验证数据展示
产品信息
86447-1-PBS targets Chromogranin A as part of a matched antibody pair:
MP02444-1: 86447-1-PBS capture and 86447-2-PBS detection (validated in Cytometric bead array)
Unconjugated rabbit recombinant monoclonal antibody in PBS only (BSA and azide free) storage buffer at a concentration of 1 mg/mL, ready for conjugation. Created using Proteintech’s proprietary in-house recombinant technology. Recombinant production enables unrivalled batch-to-batch consistency, easy scale-up, and future security of supply.
This conjugation ready format makes antibodies ideal for use in many applications including: ELISAs, multiplex assays requiring matched pairs, mass cytometry, and multiplex imaging applications.Antibody use should be optimized by the end user for each application and assay.
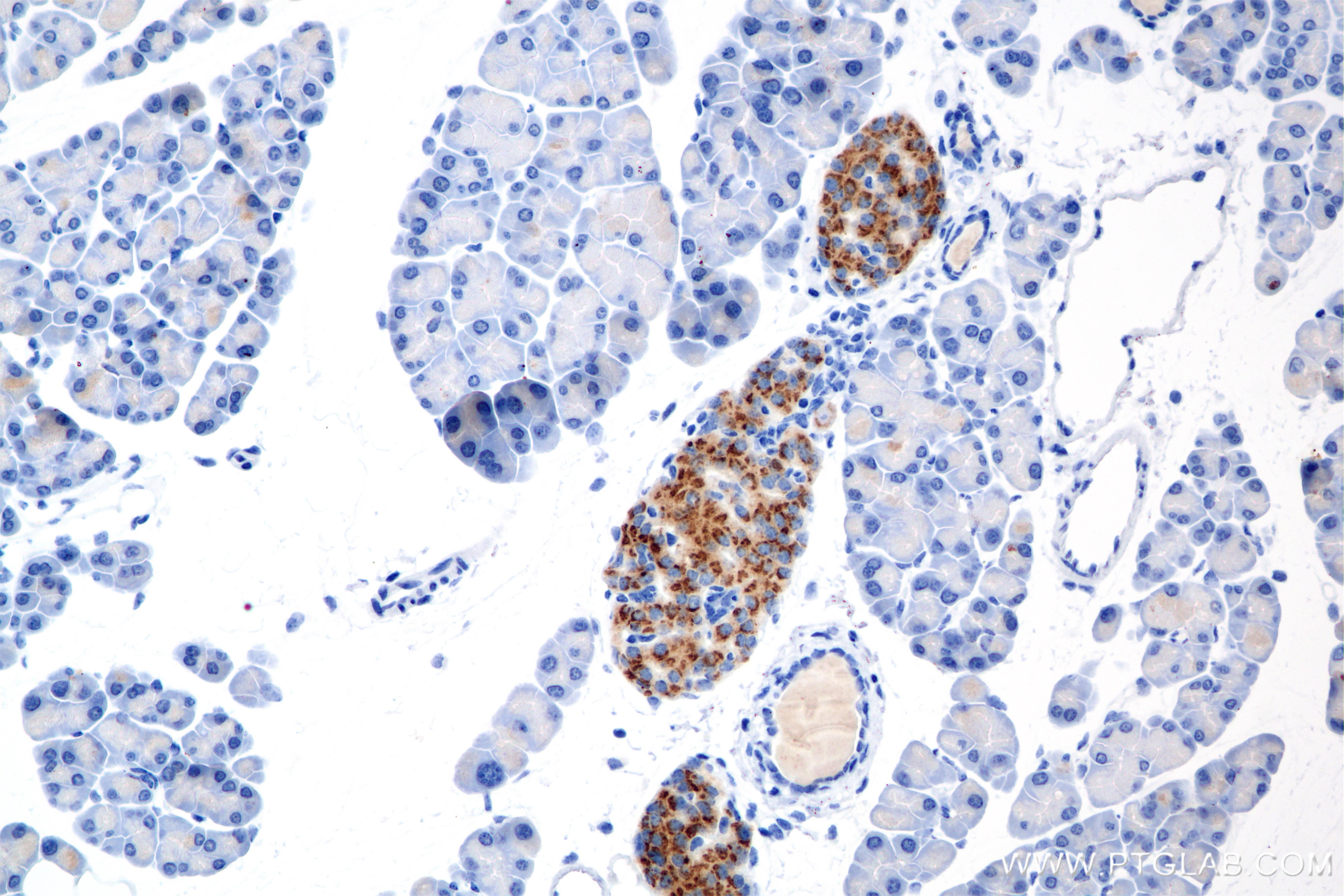
| 经测试应用 | WB, IHC, IF-P, Cytometric bead array, Indirect ELISA Application Description |
| 经测试反应性 | mouse, rat |
| 免疫原 |
CatNo: Eg2760 Product name: Recombinant Mouse Chromogranin A protein (rFc Tag) Source: mammalian cells-derived, V37 Tag: C-rFc Domain: 19-463 aa of NM_007693.2 Sequence: LPVNSPMTKGDTKVMKCVLEVISDSLSKPSPMPVSPECLETLQGDERILSILRHQNLLKELQDLALQGAKERAQQPLKQQQPPKQQQQQQQQQQQEQQHSSFEDELSEVFENQSPDAKHRDAAAEVPSRDTMEKRKDSDKGQQDGFEATTEGPRPQAFPEPNQESPMMGDSESPGEDTATNTQSPTSLPSQEHVDPQATGDSERGLSAQQQARKAKQEEKEEEEEEEAVAREKAGPEEVPTAASSSHFHAGYKAIQKDDGQSDSQAVDGDGKTEASEALPSEGKGELEHSQQEEDGEEAMVGTPQGLFPQGGKGRELEHKQEEEEEEEERLSREWEDKRWSRMDQLAKELTAEKRLEGEDDPDRSMKLSFRTRAYGFRDPGPQLRRGWRPSSREDSVEARSDFEEKKEEEGSANRRAEDQELESLSAIEAELEKVAHQLQALRRG 种属同源性预测 |
| 宿主/亚型 | Rabbit / IgG |
| 抗体类别 | Recombinant |
| 产品类型 | Antibody |
| 全称 | chromogranin A |
| 别名 | Beta-granin, Catestatin, CgA, Chga, Chromogranin-A |
| 计算分子量 | 52 kDa |
| 观测分子量 | 70-85 kDa |
| GenBank蛋白编号 | NM_007693.2 |
| 基因名称 | Chga |
| Gene ID (NCBI) | 12652 |
| RRID | AB_3744889 |
| 偶联类型 | Unconjugated |
| 形式 | Liquid |
| 纯化方式 | Protein A purification |
| UNIPROT ID | P26339 |
| 储存缓冲液 | PBS only, pH 7.3. |
| 储存条件 | Store at -80°C. The product is shipped with ice packs. Upon receipt, store it immediately at -80°C |
背景介绍
Chromogranin A is a member of the granin family of neuroendocrine secretory proteins. It is located in secretory vesicles of neurons and endocrine cells. Chromogranin A is the precursor to several functional peptides including vasostatin, pancreastatin, catestatin and parastatin. These peptides negatively modulate the neuroendocrine function of the releasing cell (autocrine) or nearby cells (paracrine). CgA is one of the most used tumor markers in NET's (neuroendocrine tumors) , and elevated CgA concentrations have been demonstrated in serum or plasma of patients with different types of these tumors.




