WB Figures
WB analysis using 66187-1-Ig (same clone as 66187-1-PBS)
Various lysates were subjected to SDS PAGE followed by western blot with 66187-1-Ig (Cytokeratin 18 antibody) at dilution of 1:100000 incubated at room temperature for 1.5 hours. This data was developed using the same antibody clone with 66187-1-PBS in a different storage buffer formulation.
WB analysis of HeLa using 66187-1-Ig (same clone as 66187-1-PBS)
WB result of Cytokeratin 18 antibody (66187-1-Ig; 1:1000; incubated at room temperature for 1.5 hours) with sh-Control and sh-Cytokeratin 18 transfected HeLa cells. This data was developed using the same antibody clone with 66187-1-PBS in a different storage buffer formulation.
WB analysis of pig skin using 66187-1-Ig (same clone as 66187-1-PBS)
pig skin tissue were subjected to SDS PAGE followed by western blot with 66187-1-Ig (Cytokeratin 18 antibody) at dilution of 1:50000 incubated at room temperature for 1.5 hours. This data was developed using the same antibody clone with 66187-1-PBS in a different storage buffer formulation.
IHC staining of human breast cancer using 66187-1-Ig (same clone as 66187-1-PBS)
Immunohistochemical analysis of paraffin-embedded human breast cancer tissue slide using 66187-1-Ig (Cytokeratin 18 antibody) at dilution of 1:2400 (under 10x lens). Heat mediated antigen retrieval with Tris-EDTA buffer (pH 9.0). This data was developed using the same antibody clone with 66187-1-PBS in a different storage buffer formulation.
IHC staining of human breast cancer using 66187-1-Ig (same clone as 66187-1-PBS)
Immunohistochemical analysis of paraffin-embedded human breast cancer tissue slide using 66187-1-Ig (Cytokeratin 18 antibody) at dilution of 1:2400 (under 40x lens). Heat mediated antigen retrieval with Tris-EDTA buffer (pH 9.0). This data was developed using the same antibody clone with 66187-1-PBS in a different storage buffer formulation.
IHC staining of human colon cancer using 66187-1-Ig (same clone as 66187-1-PBS)
Immunohistochemical analysis of paraffin-embedded human colon cancer tissue slide using 66187-1-Ig (Cytokeratin 18 antibody) at dilution of 1:1000 (under 10x lens. Heat mediated antigen retrieval with Tris-EDTA buffer (pH 9.0). This data was developed using the same antibody clone with 66187-1-PBS in a different storage buffer formulation.
IHC staining of human colon cancer using 66187-1-Ig (same clone as 66187-1-PBS)
Immunohistochemical analysis of paraffin-embedded human colon cancer tissue slide using 66187-1-Ig (Cytokeratin 18 antibody) at dilution of 1:1000 (under 40x lens. Heat mediated antigen retrieval with Tris-EDTA buffer (pH 9.0). This data was developed using the same antibody clone with 66187-1-PBS in a different storage buffer formulation.
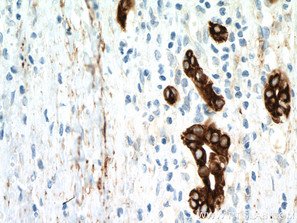
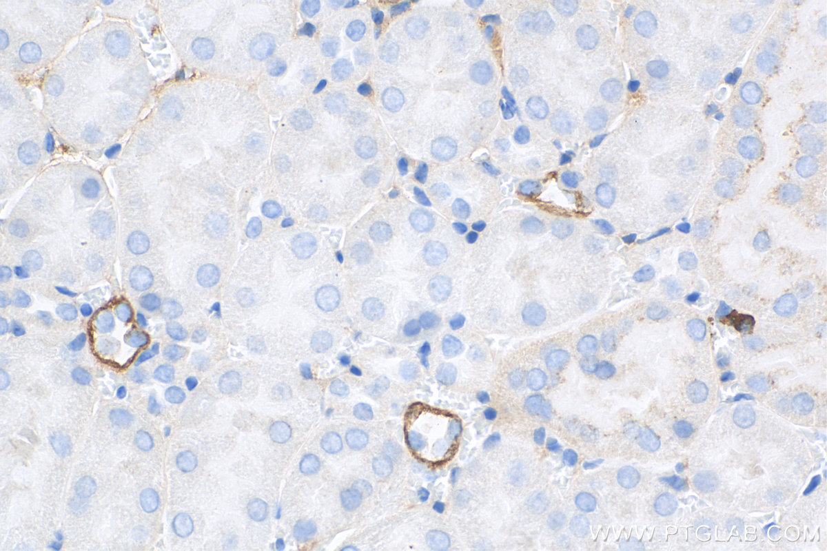
IHC staining of human kidney using 66187-1-Ig (same clone as 66187-1-PBS)
Immunohistochemical analysis of paraffin-embedded human kidney tissue slide using 66187-1-Ig (Cytokeratin 18 antibody at dilution of 1:1200 (under 10x lens). Heat mediated antigen retrieved with Citric acid buffer, pH6.0. This data was developed using the same antibody clone with 66187-1-PBS in a different storage buffer formulation.
