验证数据展示
经过测试的应用
| Positive WB detected in | rat heart tissue, human liver tissue, PC-3 cells, mouse heart tissue |
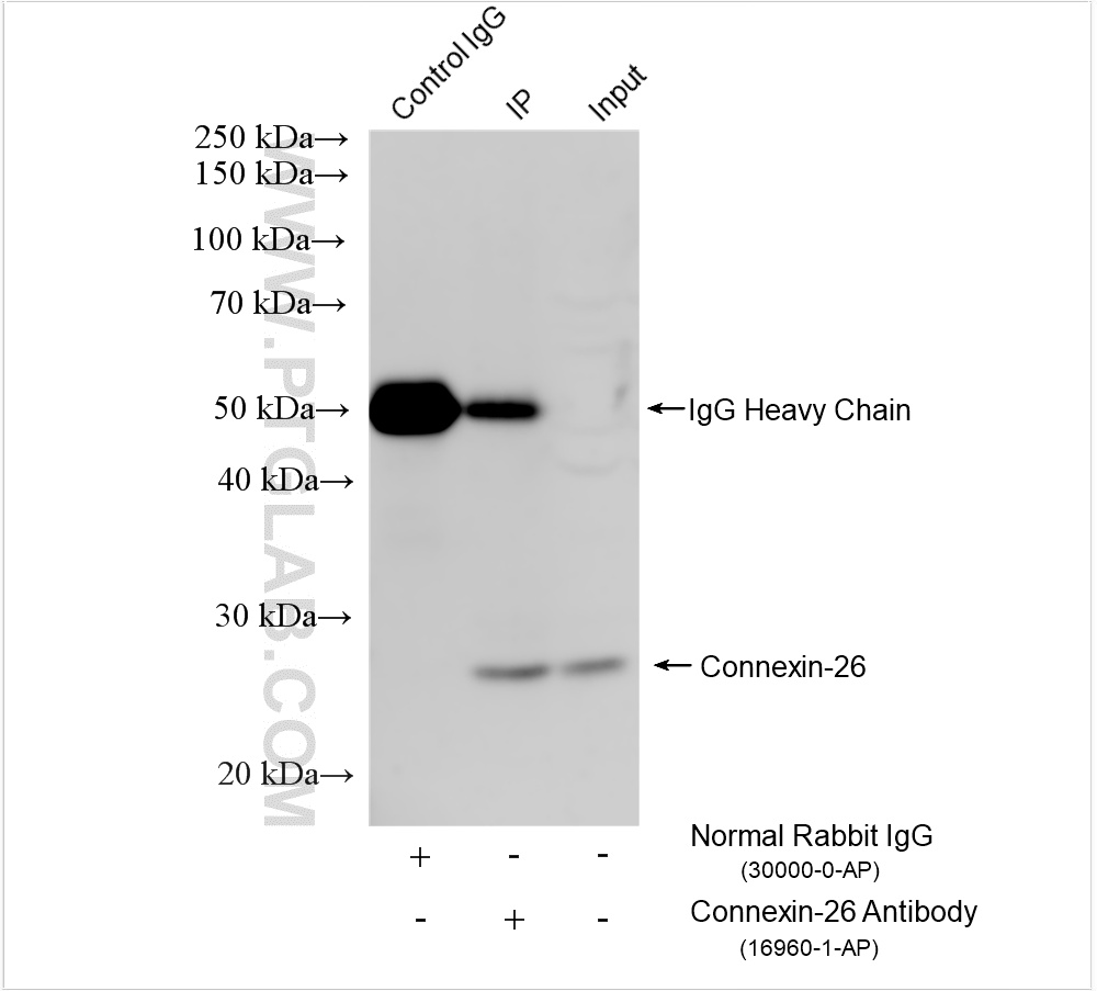
| Positive IP detected in | PC-3 cells |
| Positive IF/ICC detected in | PC-3 cells |
推荐稀释比
| 应用 | 推荐稀释比 |
|---|---|
| Western Blot (WB) | WB : 1:1000-1:6000 |
| Immunoprecipitation (IP) | IP : 0.5-4.0 ug for 1.0-3.0 mg of total protein lysate |
| Immunofluorescence (IF)/ICC | IF/ICC : 1:50-1:500 |
| It is recommended that this reagent should be titrated in each testing system to obtain optimal results. | |
| Sample-dependent, Check data in validation data gallery. | |
产品信息
16960-1-AP targets Connexin-26 in WB, IF/ICC, IP, ELISA applications and shows reactivity with human, mouse, rat samples.
