WB Figures
WB analysis of A549 using 66727-1-Ig
A549 cells were subjected to SDS PAGE followed by western blot with 66727-1-Ig (Cytokeratin 5 antibody) at dilution of 1:100000 incubated at room temperature for 1.5 hours.
WB analysis using 66727-1-Ig
Various lysates were subjected to SDS PAGE followed by western blot with 66727-1-Ig (Cytokeratin 5 antibody) at dilution of 1:100000 incubated at room temperature for 1.5 hours.
WB analysis of MCF-7 using 66727-1-Ig
MCF-7 cells were subjected to SDS PAGE followed by western blot with 66727-1-Ig (Cytokeratin 5 antibody) at dilution of 1:100000 incubated at room temperature for 1.5 hours.
WB analysis of mouse skin using 66727-1-Ig
mouse skin tissue were subjected to SDS PAGE followed by western blot with 66727-1-Ig (Cytokeratin 5 antibody) at dilution of 1:100000 incubated at room temperature for 1.5 hours.
WB analysis of mouse skin using 66727-1-Ig
mouse skin tissue were subjected to SDS PAGE followed by western blot with 66727-1-Ig (Cytokeratin 5 antibody) at dilution of 1:50000 incubated at room temperature for 1.5 hours.
WB analysis of SKOV-3 using 66727-1-Ig
SKOV-3 cells were subjected to SDS PAGE followed by western blot with 66727-1-Ig (Cytokeratin 5 antibody) at dilution of 1:100000 incubated at room temperature for 1.5 hours.
IHC Figures
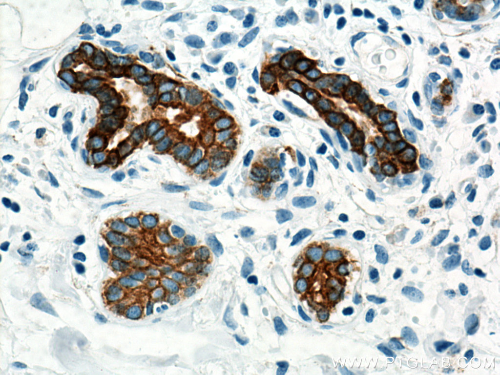
IHC staining of human breast cancer using 66727-1-Ig
Immunohistochemical analysis of paraffin-embedded human breast cancer tissue slide using 66727-1-Ig (Cytokeratin 5 antibody) at dilution of 1:6000 (under 40x lens. Heat mediated antigen retrieval with Tris-EDTA buffer (pH 9.0).
IHC staining of human breast cancer using 66727-1-Ig
Immunohistochemical analysis of paraffin-embedded human breast cancer tissue slide using 66727-1-Ig (Cytokeratin 5 antibody) at dilution of 1:6000 (under 10x lens. Heat mediated antigen retrieval with Tris-EDTA buffer (pH 9.0).
IHC staining of human breast cancer using 66727-1-Ig
Immunohistochemical analysis of paraffin-embedded human breast cancer tissue slide using 66727-1-Ig (Cytokeratin 5 antibody) at dilution of 1:10000 (under 10x lens). Heat mediated antigen retrieval with Tris-EDTA buffer (pH 9.0).
IHC staining of human breast cancer using 66727-1-Ig
Immunohistochemical analysis of paraffin-embedded human breast cancer tissue slide using 66727-1-Ig (Cytokeratin 5 antibody) at dilution of 1:10000 (under 40x lens). Heat mediated antigen retrieval with Tris-EDTA buffer (pH 9.0).
IHC staining of human breast cancer using 66727-1-Ig
Immunohistochemical analysis of paraffin-embedded human breast cancer tissue slide using 66727-1-Ig (Cytokeratin 5 antibody) at dilution of 1:6000 (under 10x lens. Heat mediated antigen retrieval with Tris-EDTA buffer (pH 9.0).
