验证数据展示
经过测试的应用
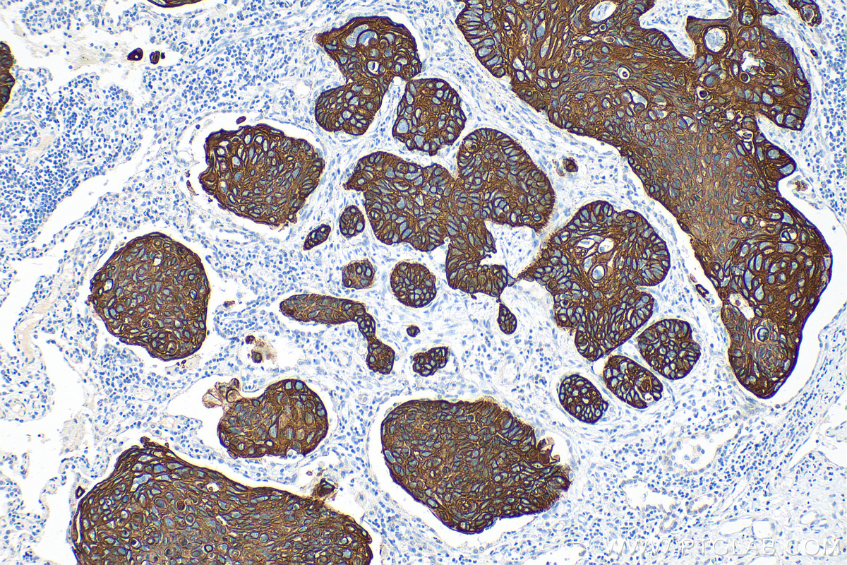
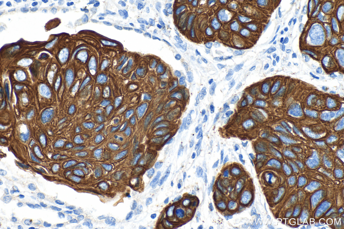
| Positive IHC detected in | human lung cancer tissue, human Mesothelioma tissue Note: suggested antigen retrieval with TE buffer pH 9.0; (*) Alternatively, antigen retrieval may be performed with citrate buffer pH 6.0 |
| Positive IF/ICC detected in | A431 cells, HeLa cells |
推荐稀释比
| 应用 | 推荐稀释比 |
|---|---|
| Immunohistochemistry (IHC) | IHC : 1:500-1:2000 |
| Immunofluorescence (IF)/ICC | IF/ICC : 1:200-1:800 |
| It is recommended that this reagent should be titrated in each testing system to obtain optimal results. | |
| Sample-dependent, Check data in validation data gallery. | |
产品信息
82548-7-RR targets Cytokeratin 5 in IHC, IF/ICC, ELISA applications and shows reactivity with human samples.
| 经测试应用 | IHC, IF/ICC, ELISA Application Description |
| 经测试反应性 | human |
| 免疫原 |
CatNo: Ag24184 Product name: Recombinant human KRT5 protein Source: e coli.-derived, PGEX-4T Tag: GST Domain: 316-491 aa of BC024292 Sequence: THVSDTSVVLSMDNNRNLDLDSIIAEVKAQYEEIANRSRTEAESWYQTKYEELQQTAGRHGDDLRNTKHEISEMNRMIQRLRAEIDNVKKQCANLQNAIADAEQRGELALKDARNKLAELEEALQKAKQDMARLLREYQELMNTKLALDVEIATYRKLLEGEECRLSGEGVGPVNI 种属同源性预测 |
| 宿主/亚型 | Rabbit / IgG |
| 抗体类别 | Recombinant |
| 产品类型 | Antibody |
| 全称 | keratin 5 |
| 别名 | CK 5, CK-5, keratin 5, KRT5, 4N17 |
| 计算分子量 | 590 aa, 62 kDa |
| GenBank蛋白编号 | BC024292 |
| 基因名称 | Cytokeratin 5 |
| Gene ID (NCBI) | 3852 |
| 偶联类型 | Unconjugated |
| 形式 | Liquid |
| 纯化方式 | Protein A purification |
| UNIPROT ID | P13647 |
| 储存缓冲液 | PBS with 0.02% sodium azide and 50% glycerol, pH 7.3. |
| 储存条件 | Store at -20°C. Stable for one year after shipment. Aliquoting is unnecessary for -20oC storage. |
背景介绍
Keratins are a large family of proteins that form the intermediate filament cytoskeleton of epithelial cells. Keratin expression is highly regulated, tissue specific, and varies according to cell-state. Type I keratins consist of acidic, low molecular weight proteins with MW ranging from 40 kDa (KRT19) to 64 kDa (KRT9). Type 2 keratins consist of basic or neutral, high molecular weight proteins with MW from 52 kDa (KRT8) to 67 kDa (KRT18). Keratin 5, one 58-kD type II keratin, is coexpressed with a 50-kD keratin 14 in stratified squamous epithelia.





