验证数据展示
经过测试的应用
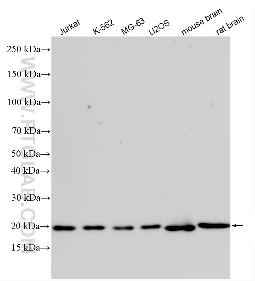
| Positive WB detected in | Jurkat cells, K-562 cells, MG-63 cells, U2OS cells, mouse brain tissue, rat brain tissue |
| Positive IHC detected in | mouse brain tissue, rat brain tissue Note: suggested antigen retrieval with TE buffer pH 9.0; (*) Alternatively, antigen retrieval may be performed with citrate buffer pH 6.0 |
推荐稀释比
| 应用 | 推荐稀释比 |
|---|---|
| Western Blot (WB) | WB : 1:1000-1:6000 |
| Immunohistochemistry (IHC) | IHC : 1:300-1:1200 |
| It is recommended that this reagent should be titrated in each testing system to obtain optimal results. | |
| Sample-dependent, Check data in validation data gallery. | |
产品信息
11325-1-AP targets DCTN3 in WB, IHC, ELISA applications and shows reactivity with human, mouse, rat samples.
| 经测试应用 | WB, IHC, ELISA Application Description |
| 经测试反应性 | human, mouse, rat |
| 免疫原 |
CatNo: Ag1865 Product name: Recombinant human DCTN3 protein Source: e coli.-derived, PGEX-4T Tag: GST Domain: 1-176 aa of BC000319 Sequence: MAGLTDLQRLQARVEELERWVYGPGGARGSRKVADGLVKVQVALGNISSKRERVKILYKKIEDLIKYLDPEYIDRIAIPDASKLQFILAEEQFILSQVALLEQVNALVPMLDSAHIKAVPEHAARLQRLAQIHIQQQAPWGVGVRDEAGSLVEDVGFAQFLSVLHFGPTGPVCGNH 种属同源性预测 |
| 宿主/亚型 | Rabbit / IgG |
| 抗体类别 | Polyclonal |
| 产品类型 | Antibody |
| 全称 | dynactin 3 (p22) |
| 别名 | DCTN 22, DCTN 3, DCTN22, dynactin 3 (p22), p22 |
| 计算分子量 | 186 aa, 21 kDa |
| 观测分子量 | 22 kDa |
| GenBank蛋白编号 | BC000319 |
| 基因名称 | DCTN3 |
| Gene ID (NCBI) | 11258 |
| RRID | AB_3741816 |
| 偶联类型 | Unconjugated |
| 形式 | Liquid |
| 纯化方式 | Antigen affinity purification |
| UNIPROT ID | O75935 |
| 储存缓冲液 | PBS with 0.02% sodium azide and 50% glycerol, pH 7.3. |
| 储存条件 | Store at -20°C. Stable for one year after shipment. Aliquoting is unnecessary for -20oC storage. |
背景介绍
DCTN3 (Dynactin Subunit 3, also known as p22) is a core component of the dynactin complex, essential for cytoplasmic dynein-mediated intracellular transport. This 22-kDa polypeptide binds directly to microtubules and stabilizes the dynactin structure, facilitating cargo movement along microtubule tracks. DCTN3 plays critical roles in mitotic spindle organization, vesicle trafficking, and neuronal development (PMID: 24352458).
实验方案
| Product Specific Protocols | |
|---|---|
| IHC protocol for DCTN3 antibody 11325-1-AP | Download protocol |
| WB protocol for DCTN3 antibody 11325-1-AP | Download protocol |
| Standard Protocols | |
|---|---|
| Click here to view our Standard Protocols |