IHC staining of human breast cancer using 66727-1-Ig
Immunohistochemical analysis of paraffin-embedded human breast cancer tissue slide using 66727-1-Ig (Cytokeratin 5 antibody) at dilution of 1:6000 (under 40x lens. Heat mediated antigen retrieval with Tris-EDTA buffer (pH 9.0).
IHC staining of human breast hyperplasia using 66727-1-Ig
Immunohistochemical analysis of paraffin-embedded human breast hyperplasia tissue slide using 66727-1-Ig (Cytokeratin 5 antibody) at dilution of 1:6000 (under 10x lens. Heat mediated antigen retrieval with Tris-EDTA buffer (pH 9.0).
IHC staining of human breast hyperplasia using 66727-1-Ig
Immunohistochemical analysis of paraffin-embedded human breast hyperplasia tissue slide using 66727-1-Ig (Cytokeratin 5 antibody) at dilution of 1:6000 (under 40x lens. Heat mediated antigen retrieval with Tris-EDTA buffer (pH 9.0).
IHC staining of human breast hyperplasia using 66727-1-Ig
Immunohistochemical analysis of paraffin-embedded human breast hyperplasia tissue slide using 66727-1-Ig (Cytokeratin 5 antibody) at dilution of 1:6000 (under 40x lens. Heat mediated antigen retrieval with Tris-EDTA buffer (pH 9.0).
IHC staining of human breast hyperplasia using 66727-1-Ig
Immunohistochemical analysis of paraffin-embedded human breast hyperplasia tissue slide using 66727-1-Ig (Cytokeratin 5 antibody) at dilution of 1:6000 (under 10x lens. Heat mediated antigen retrieval with Tris-EDTA buffer (pH 9.0).
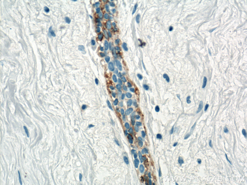
IHC staining of human cervical cancer using 66727-1-Ig
Immunohistochemical analysis of paraffin-embedded human cervical cancer tissue slide using 66727-1-Ig (Cytokeratin 5 antibody) at dilution of 1:3000 (under 10x lens. Heat mediated antigen retrieval with Tris-EDTA buffer (pH 9.0).
IHC staining of human cervical cancer using 66727-1-Ig
Immunohistochemical analysis of paraffin-embedded human cervical cancer tissue slide using 66727-1-Ig (Cytokeratin 5 antibody) at dilution of 1:3000 (under 40x lens. Heat mediated antigen retrieval with Tris-EDTA buffer (pH 9.0).
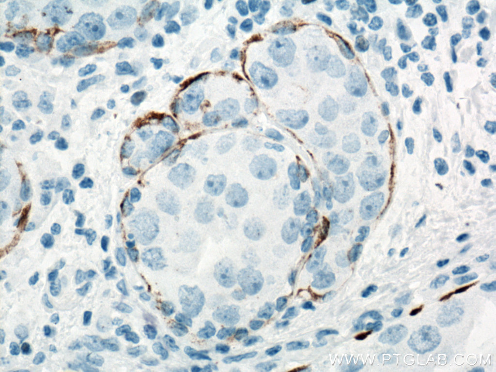
IHC staining of human liver using 66727-1-Ig
Immunohistochemical analysis of paraffin-embedded human liver tissue slide using 66727-1-Ig (Cytokeratin 5 antibody) at dilution of 1:10000 (under 10x lens) showing negative staining. Heat mediated antigen retrieval with Tris-EDTA buffer (pH 9.0).
IHC staining of human liver using 66727-1-Ig
Immunohistochemical analysis of paraffin-embedded human liver tissue slide using 66727-1-Ig (Cytokeratin 5 antibody) at dilution of 1:10000 (under 40x lens) showing negative staining. Heat mediated antigen retrieval with Tris-EDTA buffer (pH 9.0).
