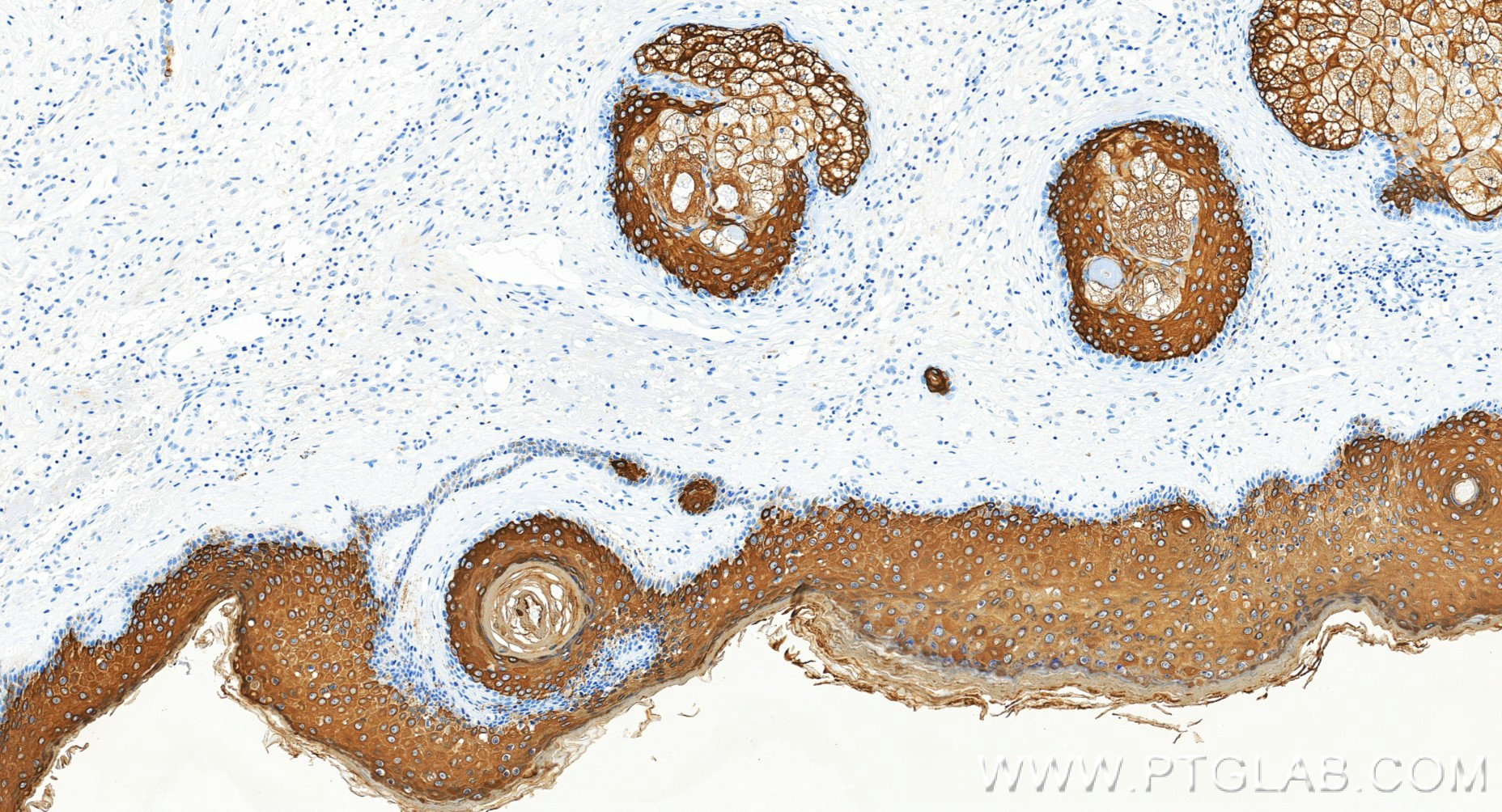
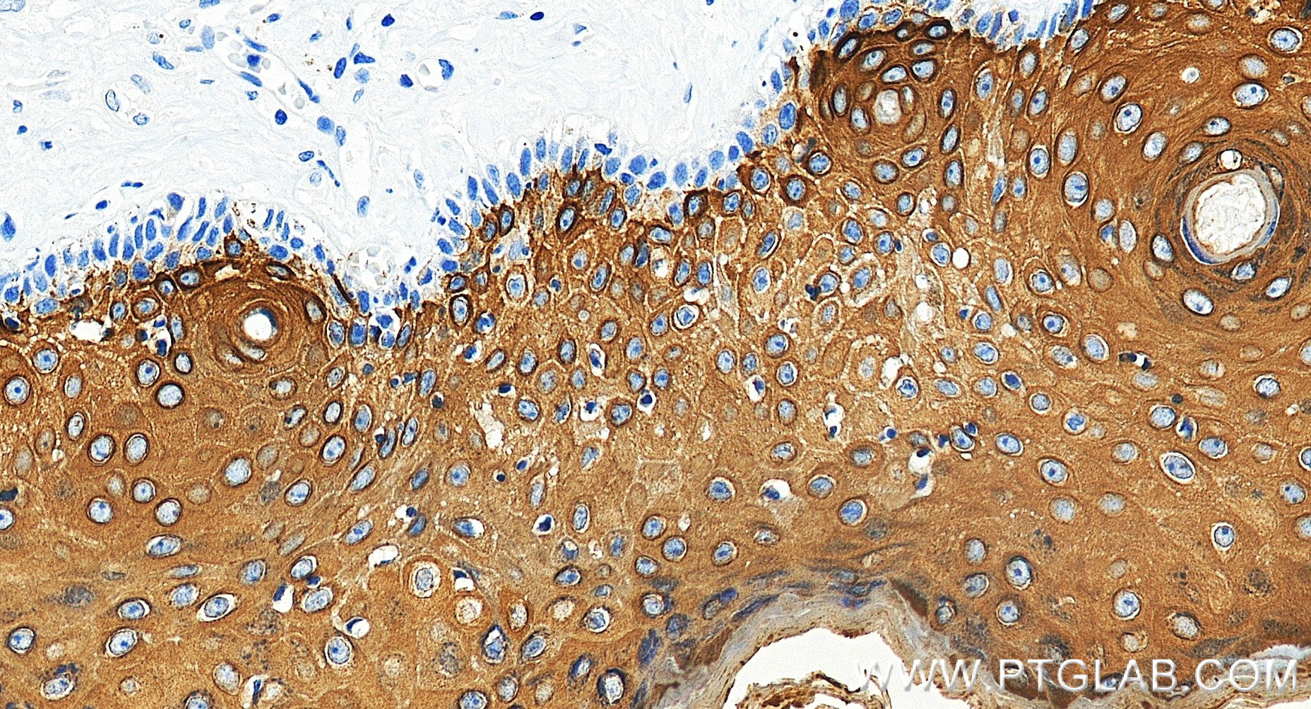
验证数据展示
经过测试的应用
| Positive WB detected in | mouse skin tissue, rat skin tissue |
| Positive IHC detected in | human skin tissue, human skin cancer tissue Note: suggested antigen retrieval with TE buffer pH 9.0; (*) Alternatively, antigen retrieval may be performed with citrate buffer pH 6.0 |
| Positive IF-P detected in | mouse skin tissue |
推荐稀释比
| 应用 | 推荐稀释比 |
|---|---|
| Western Blot (WB) | WB : 1:5000-1:50000 |
| Immunohistochemistry (IHC) | IHC : 1:2000-1:8000 |
| Immunofluorescence (IF)-P | IF-P : 1:50-1:500 |
| It is recommended that this reagent should be titrated in each testing system to obtain optimal results. | |
| Sample-dependent, Check data in validation data gallery. | |
产品信息
86324-1-RR targets Cytokeratin 10 in WB, IHC, IF-P, ELISA applications and shows reactivity with human, mouse, rat samples.
| 经测试应用 | WB, IHC, IF-P, ELISA Application Description |
| 经测试反应性 | human, mouse, rat |
| 免疫原 |
Peptide 种属同源性预测 |
| 宿主/亚型 | Rabbit / IgG |
| 抗体类别 | Recombinant |
| 产品类型 | Antibody |
| 全称 | keratin 10 |
| 别名 | KRT10, CK 10, CK10, CK-10, Cytokeratin,Keratin |
| 计算分子量 | 584 aa, 59 kDa |
| 观测分子量 | 59 kDa |
| GenBank蛋白编号 | BC034697 |
| 基因名称 | Cytokeratin 10 |
| Gene ID (NCBI) | 3858 |
| 偶联类型 | Unconjugated |
| 形式 | Liquid |
| 纯化方式 | Protein A purification |
