验证数据展示
经过测试的应用
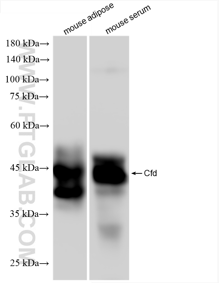
| Positive WB detected in | mouse adipose tissue, mouse serum |
推荐稀释比
| 应用 | 推荐稀释比 |
|---|---|
| Western Blot (WB) | WB : 1:2000-1:10000 |
| It is recommended that this reagent should be titrated in each testing system to obtain optimal results. | |
| Sample-dependent, Check data in validation data gallery. | |
产品信息
85643-4-RR targets Complement factor D in WB, ELISA applications and shows reactivity with mouse samples.
| 经测试应用 | WB, ELISA Application Description |
| 经测试反应性 | mouse |
| 免疫原 |
Recombinant protein 种属同源性预测 |
| 宿主/亚型 | Rabbit / IgG |
| 抗体类别 | Recombinant |
| 产品类型 | Antibody |
| 全称 | complement factor D (adipsin) |
| 别名 | 28 kDa adipocyte protein, Adipsin, Adn, C3 convertase activator, Cfd |
| 计算分子量 | 28 kDa |
| 观测分子量 | 40-50 kDa |
| GenBank蛋白编号 | NM_013459.4 |
| 基因名称 | Cfd |
| Gene ID (NCBI) | 11537 |
| 偶联类型 | Unconjugated |
| 形式 | Liquid |
| 纯化方式 | Protein A purification |
| UNIPROT ID | P03953-1 |
| 储存缓冲液 | PBS with 0.02% sodium azide and 50% glycerol, pH 7.3. |
| 储存条件 | Store at -20°C. Stable for one year after shipment. Aliquoting is unnecessary for -20oC storage. |
背景介绍
Complement factor D, also known as adipsin, is a highly specific serine protease. Complement factor D is the rate-limiting enzyme in the alternative pathway of complement. It activates C3 convertase by cleaving factor B, which is a key step in the alternative pathway. Complement factor D catalyzes the cleavage of factor B to generate Ba (non-catalytic chain) and Bb (active catalytic subunit), which together with C3(H2O) (or C3b) constitute the active C3 convertase C3(H2O)Bb (or C3bBb). (PMID: 34566967; PMID: 27775713).
实验方案
| Product Specific Protocols | |
|---|---|
| WB protocol for Complement factor D antibody 85643-4-RR | Download protocol |
| Standard Protocols | |
|---|---|
| Click here to view our Standard Protocols |