IHC staining of human kidney using 66187-1-Ig (same clone as 66187-1-PBS)
Immunohistochemical analysis of paraffin-embedded human kidney tissue slide using 66187-1-Ig (Cytokeratin 18 antibody at dilution of 1:1200 (under 40x lens). Heat mediated antigen retrieved with Citric acid buffer, pH6.0. This data was developed using the same antibody clone with 66187-1-PBS in a different storage buffer formulation.
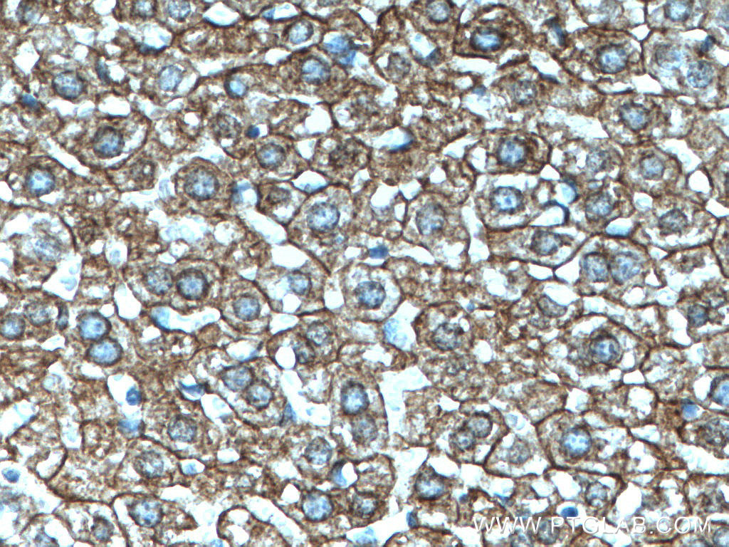
IHC staining of human liver using 66187-1-Ig (same clone as 66187-1-PBS)
Immunohistochemical analysis of paraffin-embedded human liver tissue slide using 66187-1-Ig (Cytokeratin 18 antibody) at dilution of 1:2400 (under 10x lens). Heat mediated antigen retrieval with Tris-EDTA buffer (pH 9.0). This data was developed using the same antibody clone with 66187-1-PBS in a different storage buffer formulation.
IHC staining of human liver using 66187-1-Ig (same clone as 66187-1-PBS)
Immunohistochemical analysis of paraffin-embedded human liver tissue slide using 66187-1-Ig (Cytokeratin 18 antibody) at dilution of 1:1 (under 40x lens). Heat mediated antigen retrieval with Tris-EDTA buffer (pH 9.0). This data was developed using the same antibody clone with 66187-1-PBS in a different storage buffer formulation.
IHC staining of human liver using 66187-1-Ig (same clone as 66187-1-PBS)
Immunohistochemical analysis of paraffin-embedded human liver tissue slide using 66187-1-Ig (Cytokeratin 18 antibody) at dilution of 1:2400 (under 10x lens). Heat mediated antigen retrieval with Tris-EDTA buffer (pH 9.0). This data was developed using the same antibody clone with 66187-1-PBS in a different storage buffer formulation.
IHC staining of human liver using 66187-1-Ig (same clone as 66187-1-PBS)
Immunohistochemical analysis of paraffin-embedded human liver tissue slide using 66187-1-Ig (Cytokeratin 18 antibody) at dilution of 1:2400 (under 40x lens). Heat mediated antigen retrieval with Tris-EDTA buffer (pH 9.0). This data was developed using the same antibody clone with 66187-1-PBS in a different storage buffer formulation.