| UNIPROT ID | P13645 |
| 储存缓冲液 | PBS with 0.02% sodium azide and 50% glycerol, pH 7.3. |
| 储存条件 | Store at -20°C. Stable for one year after shipment. Aliquoting is unnecessary for -20oC storage. |
背景介绍
Cytokeratin 10 (CK-10, K10, KRT10) is a type I (acidic) cytokeratin and part of the intermediate filament protein superfamily. It is expressed in keratinized stratified epithelium, suprabasal cell layers (including the stratum corneum), and differentiated areas of highly differentiated squamous cell carcinomas. CK-10 plays a role in maintaining the structural integrity of epithelial cells and is involved in differentiation, tissue specialization, and epidermal barrier establishment. Mutations in the KRT10 gene are associated with epidermolytic hyperkeratosis, and its expression is linked to the terminal differentiation of epidermal cells . CK-10 is also used as a marker for tissue differentiation and characterization of malignant tumors in surgical pathology.
实验方案
| Product Specific Protocols | |
|---|---|
| IF protocol for Cytokeratin 10 antibody 86324-1-RR | Download protocol |
| IHC protocol for Cytokeratin 10 antibody 86324-1-RR | Download protocol |
| WB protocol for Cytokeratin 10 antibody 86324-1-RR | Download protocol |
| Standard Protocols | |
|---|---|
| Click here to view our Standard Protocols |






