验证数据展示
经过测试的应用
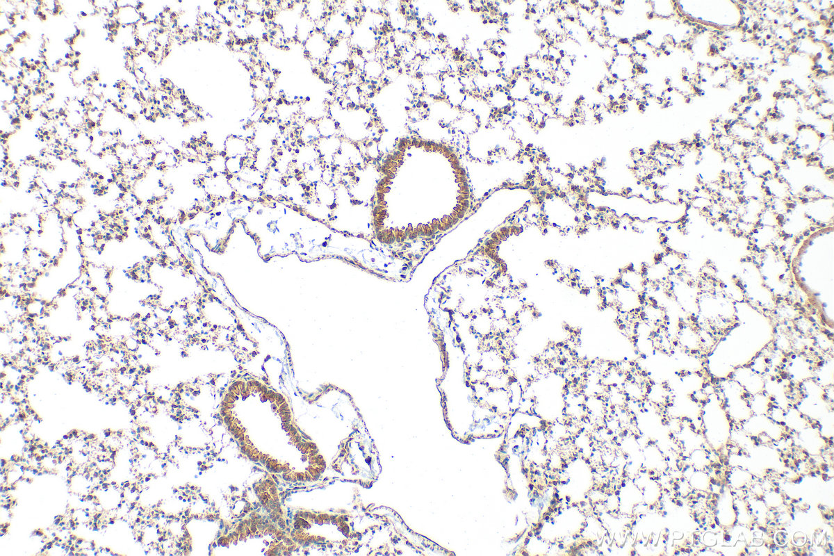
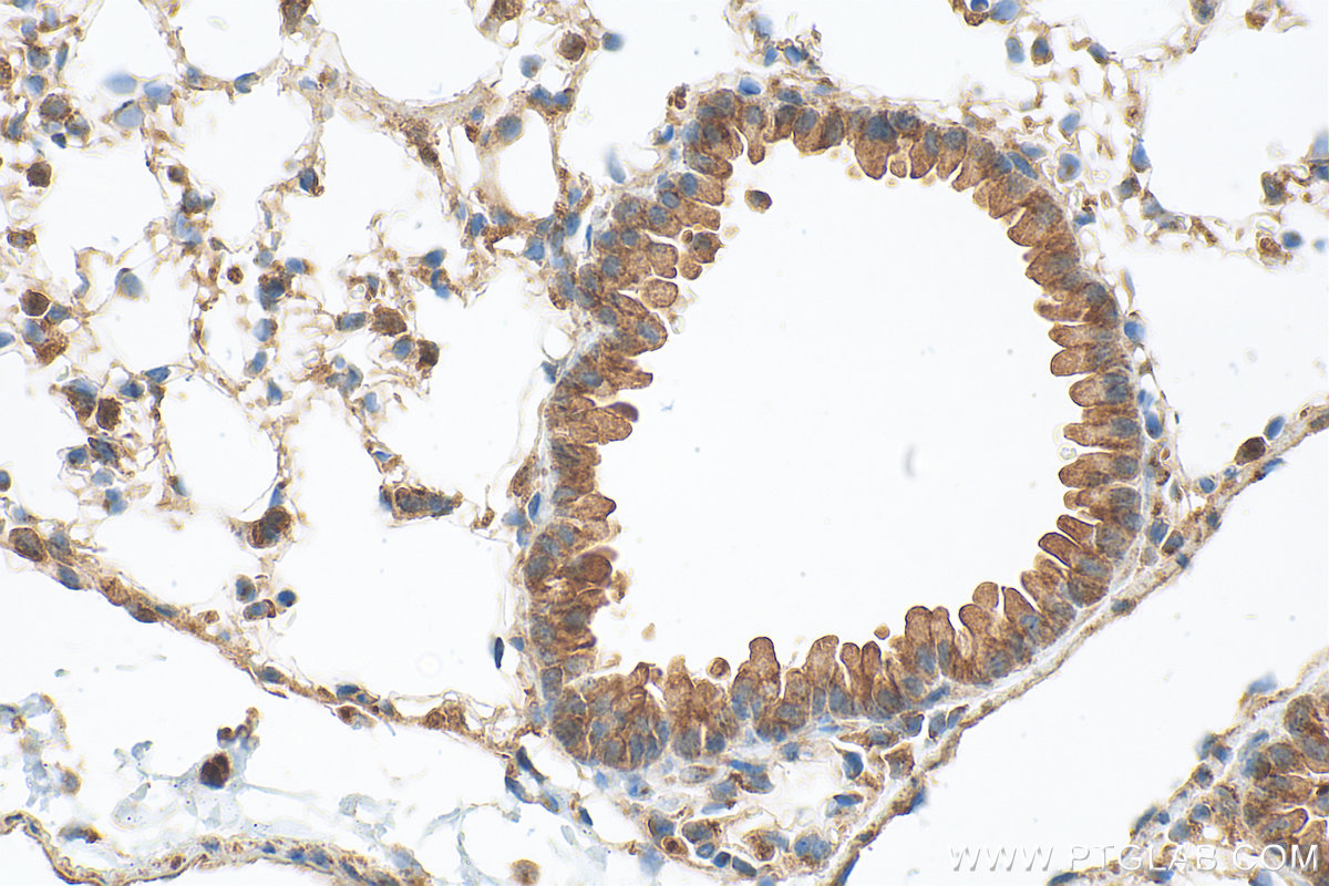
| Positive IHC detected in | mouse lung tissue Note: suggested antigen retrieval with TE buffer pH 9.0; (*) Alternatively, antigen retrieval may be performed with citrate buffer pH 6.0 |
推荐稀释比
| 应用 | 推荐稀释比 |
|---|---|
| Immunohistochemistry (IHC) | IHC : 1:500-1:2000 |
| It is recommended that this reagent should be titrated in each testing system to obtain optimal results. | |
| Sample-dependent, Check data in validation data gallery. | |
产品信息
24504-1-AP targets DCBLD1 in IHC, ELISA applications and shows reactivity with human, mouse samples.
| 经测试应用 | IHC, ELISA Application Description |
| 经测试反应性 | human, mouse |
| 免疫原 |
CatNo: Ag21352 Product name: Recombinant human DCBLD1 protein Source: e coli.-derived, PET28a Tag: 6*His Domain: 240-317 aa of BC035671 Sequence: DGSLSDKRFLFTSNGCSRSLSFEPDGQIRASSSWQSVNESGDQVHWSPGQARLQDQGPSWASGDSSNNHKPREWLEID 种属同源性预测 |
| 宿主/亚型 | Rabbit / IgG |
| 抗体类别 | Polyclonal |
| 产品类型 | Antibody |
| 全称 | discoidin, CUB and LCCL domain containing 1 |
