验证数据展示
经过测试的应用
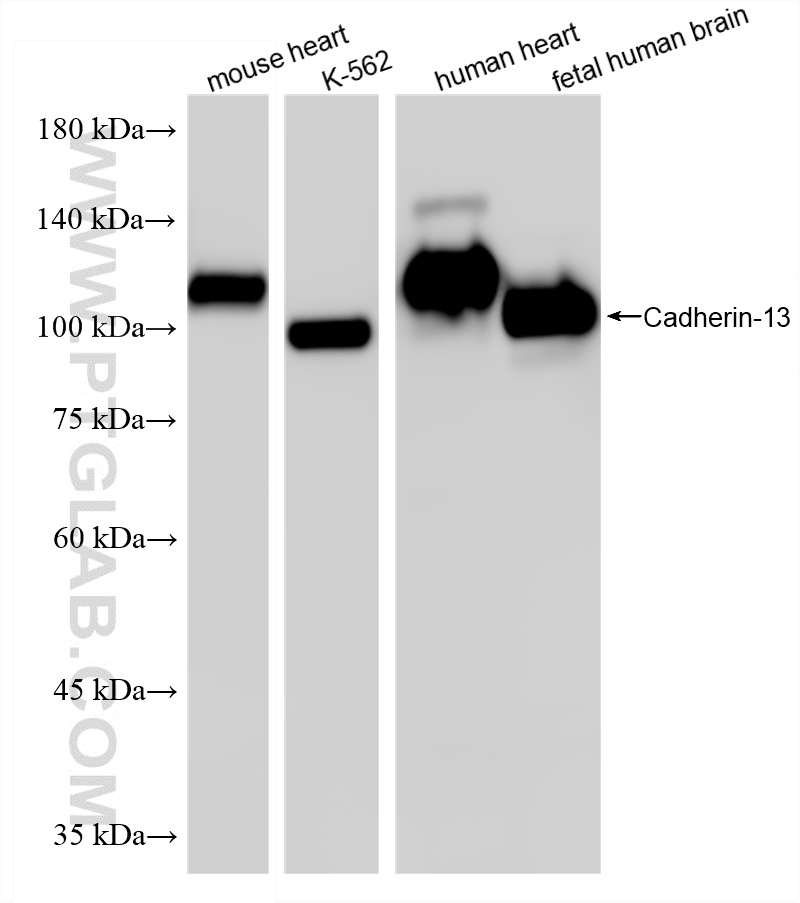
| Positive WB detected in | mouse heart tissue, K-562 cells, human heart tissue, fetal human brain tissue |
推荐稀释比
| 应用 | 推荐稀释比 |
|---|---|
| Western Blot (WB) | WB : 1:2000-1:10000 |
| It is recommended that this reagent should be titrated in each testing system to obtain optimal results. | |
| Sample-dependent, Check data in validation data gallery. | |
产品信息
87073-2-RR targets Cadherin-13 in WB, ELISA applications and shows reactivity with human, mouse samples.
| 经测试应用 | WB, ELISA Application Description |
| 经测试反应性 | human, mouse |
| 免疫原 |
CatNo: Eg5964 Product name: Recombinant Human Cadherin-13 protein (rFc Tag) Source: mammalian cells-derived, V37 Tag: C-rFc Domain: 139-693 aa of NM_001257.4 Sequence: SIVVSPILIPENQRQPFPRDVGKVVDSDRPERSKFRLTGKGVDQEPKGIFRINENTGSVSVTRTLDREVIAVYQLFVETTDVNGKTLEGPVPLEVIVIDQNDNRPIFREGPYIGHVMEGSPTGTTVMRMTAFDADDPATDNALLRYNIRQQTPDKPSPNMFYIDPEKGDIVTVVSPALLDRETLENPKYELIIEAQDMAGLDVGLTGTATATIMIDDKNDHSPKFTKKEFQATVEEGAVGVIVNLTVEDKDDPTTGAWRAAYTIINGNPGQSFEIHTNPQTNEGMLSVVKPLDYEISAFHTLLIKVENEDPLVPDVSYGPSSTATVHITVLDVNEGPVFYPDPMMVTRQEDLSVGSVLLTVNATDPDSLQHQTIRYSVYKDPAGWLNINPINGTVDTTAVLDRESPFVDNSVYTALFLAIDSGNPPATGTGTLLITLEDVNDNAPFIYPTVAEVCDDAKNLSVVILGASDKDLHPNTDPFKFEIHKQAVPDKVWKISKINNTHALVSLLQNLNKANYNLPIMVTDSGKPPMTNITDLRVQVCSCRNSKVDCNAAG 种属同源性预测 |
| 宿主/亚型 | Rabbit / IgG |
| 抗体类别 | Recombinant |
| 产品类型 | Antibody |
| 全称 | cadherin 13, H-cadherin (heart) |
| 别名 | CDH13, Cadherin 13, CDHH, H cadherin, H-cadherin |
| 计算分子量 | 78 kDa |
| 观测分子量 | 90-110 kDa |
| GenBank蛋白编号 | NM_001257.4 |
| 基因名称 | Cadherin-13 |
| Gene ID (NCBI) | 1012 |
| 偶联类型 | Unconjugated |
| 形式 | Liquid |
| 纯化方式 | Protein A purification |
| UNIPROT ID | P55290-1 |
| 储存缓冲液 | PBS with 0.02% sodium azide and 50% glycerol, pH 7.3. |
| 储存条件 | Store at -20°C. Stable for one year after shipment. Aliquoting is unnecessary for -20oC storage. |
背景介绍
Cadherins are a family of transmembrane glycoproteins that mediate calcium-dependent cell-cell adhesion and play an important role in the maintenance of normal tissue architecture. Cadherin-13 (CDH13, also known as H-cadherin or T-cadherin) is an atypical member of cadherin family, lacking transmembrane and cytosolic domains and anchored to the exterior surface of the plasma membrane via a GPI anchor. CDH13 is thought to affect cellular behavior largely through its signaling properties. It is highly expressed in heart, and in the CNS, CDH13 is expressed in cerebral cortex, medulla, hippocampus, amygdala, thalamus and substantia nigra. It is often down-regulated in cancerous cells. The CDH13 cDNA encodes a 713-amino acid protein, which has a calculated molecular weight of 78 kDa. Studies have detected variable bands on Western blots, including 105 kDa (mature form), 130 kDa (precursor), and 45 kDa, which may be a post-translational processing variant of CDH13 (PMID: 19399994).
实验方案
| Product Specific Protocols | |
|---|---|
| WB protocol for Cadherin-13 antibody 87073-2-RR | Download protocol |
| Standard Protocols | |
|---|---|
| Click here to view our Standard Protocols |