| 经测试应用 | WB, IF/ICC, IP, ELISA Application Description |
| 文献引用应用 | WB, IF |
| 经测试反应性 | human, mouse, rat |
| 文献引用反应性 | human |
| 免疫原 |
CatNo: Ag10666 Product name: Recombinant human Connexin-26 protein Source: e coli.-derived, PET28a Tag: 6*His Domain: 1-226 aa of BC017048 Sequence: MDWGTLQTILGGVNKHSTSIGKIWLTVLFIFRIMILVVAAKEVWGDEQADFVCNTLQPGCKNVCYDHYFPISHIRLWALQLIFVSTPALLVAMHVAYRRHEKKRKFIKGEIKSEFKDIEEIKTQKVRIEGSLWWTYTSSIFFRVIFEAAFMYVFYVMYDGFSMQRLVKCNAWPCPNTVDCFVSRPTEKTVFTVFMIAVSGICILLNVTELCYLLIRYCSGKSKKPV 种属同源性预测 |
| 宿主/亚型 | Rabbit / IgG |
| 抗体类别 | Polyclonal |
| 产品类型 | Antibody |
| 全称 | gap junction protein, beta 2, 26kDa |
| 别名 | GJB2, Connexin 26, CX26, DFNA3, DFNA3A |
| 计算分子量 | 26 kDa |
| 观测分子量 | 26 kDa |
| GenBank蛋白编号 | BC017048 |
| 基因名称 | Connexin-26 |
| Gene ID (NCBI) | 2706 |
| RRID | AB_2110782 |
| 偶联类型 | Unconjugated |
| 形式 | Liquid |
| 纯化方式 | Antigen affinity purification |
| UNIPROT ID | P29033 |
| 储存缓冲液 | PBS with 0.02% sodium azide and 50% glycerol, pH 7.3. |
| 储存条件 | Store at -20°C. Stable for one year after shipment. Aliquoting is unnecessary for -20oC storage. |
背景介绍
The gap junctions were first characterized by electron microscopy as regionally specialized structures on plasma membranes of contacting adherent cells. These structures were shown to consist of cell-to-cell channels that facilitate the transfer of ions and small molecules between cells. The gap junction proteins, also known as connexins, purified from fractions of enriched gap junctions from different tissues differ. According to sequence similarities at the nucleotide and amino acid levels, the gap junction proteins are divided into two categories, alpha and beta. Connexin-26 (GJB2) is a beta class gap junction protein. Mutations in the gene for connexin-26 are responsible for as much as 50% of pre-lingual, recessive deafness.
实验方案
| Product Specific Protocols | |
|---|---|
| IF protocol for Connexin-26 antibody 16960-1-AP | Download protocol |
| IP protocol for Connexin-26 antibody 16960-1-AP | Download protocol |
| WB protocol for Connexin-26 antibody 16960-1-AP | Download protocol |
| Standard Protocols | |
|---|---|
| Click here to view our Standard Protocols |
发表文章
| Species | Application | Title |
|---|---|---|
Oncol Res Microenvironment Analysis of Prognosis and Molecular Signature of Immune-Related Genes in Lung Adenocarcinoma. | ||
Cell Commun Signal Repression of Connexin26 hemichannel activity protects the barrier function of respiratory airway epithelial cells against LPS-induced alteration | ||
Front Cell Dev Biol Integrative analysis of EMT-driving genes identifies a prognostic signature and GJB2 as a potential biomarker in glioblastoma.
| ||
Mol Med Rep Molecular hydrogen accelerates the reversal of acute obstructive cholangitis‑induced liver dysfunction by restoring gap and tight junctions. |