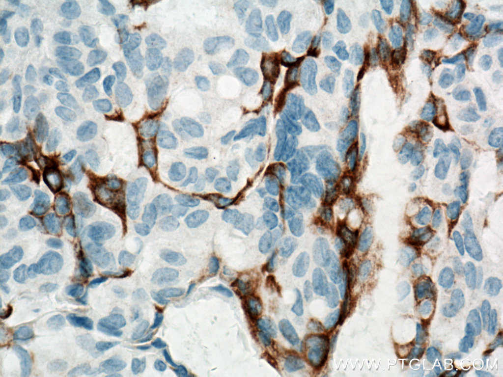
IHC staining of human lung cancer using 66727-1-Ig
Immunohistochemical analysis of paraffin-embedded human lung cancer tissue slide using 66727-1-Ig (Cytokeratin 5 antibody) at dilution of 1:6000 (under 10x lens. Heat mediated antigen retrieval with Tris-EDTA buffer (pH 9.0).
IHC staining of human lung cancer using 66727-1-Ig
Immunohistochemical analysis of paraffin-embedded human lung cancer tissue slide using 66727-1-Ig (Cytokeratin 5 antibody) at dilution of 1:6000 (under 40x lens. Heat mediated antigen retrieval with Tris-EDTA buffer (pH 9.0).
IHC staining of human oesophagus cancer using 66727-1-Ig
Immunohistochemical analysis of paraffin-embedded human oesophagus cancer tissue slide using 66727-1-Ig (Cytokeratin 5 antibody) at dilution of 1:2000 (under 10x lens). Heat mediated antigen retrieval with Tris-EDTA buffer (pH 9.0).
IHC staining of human oesophagus cancer using 66727-1-Ig
Immunohistochemical analysis of paraffin-embedded human oesophagus cancer tissue slide using 66727-1-Ig (Cytokeratin 5 antibody) at dilution of 1:10000 (under 10x lens). Heat mediated antigen retrieval with Tris-EDTA buffer (pH 9.0).
IHC staining of human oesophagus cancer using 66727-1-Ig
Immunohistochemical analysis of paraffin-embedded human oesophagus cancer tissue slide using 66727-1-Ig (Cytokeratin 5 antibody) at dilution of 1:10000 (under 40x lens). Heat mediated antigen retrieval with Tris-EDTA buffer (pH 9.0).
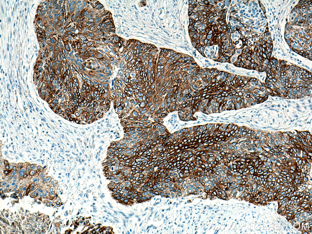
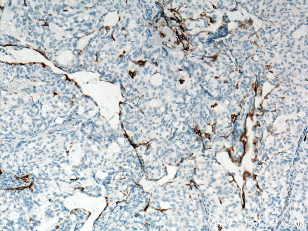
IHC staining of human skin cancer using 66727-1-Ig
Immunohistochemical analysis of paraffin-embedded human skin cancer tissue slide using 66727-1-Ig (Cytokeratin 5 antibody) at dilution of 1:6000 (under 10x lens). Heat mediated antigen retrieval with Tris-EDTA buffer (pH 9.0).
IHC staining of human skin cancer using 66727-1-Ig
Immunohistochemical analysis of paraffin-embedded human skin cancer tissue slide using 66727-1-Ig (Cytokeratin 5 antibody) at dilution of 1:6000 (under 40x lens). Heat mediated antigen retrieval with Tris-EDTA buffer (pH 9.0).
IHC staining of human skin cancer using 66727-1-Ig
Immunohistochemical analysis of paraffin-embedded human skin cancer tissue slide using 66727-1-Ig (Cytokeratin 5 antibody) at dilution of 1:6000 (under 40x lens). Heat mediated antigen retrieval with Tris-EDTA buffer (pH 9.0).
IHC staining of human skin cancer using 66727-1-Ig
Immunohistochemical analysis of paraffin-embedded human skin cancer tissue slide using 66727-1-Ig (Cytokeratin 5 antibody) at dilution of 1:6000 (under 40x lens). Heat mediated antigen retrieval with Tris-EDTA buffer (pH 9.0).
