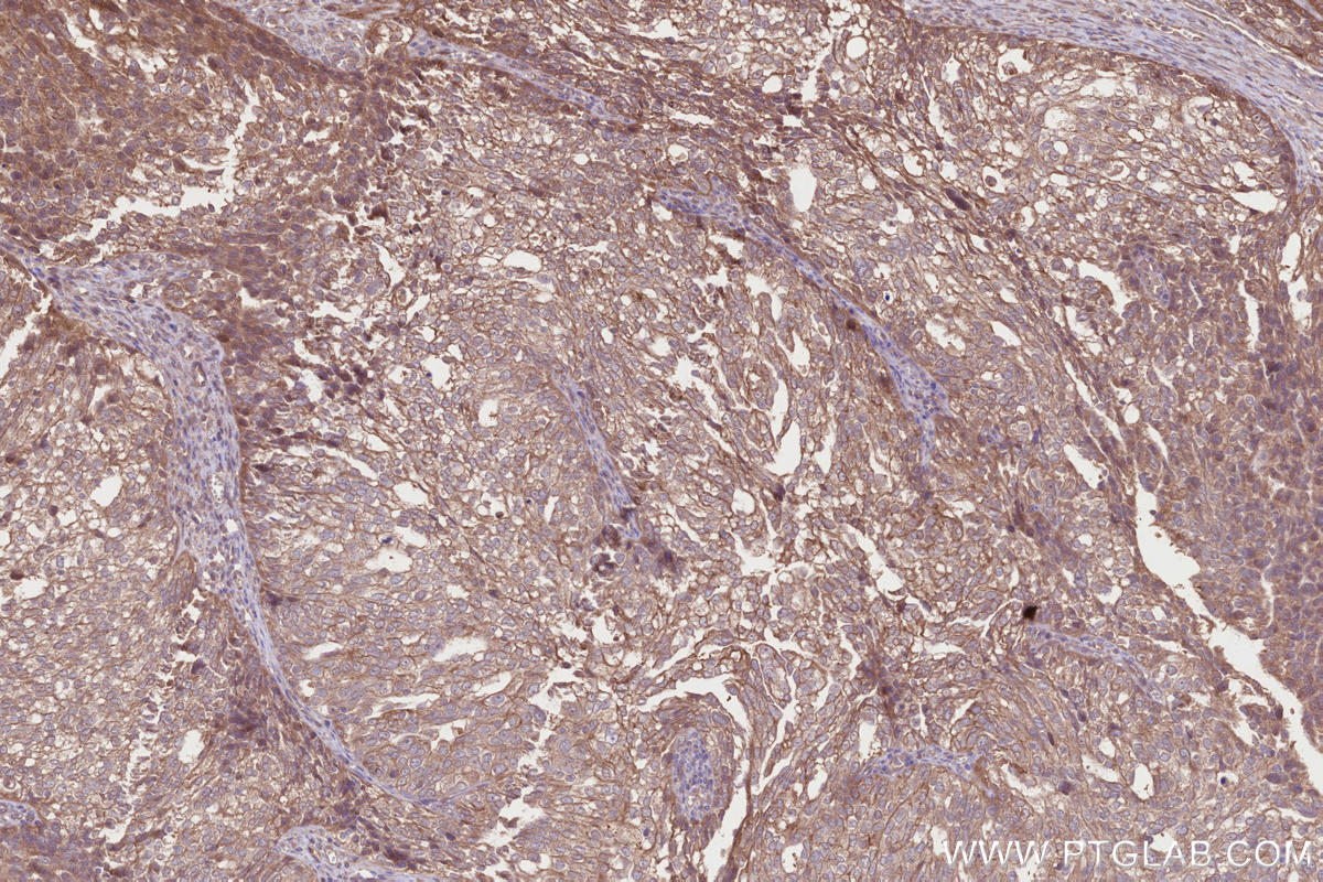
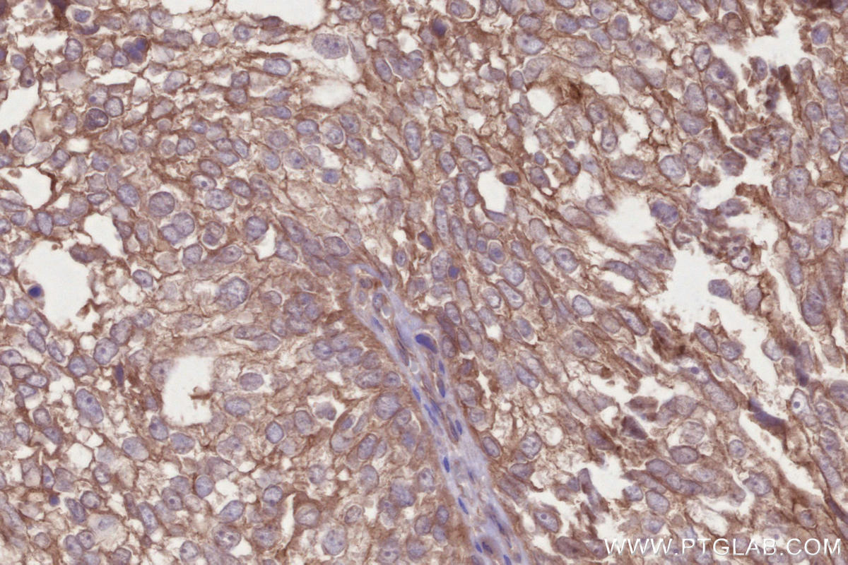
| Positive IHC detected in | human ovary cancer tissue Note: suggested antigen retrieval with TE buffer pH 9.0; (*) Alternatively, antigen retrieval may be performed with citrate buffer pH 6.0 |
推荐稀释比
| 应用 | 推荐稀释比 |
|---|---|
| Western Blot (WB) | WB : 1:500-1:2000 |
| Immunohistochemistry (IHC) | IHC : 1:50-1:500 |
| It is recommended that this reagent should be titrated in each testing system to obtain optimal results. | |
| Sample-dependent, Check data in validation data gallery. | |
产品信息
26356-1-AP targets DCUN1D3 in WB, IHC, ELISA applications and shows reactivity with human samples.
| 经测试应用 | WB, IHC, ELISA Application Description |
| 经测试反应性 | human |
| 免疫原 |
CatNo: Ag23730 Product name: Recombinant human DCUN1D3 protein Source: e coli.-derived, PGEX-4T Tag: GST Domain: 1-304 aa of BC040442 Sequence: MGQCVTKCKNPSSTLGSKNGDREPSNKSHSRRGAGHREEQVPPCGKPGGDILVNGTKKAEAATEACQLPTSSGDAGRESKSNAEESSLQRLEELFRRYKDEREDAILEEGMERFCNDLCVDPTEFRVLLLAWKFQAATMCKFTRKEFFDGCKAISADSIDGICARFPSLLTEAKQEDKFKDLYRFTFQFGLDSEEGQRSLHREIAIALWKLVFTQNNPPVLDQWLNFLTENPSGIKGISRDTWNMFLNFTQVIGPDLSNYSEDEAWPSLFDTFVEWEMERRKREGEGRGALSSGPEGLCPEEQT 种属同源性预测 |
| 宿主/亚型 | Rabbit / IgG |
| 抗体类别 | Polyclonal |
