验证数据展示
经过测试的应用
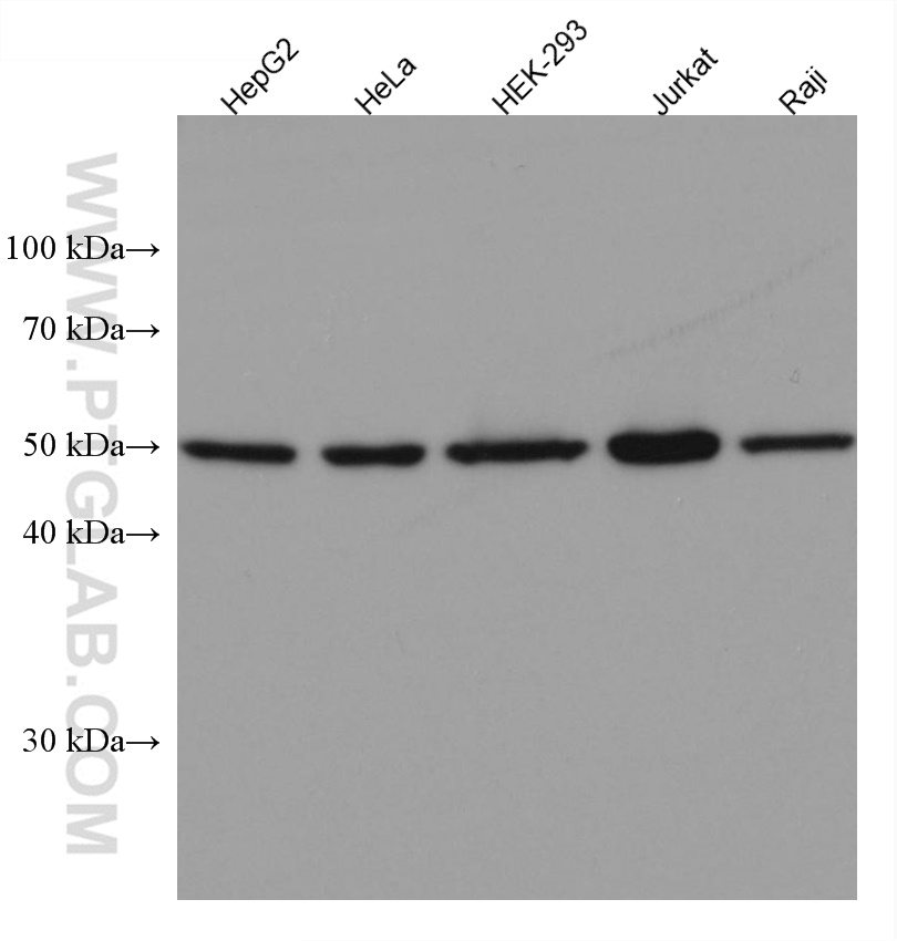
| Positive WB detected in | HepG2 cells, HeLa cells, HEK-293 cells, Jurkat cells, Raji cells |
| Positive IHC detected in | human tonsillitis tissue Note: suggested antigen retrieval with TE buffer pH 9.0; (*) Alternatively, antigen retrieval may be performed with citrate buffer pH 6.0 |
| Positive IF/ICC detected in | HeLa cells, MCF-7 cells |
推荐稀释比
| 应用 | 推荐稀释比 |
|---|---|
| Western Blot (WB) | WB : 1:2000-1:10000 |
| Immunohistochemistry (IHC) | IHC : 1:1000-1:4000 |
| Immunofluorescence (IF)/ICC | IF/ICC : 1:50-1:500 |
| It is recommended that this reagent should be titrated in each testing system to obtain optimal results. | |
| Sample-dependent, Check data in validation data gallery. | |
产品信息
66391-1-Ig targets Cyclin A2 in WB, IHC, IF/ICC, ELISA applications and shows reactivity with human samples.