| 别名 | Discoidin, CUB and LCCL domain-containing protein 1 |
| 计算分子量 | 715 aa, 78 kDa |
| 观测分子量 | 68 kDa |
| GenBank蛋白编号 | BC035671 |
| 基因名称 | DCBLD1 |
| Gene ID (NCBI) | 285761 |
| RRID | AB_3085737 |
| 偶联类型 | Unconjugated |
| 形式 | Liquid |
| 纯化方式 | Antigen affinity purification |
| UNIPROT ID | Q8N8Z6 |
| 储存缓冲液 | PBS with 0.02% sodium azide and 50% glycerol, pH 7.3. |
| 储存条件 | Store at -20°C. Stable for one year after shipment. Aliquoting is unnecessary for -20oC storage. |
背景介绍
DCBLD1, a transmembrane protein with extracellular CUB (an extracellular domain of approximately 110 residues that is found in functionally diverse, mostly developmentally regulated proteins), LCCL (including 94-97 amino acids, non-cytoplasmic but the function is undefined), and F5/8 type C domains 8, is a type I transmembrane protein (A-D) that binds to semaphorins, belonging to the DCBLD family, and is rarely studied and poorly characterized.
实验方案
| Product Specific Protocols | |
|---|---|
| IHC protocol for DCBLD1 antibody 24504-1-AP | Download protocol |
| Standard Protocols | |
|---|---|
| Click here to view our Standard Protocols |