| 产品类型 | Antibody |
| 全称 | DCN1, defective in cullin neddylation 1, domain containing 3 (S. cerevisiae) |
| 别名 | DCN1-like protein 3, DCNL3, DCUN1 domain-containing protein 3, Defective in cullin neddylation protein 1-like protein 3, SCCRO3 |
| 观测分子量 | 34 kDa |
| GenBank蛋白编号 | BC040442 |
| 基因名称 | DCUN1D3 |
| Gene ID (NCBI) | 123879 |
| RRID | AB_2880489 |
| 偶联类型 | Unconjugated |
| 形式 | Liquid |
| 纯化方式 | Antigen affinity purification |
| UNIPROT ID | Q8IWE4 |
| 储存缓冲液 | PBS with 0.02% sodium azide and 50% glycerol, pH 7.3. |
| 储存条件 | Store at -20°C. Stable for one year after shipment. Aliquoting is unnecessary for -20oC storage. |
背景介绍
DCUN1D3, also named as SCCRO3, is proposed to function as a tumor suppressor. DCUN1D3 antagonizes DCUN1D1-mediated CUL1 neddylation by sequestering CUL1 at the cell membrane (PubMed:25349211). When overexpressed in transformed cells, DCUN1D3 may promote mesenchymal to epithelial-like changes and inhibit colony formation in soft agar (PubMed:25349211).
实验方案
| Product Specific Protocols | |
|---|---|
| IHC protocol for DCUN1D3 antibody 26356-1-AP | Download protocol |
| WB protocol for DCUN1D3 antibody 26356-1-AP | Download protocol |
| Standard Protocols | |
|---|---|
| Click here to view our Standard Protocols |