| 经测试应用 | WB, IHC, IF/ICC, ELISA Application Description |
| 文献引用应用 | WB, IHC, IF |
| 经测试反应性 | human |
| 文献引用反应性 | human, mouse, rat |
| 免疫原 |
CatNo: Ag12765 Product name: Recombinant human Cyclin A2 protein Source: e coli.-derived, PGEX-4T Tag: GST Domain: 1-432 aa of BC104783 Sequence: MLGNSAPGPATREAGSALLALQQTALQEDQENINPEKAAPVQQPRTRAALAVLKSGNPRGLAQQQRPKTRRVAPLKDLPVNDEHVTVPPWKANSKQPAFTIHVDEAEKEAQKKPAESQKIEREDALAFNSAISLPGPRKPLVPLDYPMDGSFESPHTMDMSIVLEDEKPVSVNEVPDYHEDIHTYLREMEVKCKPKVGYMKKQPDITNSMRAILVDWLVEVGEEYKLQNETLHLAVNYIDRFLSSMSVLRGKLQLVGTAAMLLASKFEEIYPPEVAEFVYITDDTYTKKQVLRMEHLVLKVLTFDLAAPTVNQFLTQYFLHQQPANCKVESLAMFLGELSLIDADPYLKYLPSVIAGAAFHLALYTVTGQSWPESLIRKTGYTLESLKPCLMDLHQTYLKAPQHAQQSIREKYKNSKYHGVSLLNPPETLNL 种属同源性预测 |
| 宿主/亚型 | Mouse / IgG2a |
| 抗体类别 | Monoclonal |
| 产品类型 | Antibody |
| 全称 | cyclin A2 |
| 别名 | CCN1, CCNA, CCNA2, Cyclin A, Cyclin A2, cyclinA2 |
| 计算分子量 | 432 aa, 49 kDa |
| 观测分子量 | 52 kDa |
| GenBank蛋白编号 | BC104783 |
| 基因名称 | Cyclin A2 |
| Gene ID (NCBI) | 890 |
| RRID | AB_2881767 |
| 偶联类型 | Unconjugated |
| 形式 | Liquid |
| 纯化方式 | Protein A purification |
| UNIPROT ID | P20248 |
| 储存缓冲液 | PBS with 0.02% sodium azide and 50% glycerol, pH 7.3. |
| 储存条件 | Store at -20°C. Stable for one year after shipment. Aliquoting is unnecessary for -20oC storage. |
背景介绍
CCNA2 belongs to the highly conserved cyclin family, whose members are characterized by a dramatic periodicity in protein abundance through the cell cycle. Cyclins function as regulators of CDK kinases. Different cyclins exhibit distinct expression and degradation patterns which contribute to the temporal coordination of each mitotic event. In contrast to cyclin A1, which is present only in germ cells, this cyclin is expressed in all tissues tested. CCNA2 binds and activates CDC2 or CDK2 kinases, and thus promotes both cell cycle G1/S and G2/M transitions.
实验方案
| Product Specific Protocols | |
|---|---|
| IF protocol for Cyclin A2 antibody 66391-1-Ig | Download protocol |
| IHC protocol for Cyclin A2 antibody 66391-1-Ig | Download protocol |
| WB protocol for Cyclin A2 antibody 66391-1-Ig | Download protocol |
| Standard Protocols | |
|---|---|
| Click here to view our Standard Protocols |
发表文章
| Species | Application | Title |
|---|---|---|
Dev Cell Cell cycle regulation of ER membrane biogenesis protects against chromosome missegregation. | ||
Oncogene KCTD12 promotes tumorigenesis by facilitating CDC25B/CDK1/Aurora A-dependent G2/M transition. | ||
Elife METTL3 promotes homologous recombination repair and modulates chemotherapeutic response in breast cancer by regulating the EGF/RAD51 axis. | ||
J Cell Mol Med Cell division cycle associated 8: A novel diagnostic and prognostic biomarker for hepatocellular carcinoma | ||
Cell Cycle Enterovirus 71 mediates cell cycle arrest in S phase through non-structural protein 3D. | ||
Molecules A Potential Anti-Glioblastoma Compound LH20 Induces Apoptosis and Arrest of Human Glioblastoma Cells via CDK4/6 Inhibition |





