验证数据展示
经过测试的应用
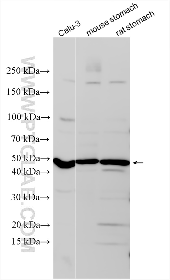
| Positive WB detected in | Calu-3 cells, mouse stomach tissue, rat stomach tissue |
推荐稀释比
| 应用 | 推荐稀释比 |
|---|---|
| Western Blot (WB) | WB : 1:500-1:2000 |
| It is recommended that this reagent should be titrated in each testing system to obtain optimal results. | |
| Sample-dependent, Check data in validation data gallery. | |
产品信息
25146-1-AP targets Cathepsin E in WB, ELISA applications and shows reactivity with human, mouse, rat samples.
| 经测试应用 | WB, ELISA Application Description |
| 经测试反应性 | human, mouse, rat |
| 免疫原 |
CatNo: Ag18484 Product name: Recombinant human CTSE protein Source: e coli.-derived, PGEX-4T Tag: GST Domain: 108-275 aa of BC042537 Sequence: YCTSPACKTHSRFQPSQSSTYSQPGQSFSIQYGTGSLSGIIGADQVSVEGLTVVGQQFGESVTEPGQTFVDAEFDGILGLGYPSLAVGGVTPVFDNMMAQNLVDLPMFSVYMSSNPEGGAGSELIFGGYDHSHFSGSLNWVPVTKQAYWQIALDNIQVGGTVMFCSEG 种属同源性预测 |
| 宿主/亚型 | Rabbit / IgG |
| 抗体类别 | Polyclonal |
| 产品类型 | Antibody |
| 全称 | cathepsin E |
| 别名 | CTSE, CATE |
| 计算分子量 | 396 aa, 43 kDa |
| 观测分子量 | 43-48 kDa |
| GenBank蛋白编号 | BC042537 |
| 基因名称 | CTSE |
| Gene ID (NCBI) | 1510 |
| 偶联类型 | Unconjugated |
| 形式 | Liquid |
| 纯化方式 | Antigen affinity purification |
| UNIPROT ID | P14091 |
| 储存缓冲液 | PBS with 0.02% sodium azide and 50% glycerol, pH 7.3. |
| 储存条件 | Store at -20°C. Stable for one year after shipment. Aliquoting is unnecessary for -20oC storage. |
背景介绍
Cathepsin E (CTSE) is an aspartic protease and a member of the peptidase A1 family of proteases, along with pepsin A and cathepsin D (CTSD) (PMID: 31582345). Caathepsin E is essential for degradation of these lysosomal membrane proteins, and that its deficiency is implicated in the development of a new form of lysosomal storage disorder associated with the elevation of lysosomal pH (PMID: 17095504). It associates with lysosomal and endosomal pathways participating actively in immune response regulation. Cathepsin E specifically induces growth arrest and apoptosis in human prostate cancer cell lines (PMID: 20482316).
实验方案
| Product Specific Protocols | |
|---|---|
| WB protocol for Cathepsin E antibody 25146-1-AP | Download protocol |
| Standard Protocols | |
|---|---|
| Click here to view our Standard Protocols |