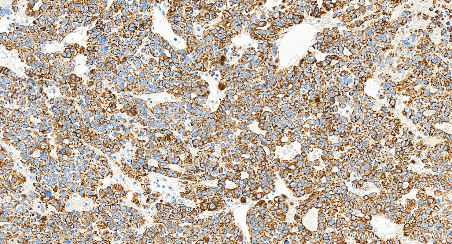
IHC staining of human lung cancer using 66187-1-Ig (same clone as 66187-1-PBS)
Immunohistochemical analysis of paraffin-embedded human lung cancer tissue slide using 66187-1-Ig (Cytokeratin 18 antibody) at dilution of 1:1000 (under 10x lens. Heat mediated antigen retrieval with Tris-EDTA buffer (pH 9.0). This data was developed using the same antibody clone with 66187-1-PBS in a different storage buffer formulation.
IHC staining of human lung cancer using 66187-1-Ig (same clone as 66187-1-PBS)
Immunohistochemical analysis of paraffin-embedded human lung cancer tissue slide using 66187-1-Ig (Cytokeratin 18 antibody) at dilution of 1:1000 (under 40x lens. Heat mediated antigen retrieval with Tris-EDTA buffer (pH 9.0). This data was developed using the same antibody clone with 66187-1-PBS in a different storage buffer formulation.
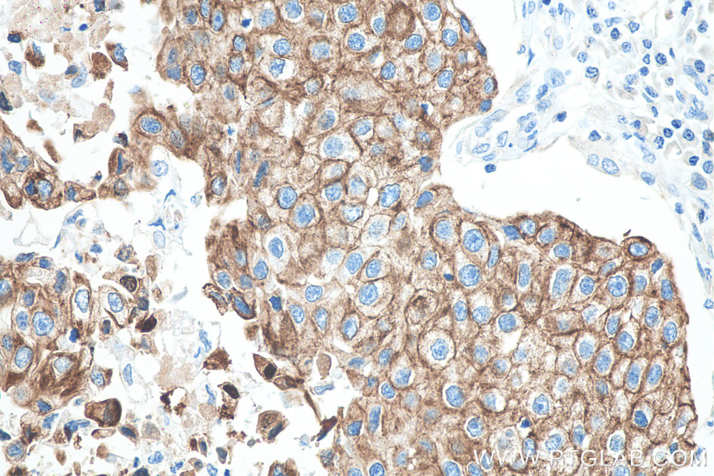
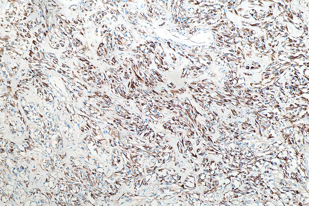
IHC staining of human renal cell carcinoma using 66187-1-Ig (same clone as 66187-1-PBS)
Immunohistochemical analysis of paraffin-embedded human renal cell carcinoma tissue slide using 66187-1-Ig (Cytokeratin 18 antibody) at dilution of 1:2400 (under 10x lens). Heat mediated antigen retrieval with Tris-EDTA buffer (pH 9.0). This data was developed using the same antibody clone with 66187-1-PBS in a different storage buffer formulation.
IHC staining of human renal cell carcinoma using 66187-1-Ig (same clone as 66187-1-PBS)
Immunohistochemical analysis of paraffin-embedded human renal cell carcinoma tissue slide using 66187-1-Ig (Cytokeratin 18 antibody) at dilution of 1:2400 (under 40x lens). Heat mediated antigen retrieval with Tris-EDTA buffer (pH 9.0). This data was developed using the same antibody clone with 66187-1-PBS in a different storage buffer formulation.
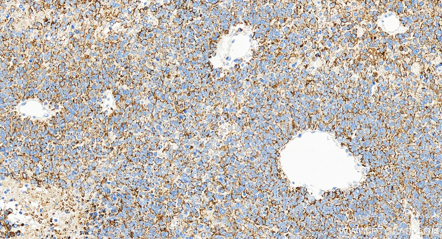
IHC staining of human tonsillitis using 66187-1-Ig (same clone as 66187-1-PBS)
Immunohistochemical analysis of paraffin-embedded human tonsillitis tissue slide using 66187-1-Ig (Cytokeratin 18 antibody) at dilution of 1:3200 (under 40x lens. Heat mediated antigen retrieval with Tris-EDTA buffer (pH 9.0). This data was developed using the same antibody clone with 66187-1-PBS in a different storage buffer formulation.
