验证数据展示
经过测试的应用
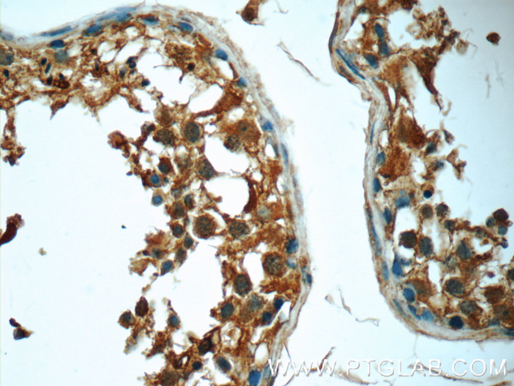
| Positive IHC detected in | human brain tissue, human testis tissue Note: suggested antigen retrieval with TE buffer pH 9.0; (*) Alternatively, antigen retrieval may be performed with citrate buffer pH 6.0 |
推荐稀释比
| 应用 | 推荐稀释比 |
|---|---|
| Immunohistochemistry (IHC) | IHC : 1:20-1:200 |
| It is recommended that this reagent should be titrated in each testing system to obtain optimal results. | |
| Sample-dependent, Check data in validation data gallery. | |
产品信息
24692-1-AP targets DAOA in IHC, ELISA applications and shows reactivity with human samples.
| 经测试应用 | IHC, ELISA Application Description |
| 经测试反应性 | human |
| 免疫原 |
CatNo: Ag19143 Product name: Recombinant human DAOA protein Source: e coli.-derived, PET28a Tag: 6*His Domain: 1-153 aa of BC121091 Sequence: MLEKLMGADSLQLFRSRYTLGKIYFIGFQRSILLSKSENSLNSIAKETEEGRETVTRKEGWKRRHEDGYLEMAQRHLQRSLCPWVSYLPQPYAELEEVSSHVGKVFMARNYEFLAYEASKDRRQPLERMWTCNYNQQKDQSCNHKEITSTKAE 种属同源性预测 |
| 宿主/亚型 | Rabbit / IgG |
| 抗体类别 | Polyclonal |
| 产品类型 | Antibody |
| 全称 | D-amino acid oxidase activator |
| 别名 | D amino acid oxidase activator, DAOA, G72, LG72, Protein G72, SG72 |
| 计算分子量 | 153 aa, 18 kDa |
| GenBank蛋白编号 | BC121091 |
| 基因名称 | DAOA |
| Gene ID (NCBI) | 267012 |
| RRID | AB_2879676 |
| 偶联类型 | Unconjugated |
| 形式 | Liquid |
| 纯化方式 | Antigen affinity purification |
| UNIPROT ID | P59103 |
| 储存缓冲液 | PBS with 0.02% sodium azide and 50% glycerol, pH 7.3. |
| 储存条件 | Store at -20°C. Stable for one year after shipment. Aliquoting is unnecessary for -20oC storage. |
实验方案
| Product Specific Protocols | |
|---|---|
| IHC protocol for DAOA antibody 24692-1-AP | Download protocol |
| Standard Protocols | |
|---|---|
| Click here to view our Standard Protocols |



