验证数据展示
经过测试的应用
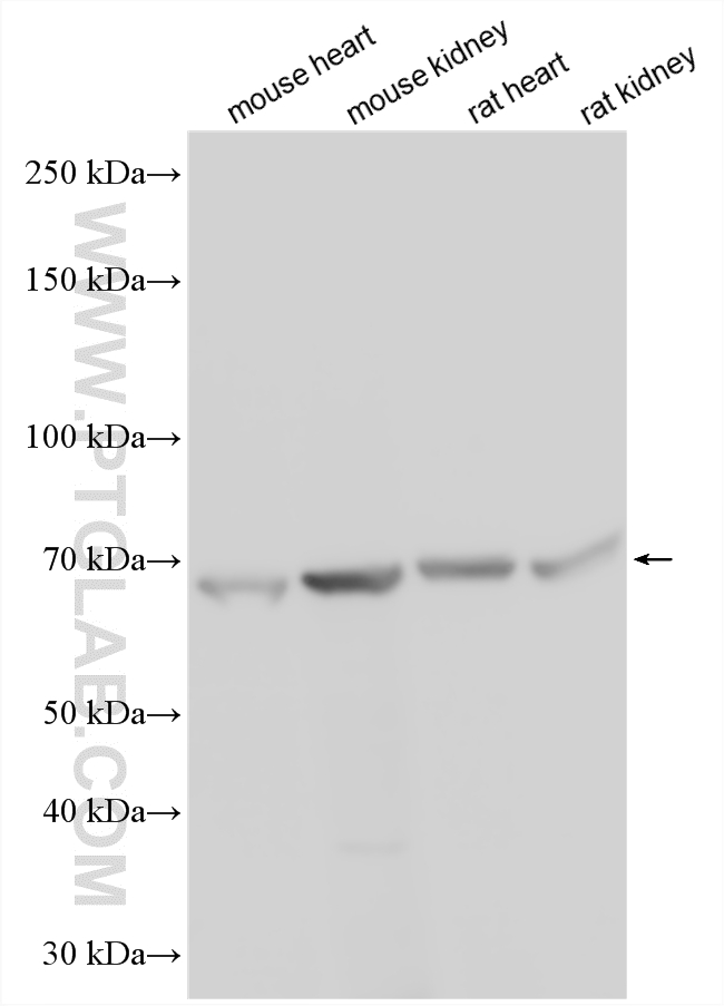
| Positive WB detected in | mouse heart tissue, mouse kidney tissue, rat heart tissue, rat kidney tissue |
推荐稀释比
| 应用 | 推荐稀释比 |
|---|---|
| Western Blot (WB) | WB : 1:1000-1:6000 |
| It is recommended that this reagent should be titrated in each testing system to obtain optimal results. | |
| Sample-dependent, Check data in validation data gallery. | |
产品信息
25219-1-AP targets DACH2 in WB, ELISA applications and shows reactivity with human, mouse, rat samples.
| 经测试应用 | WB, ELISA Application Description |
| 经测试反应性 | human, mouse, rat |
| 免疫原 |
CatNo: Ag18403 Product name: Recombinant human DACH2 protein Source: e coli.-derived, PGEX-4T Tag: GST Domain: 50-181 aa of BC114950 Sequence: KRSLGVLQENARLLTHAVPGLLSPGLITPTGITAAAMAEAMKLQKMKLMAMNTLQGNGSQNGTESEPDDLNSNTGGSESSWDKDKMQSPFAAPGPQHGIAHAALAGQPGIGGAPTLNPLQQNHLLTNRLDLP 种属同源性预测 |
| 宿主/亚型 | Rabbit / IgG |
| 抗体类别 | Polyclonal |
| 产品类型 | Antibody |
| 全称 | dachshund homolog 2 (Drosophila) |
| 别名 | Dachshund homolog 2 |
| 计算分子量 | 599 aa, 65 kDa |
| 观测分子量 | 65 kDa |
| GenBank蛋白编号 | BC114950 |
| 基因名称 | DACH2 |
| Gene ID (NCBI) | 117154 |
| RRID | AB_2879967 |
| 偶联类型 | Unconjugated |
| 形式 | Liquid |
| 纯化方式 | Antigen affinity purification |
| UNIPROT ID | Q96NX9 |
| 储存缓冲液 | PBS with 0.02% sodium azide and 50% glycerol, pH 7.3. |
| 储存条件 | Store at -20°C. Stable for one year after shipment. Aliquoting is unnecessary for -20oC storage. |
背景介绍
Dachshund homolog 2 (DACH2), is a 599 amino acid protein, which belongs to the DACH family. DACH2 localizes in the nucleus and as a transcription factor is involved in regulation of organogenesis.
实验方案
| Product Specific Protocols | |
|---|---|
| WB protocol for DACH2 antibody 25219-1-AP | Download protocol |
| Standard Protocols | |
|---|---|
| Click here to view our Standard Protocols |
