验证数据展示
经过测试的应用
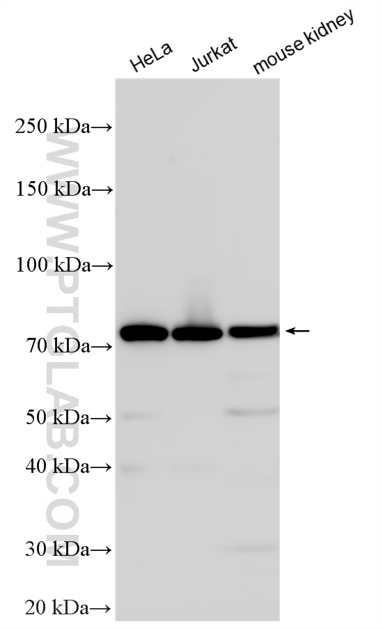
| Positive WB detected in | HeLa cells, A431 cells, Jurkat cells, mouse brain tissue, mouse kidney tissue, mouse testis tissue |
| Positive IP detected in | mouse brain tissue, HeLa cells |
| Positive IF/ICC detected in | HepG2 cells, A431 cells |
推荐稀释比
| 应用 | 推荐稀释比 |
|---|---|
| Western Blot (WB) | WB : 1:5000-1:50000 |
| Immunoprecipitation (IP) | IP : 0.5-4.0 ug for 1.0-3.0 mg of total protein lysate |
| Immunofluorescence (IF)/ICC | IF/ICC : 1:50-1:500 |
| It is recommended that this reagent should be titrated in each testing system to obtain optimal results. | |
| Sample-dependent, Check data in validation data gallery. | |
产品信息
51046-1-AP targets CD2AP in WB, IF/ICC, IP, CoIP, ELISA applications and shows reactivity with human, mouse samples.
| 经测试应用 | WB, IF/ICC, IP, ELISA Application Description |
| 文献引用应用 | WB, IF, CoIP |
| 经测试反应性 | human, mouse |
| 文献引用反应性 | human, mouse, rat |
| 免疫原 |
CatNo: Ag0622 Product name: Recombinant mouse Cd2ap protein Source: e coli.-derived, PGEX-4T Tag: GST Domain: 1-637 aa of BC157901 Sequence: MVDYIVEYDYDAVHDDELTIRVGEIIRNVKKLQEEGWLEGELNGRRGMFPDNFVKEIKRETEPKDDNLPIKRERQGNVASLVQRISTYGLPAGGIQPHPQTKAIKKKTKKRQCKVLFDYSPQNEDELELIVGDVIDVIEEVEEGWWSGTLNNKLGLFPSNFVKELESTEDGETHNAQEESEVPLTGPTSPLPSPGNGSEPAPGSVAQPKKIRGIGFGDIFKEGSVKLRTRTSSSETEEKKTEKPLILQPLGSRTQNVEVTKPDVDGKIKAKEYCRTLFPYTGTNEDELTFREGEIIHLISKETGEAGWWKGELNGKEGVFPDNFAVQISELDKDFPKPKKPPPPAKGPAPKPDLSAAEKKAFPLKAEEKDEKSLLEQKPSKPAAPQVPPKKPTAPTKASNLLRSPGAVYPKRPEKPVPPPPPAAKINGEVSIISSKIDTEPVSKPKLDPEQLPVRPKSVDLDAFVARNSKETDDVNFDDIASSENLLHLTANRPKMPGRRLPGRFNGGHSPTQSPEKTLKLPKEDDSGNLKPLEFKKDASYSSKPSLSTPSSASKVNTAAFLTPLELKAKAEADDGKKNSVDELRAQIIELLCIVDALKKDHGKELEKLRKELEEEKAMRSNLEVEIAKLKKAVLLS 种属同源性预测 |
| 宿主/亚型 | Rabbit / IgG |
| 抗体类别 | Polyclonal |
| 产品类型 | Antibody |
| 全称 | CD2-associated protein |
| 别名 | CD2 associated protein, CD2-associated protein, Mesenchyme-to-epithelium transition protein with SH3 domains 1, METS 1, Mets1 |
| 计算分子量 | 637 aa, 70 kDa |
| 观测分子量 | 71 kDa |
| GenBank蛋白编号 | BC157901 |
| 基因名称 | Cd2ap |
| Gene ID (NCBI) | 12488 |
| RRID | AB_670322 |
| 偶联类型 | Unconjugated |
| 形式 | Liquid |
| 纯化方式 | Antigen affinity purification |
| UNIPROT ID | Q9JLQ0 |
| 储存缓冲液 | PBS with 0.02% sodium azide and 50% glycerol, pH 7.3. |
| 储存条件 | Store at -20°C. Stable for one year after shipment. Aliquoting is unnecessary for -20oC storage. |
背景介绍
CD2 associated protein (CD2AP, also known as CMS) is a scaffolding molecule that acts as an adapter protein between membrane proteins and the actin cytoskeleton (PMID: 10339567). CD2AP also plays a role in epithelial cell junction formation and affects the pathogenesis of Alzheimer's disease (PMID: 22891260; 31440393). Its mutations are associated with sporadic nephrotic syndrome and focal segmental glomerulosclerosis (FSGS) (PMID: 17713465; 19131354).
实验方案
| Product Specific Protocols | |
|---|---|
| IF protocol for CD2AP antibody 51046-1-AP | Download protocol |
| IP protocol for CD2AP antibody 51046-1-AP | Download protocol |
| WB protocol for CD2AP antibody 51046-1-AP | Download protocol |
| Standard Protocols | |
|---|---|
| Click here to view our Standard Protocols |
发表文章
| Species | Application | Title |
|---|---|---|
J Clin Invest Endoplasmic reticulum-associated degradation is required for nephrin maturation and kidney glomerular filtration function. | ||
Exp Ther Med Transforming growth factor-β1-induced podocyte injury is associated with increased microRNA-155 expression, enhanced inflammatory responses and MAPK pathway activation. | ||
J Biol Chem The Rab GTPase-binding protein EHBP1L1 and its interactors CD2AP/CIN85 negatively regulate the length of primary cilia via actin remodeling
| ||
Int J Mol Sci The Cleavage-Specific Tau 12A12mAb Exerts an Anti-Amyloidogenic Action by Modulating the Endocytic and Bioenergetic Pathways in Alzheimer's Disease Mouse Model | ||
J Am Soc Nephrol Glomerulosclerosis Induced by Deficiency of Membrane-Associated Guanylate Kinase Inverted 2 in Kidney Podocytes | ||
Int J Cardiol Human cytomegalovirus pUL135 protein affects endothelial cell function via CD2AP in Kawasaki disease
|