IHC staining of human tonsillitis using 66187-1-Ig (same clone as 66187-1-PBS)
Immunohistochemical analysis of paraffin-embedded human tonsillitis tissue slide using 66187-1-Ig (Cytokeratin 18 antibody) at dilution of 1:3200 (under 10x lens. Heat mediated antigen retrieval with Tris-EDTA buffer (pH 9.0). This data was developed using the same antibody clone with 66187-1-PBS in a different storage buffer formulation.
IHC staining of mouse liver using 66187-1-Ig (same clone as 66187-1-PBS)
Immunohistochemical analysis of paraffin-embedded mouse liver tissue slide using 66187-1-Ig (Cytokeratin 18 antibody) at dilution of 1:1000 (under 40x lens). Heat mediated antigen retrieval with Tris-EDTA buffer (pH 9.0). This data was developed using the same antibody clone with 66187-1-PBS in a different storage buffer formulation.
IHC staining of mouse liver using 66187-1-Ig (same clone as 66187-1-PBS)
Immunohistochemical analysis of paraffin-embedded mouse liver tissue slide using 66187-1-Ig (Cytokeratin 18 antibody) at dilution of 1:1000 (under 10x lens). Heat mediated antigen retrieval with Tris-EDTA buffer (pH 9.0). This data was developed using the same antibody clone with 66187-1-PBS in a different storage buffer formulation.
IHC staining of rat liver using 66187-1-Ig (same clone as 66187-1-PBS)
Immunohistochemical analysis of paraffin-embedded rat liver tissue slide using 66187-1-Ig (Cytokeratin 18 antibody) at dilution of 1:2000 (under 40x lens. Heat mediated antigen retrieval with Tris-EDTA buffer (pH 9.0). This data was developed using the same antibody clone with 66187-1-PBS in a different storage buffer formulation.
IHC staining of rat liver using 66187-1-Ig (same clone as 66187-1-PBS)
Immunohistochemical analysis of paraffin-embedded rat liver tissue slide using 66187-1-Ig (Cytokeratin 18 antibody) at dilution of 1:2000 (under 10x lens. Heat mediated antigen retrieval with Tris-EDTA buffer (pH 9.0). This data was developed using the same antibody clone with 66187-1-PBS in a different storage buffer formulation.
IF/ICC Figures
IF Staining of A549 using 66187-1-Ig (same clone as 66187-1-PBS)
Immunofluorescent analysis of (4% PFA) fixed A549 cells using Cytokeratin 18 antibody (66187-1-Ig, Clone: 1G11C4 ) at dilution of 1:400 and CoraLite®488-Conjugated AffiniPure Goat Anti-Mouse IgG(H+L), CL594-Phalloidin (red). This data was developed using the same antibody clone with 66187-1-PBS in a different storage buffer formulation.
IF Staining of HeLa using 66187-1-Ig (same clone as 66187-1-PBS)
Immunofluorescent analysis of (-20°C Methanol) fixed HeLa cells using Cytokeratin 18 antibody (66187-1-Ig, Clone: 1G11C4 ) at dilution of 1:800 and CoraLite®488-Conjugated AffiniPure Goat Anti-Mouse IgG(H+L). This data was developed using the same antibody clone with 66187-1-PBS in a different storage buffer formulation.
IF Staining of HeLa using 66187-1-Ig (same clone as 66187-1-PBS)
Immunofluorescent analysis of (-20°C Ethanol) fixed HeLa cells using Cytokeratin 18 antibody (66187-1-Ig, Clone: 1G11C4 ) at dilution of 1:400 and CoraLite®488-Conjugated Goat Anti-Mouse IgG(H+L) (SA00013-1). This data was developed using the same antibody clone with 66187-1-PBS in a different storage buffer formulation.
IF Staining of HUVEC using 66187-1-Ig (same clone as 66187-1-PBS)
Immunofluorescent analysis of (-20°C Ethanol) fixed HUVEC cells using Cytokeratin 18 antibody (66187-1-Ig, Clone: 1G11C4 ) at dilution of 1:800 and CoraLite®488-Conjugated AffiniPure Goat Anti-Mouse IgG(H+L). This data was developed using the same antibody clone with 66187-1-PBS in a different storage buffer formulation.