验证数据展示
经过测试的应用
| Positive WB detected in | EC109 cells, HeLa cells, HaCat cells, A431 cells, A549 cells, BxPC-3 cells, T-47D cells |
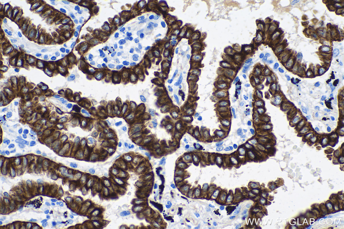
| Positive IHC detected in | human lung cancer tissue, human endometrial cancer tissue, human ovary tumor tissue, human pancreas cancer tissue Note: suggested antigen retrieval with TE buffer pH 9.0; (*) Alternatively, antigen retrieval may be performed with citrate buffer pH 6.0 |
| Positive IF-P detected in | mouse liver tissue |
推荐稀释比
| 应用 | 推荐稀释比 |
|---|---|
| Western Blot (WB) | WB : 1:5000-1:50000 |
| Immunohistochemistry (IHC) | IHC : 1:4150-1:16600 |
| Immunofluorescence (IF)-P | IF-P : 1:200-1:800 |
| It is recommended that this reagent should be titrated in each testing system to obtain optimal results. | |
| Sample-dependent, Check data in validation data gallery. | |
产品信息
68296-1-Ig targets Cytokeratin 7 in WB, IHC, IF-P, ELISA applications and shows reactivity with human samples.
| 经测试应用 | WB, IHC, IF-P, ELISA Application Description |
| 经测试反应性 | human |
| 免疫原 |
CatNo: Ag7895 Product name: Recombinant human CK7 protein Source: e coli.-derived, PGEX-4T Tag: GST Domain: 1-351 aa of BC002700 Sequence: MSIHFSSPVFTSRSAAFSGRGAQVRLSSARPGGLGSSSLYGLGASRPRVAVRSAYGGPVGAGIREVTINQSLLAPLRLDADPSLQRVRQEESEQIKTLNNKFASFIDKVRFLEQQNKLLETKWTLLQEQKSAKSSRLPDIFEAQIAGLRGQLEALQVDGGRLEAELRSMQDVVEDFKNKYEDEINRRTAAENEFVVLKKDVDAAYMSKVELEAKVDALNDEINFLRTLNETELTELQSQISDTSVVLSMDNSRSLDLDGIIAEVKAQYEEMAKCSRAEAEAWYQTKFETLQAQAGKHGDDLRNTRNEISEMNRAIQRLQAEIDNIKNQRAKLEAAIAEAEERGELALKDAR 种属同源性预测 |
| 宿主/亚型 | Mouse / IgG1 |
| 抗体类别 | Monoclonal |
| 产品类型 | Antibody |
| 全称 | keratin 7 |
| 别名 | KRT7, 3G2H1, CK 7, CK7, CK-7 |
| 计算分子量 | 469 aa, 51 kDa |
| 观测分子量 | 51 kDa |
| GenBank蛋白编号 | BC002700 |
| 基因名称 | Cytokeratin 7 |
| Gene ID (NCBI) | 3855 |
| RRID | AB_2935376 |
| 偶联类型 | Unconjugated |
| 形式 | Liquid |
| 纯化方式 | Protein G purification |
| UNIPROT ID | P08729 |
| 储存缓冲液 | PBS with 0.02% sodium azide and 50% glycerol, pH 7.3. |
| 储存条件 | Store at -20°C. Stable for one year after shipment. Aliquoting is unnecessary for -20oC storage. |
背景介绍
Keratins are a large family of proteins that form the intermediate filament cytoskeleton of epithelial cells, which are classified into two major sequence types. Type I keratins are a group of acidic intermediate filament proteins, including K9-K23, and the hair keratins Ha1-Ha8. Type II keratins are the basic or neutral courterparts to the acidic type I keratins, including K1-K8, and the hair keratins, Hb1-Hb6. KRT7, also named cytokeratin 7, is one member of type II basic cytokeratin. It is specifically expressed in the simple epithelia lining the cavities of the internal organs and in the gland ducts and blood vessels, and their neoplasms. KRT7 is a marker of epithelial tissues, but not present in carcinomas of stratified squamous cell origin.
实验方案
| Product Specific Protocols | |
|---|---|
| IF protocol for Cytokeratin 7 antibody 68296-1-Ig | Download protocol |
| IHC protocol for Cytokeratin 7 antibody 68296-1-Ig | Download protocol |
| WB protocol for Cytokeratin 7 antibody 68296-1-Ig | Download protocol |
| Standard Protocols | |
|---|---|
| Click here to view our Standard Protocols |













