验证数据展示
经过测试的应用
| Positive WB detected in | SH-SY5Y cells, NIH/3T3 cells, mouse brain tissue |
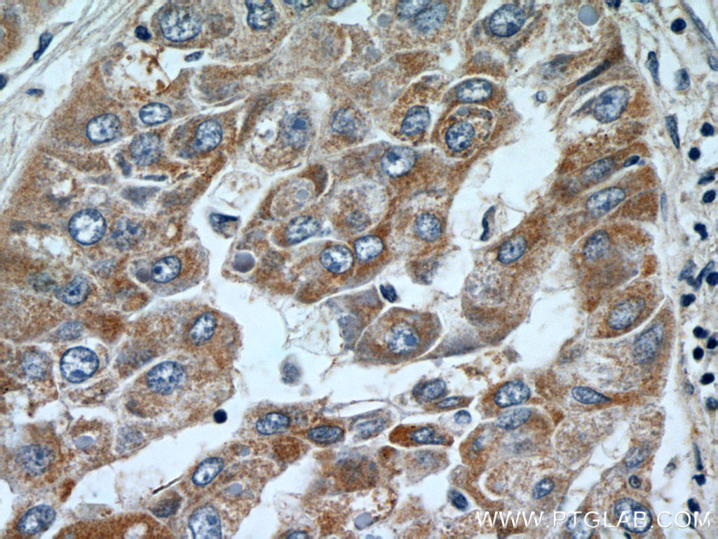
| Positive IHC detected in | mouse brain tissue, human liver cancer tissue Note: suggested antigen retrieval with TE buffer pH 9.0; (*) Alternatively, antigen retrieval may be performed with citrate buffer pH 6.0 |
| Positive IF-Fro detected in | rat brain tissue |
| Positive IF/ICC detected in | SH-SY5Y cells, HeLa cells |
| Positive FC (Intra) detected in | SH-SY5Y cells |
推荐稀释比
| 应用 | 推荐稀释比 |
|---|---|
| Western Blot (WB) | WB : 1:1000-1:8000 |
| Immunohistochemistry (IHC) | IHC : 1:50-1:500 |
| Immunofluorescence (IF)-FRO | IF-FRO : 1:50-1:500 |
| Immunofluorescence (IF)/ICC | IF/ICC : 1:200-1:800 |
| Flow Cytometry (FC) (INTRA) | FC (INTRA) : 0.40 ug per 10^6 cells in a 100 µl suspension |
| It is recommended that this reagent should be titrated in each testing system to obtain optimal results. | |
| Sample-dependent, Check data in validation data gallery. | |
发表文章中的应用
| WB | See 2 publications below |
| IF | See 1 publications below |
产品信息
10777-1-AP targets DBH in WB, IHC, IF/ICC, IF-Fro, FC (Intra), ELISA applications and shows reactivity with human, mouse samples.
| 经测试应用 | WB, IHC, IF/ICC, IF-Fro, FC (Intra), ELISA Application Description |
| 文献引用应用 | WB, IF |
| 经测试反应性 | human, mouse |
| 文献引用反应性 | human, mouse |
| 免疫原 |
CatNo: Ag1196 Product name: Recombinant human DBH protein Source: e coli.-derived, PGEX-4T Tag: GST Domain: 269-603 aa of BC017174 Sequence: CDSKMKPDRLNYCRHVLAAWALGAKAFYYPEEAGLAFGGPGSSRYLRLEVHYHNPLVIEGRNDSSGIRLYYTAKLRRFNAGIMELGLVYTPVMAIPPRETAFILTGYCTDKCTQLALPPSGIHIFASQLHTHLTGRKVVTVLVRDGREWEIVNQDNHYSPHFQEIRMLKKVVSVHPGDVLITSCTYNTEDRELATVGGFGILEEMCVNYVHYYPQTQLELCKSAVDAGFLQKYFHLINRFNNEDVCTCPQASVSQQFTSVPWNSFNRDVLKALYSFAPISMHCNKSSAVRFQGEWNLQPLPKVISTLEEPTPQCPTSQGRSPAGPTVVSIGGGKG 种属同源性预测 |
| 宿主/亚型 | Rabbit / IgG |
| 抗体类别 | Polyclonal |
| 产品类型 | Antibody |
| 全称 | DBH |
| 别名 | DBM, Dopamine beta-hydroxylase, Dopamine beta-monooxygenase, EC:1.14.17.1, Soluble dopamine beta-hydroxylase |
| 计算分子量 | 64.8 kDa |
| 观测分子量 | 63 kDa |
| GenBank蛋白编号 | BC017174 |
| 基因名称 | DBH |
| Gene ID (NCBI) | 1621 |
| RRID | AB_2277037 |
| 偶联类型 | Unconjugated |
| 形式 | Liquid |
| 纯化方式 | Antigen affinity purification |
| UNIPROT ID | P09172 |
| 储存缓冲液 | PBS with 0.02% sodium azide and 50% glycerol, pH 7.3. |
| 储存条件 | Store at -20°C. Stable for one year after shipment. Aliquoting is unnecessary for -20oC storage. |
背景介绍
DBH belongs to the copper type II ascorbate-dependent monooxygenase family and catalyzes the oxidative hydroxylation of DBH to norepinephrine. It is almost exclusively located in the adrenal medulla and the synaptic vesicles of postganglionic sympathetic neurons(PMID:11857564).The DBH is glycosylated (63--67 kDa) while still in the membrane(PMID:2325165) and it can form a dimer(PMID:8546710).
实验方案
| Product Specific Protocols | |
|---|---|
| IF protocol for DBH antibody 10777-1-AP | Download protocol |
| IHC protocol for DBH antibody 10777-1-AP | Download protocol |
| WB protocol for DBH antibody 10777-1-AP | Download protocol |
| Standard Protocols | |
|---|---|
| Click here to view our Standard Protocols |
发表文章
| Species | Application | Title |
|---|---|---|
Int J Mol Sci Intermittent Hypoxia Increased the Expression of DBH and PNMT in Neuroblastoma Cells via MicroRNA-375-Mediated Mechanism. | ||
Peptides Markers of the sympathetic, parasympathetic and sensory nervous system are altered in the human diabetic choroid. | ||