IHC staining of human tonsillitis using 66727-1-Ig
Immunohistochemical analysis of paraffin-embedded human tonsillitis tissue slide using 66727-1-Ig (Cytokeratin 5 antibody) at dilution of 1:10000 (under 20x lens). Heat mediated antigen retrieval with Tris-EDTA buffer (pH 9.0).
IHC staining of human tonsillitis using 66727-1-Ig
Immunohistochemical analysis of paraffin-embedded human tonsillitis tissue slide using 66727-1-Ig (Cytokeratin 5 antibody) at dilution of 1:10000 (under 20x lens). Heat mediated antigen retrieval with Tris-EDTA buffer (pH 9.0).
IF-P Figures
IF Staining of human lung cancer using 66727-1-Ig
Immunofluorescent analysis of (4% PFA) fixed paraffin-embedded human lung cancer tissue using Cytokeratin 5 antibody (66727-1-Ig, Clone: 1A1C5 ) at dilution of 1:400 and CoraLite®488-Conjugated Goat Anti-Mouse IgG(H+L) (SA00013-1). Heat mediated antigen retrieval with Tris-EDTA buffer (pH 9.0).
IF Staining of human lung cancer using 66727-1-Ig
Immunofluorescent analysis of (4% PFA) fixed paraffin-embedded human lung cancer tissue using Cytokeratin 5 antibody (66727-1-Ig, Clone: 1A1C5 ) at dilution of 1:400 and CoraLite®488-Conjugated Goat Anti-Mouse IgG(H+L) (SA00013-1). Heat mediated antigen retrieval with Tris-EDTA buffer (pH 9.0).
IF Staining of human oesophagus cancer using 66727-1-Ig
Immunofluorescent analysis of (4% PFA) fixed human oesophagus cancer tissue using Cytokeratin 5 antibody (66727-1-Ig, Clone: 1A1C5 ) at dilution of 1:400 and CoraLite®488-Conjugated AffiniPure Goat Anti-Mouse IgG(H+L).
IF Staining of human oesophagus cancer using 66727-1-Ig
Immunofluorescent analysis of (4% PFA) fixed human oesophagus cancer tissue using Cytokeratin 5 antibody (66727-1-Ig, Clone: 1A1C5 ) at dilution of 1:400 and CoraLite®488-Conjugated AffiniPure Goat Anti-Mouse IgG(H+L).
IF Staining of human oesophagus cancer using 66727-1-Ig
Immunofluorescent analysis of (4% PFA) fixed human oesophagus cancer tissue using Cytokeratin 5 antibody (66727-1-Ig, Clone: 1A1C5 ) at dilution of 1:400 and CoraLite®488-Conjugated AffiniPure Goat Anti-Mouse IgG(H+L).
IF Staining of human oesophagus cancer using 66727-1-Ig
Immunofluorescent analysis of (4% PFA) fixed human oesophagus cancer tissue using Cytokeratin 5 antibody (66727-1-Ig, Clone: 1A1C5 ) at dilution of 1:400 and CoraLite®488-Conjugated AffiniPure Goat Anti-Mouse IgG(H+L).
IF Staining of human prostate cancer using 66727-1-Ig
Immunofluorescent analysis of (4% PFA) fixed human prostate cancer tissue using Cytokeratin 5 antibody (66727-1-Ig, Clone: 1A1C5 ) at dilution of 1:400 and CoraLite®488-Conjugated AffiniPure Goat Anti-Mouse IgG(H+L).
IF Staining of human prostate cancer using 66727-1-Ig
Immunofluorescent analysis of (4% PFA) fixed human prostate cancer tissue using Cytokeratin 5 antibody (66727-1-Ig, Clone: 1A1C5 ) at dilution of 1:400 and CoraLite®488-Conjugated AffiniPure Goat Anti-Mouse IgG(H+L).