验证数据展示
经过测试的应用
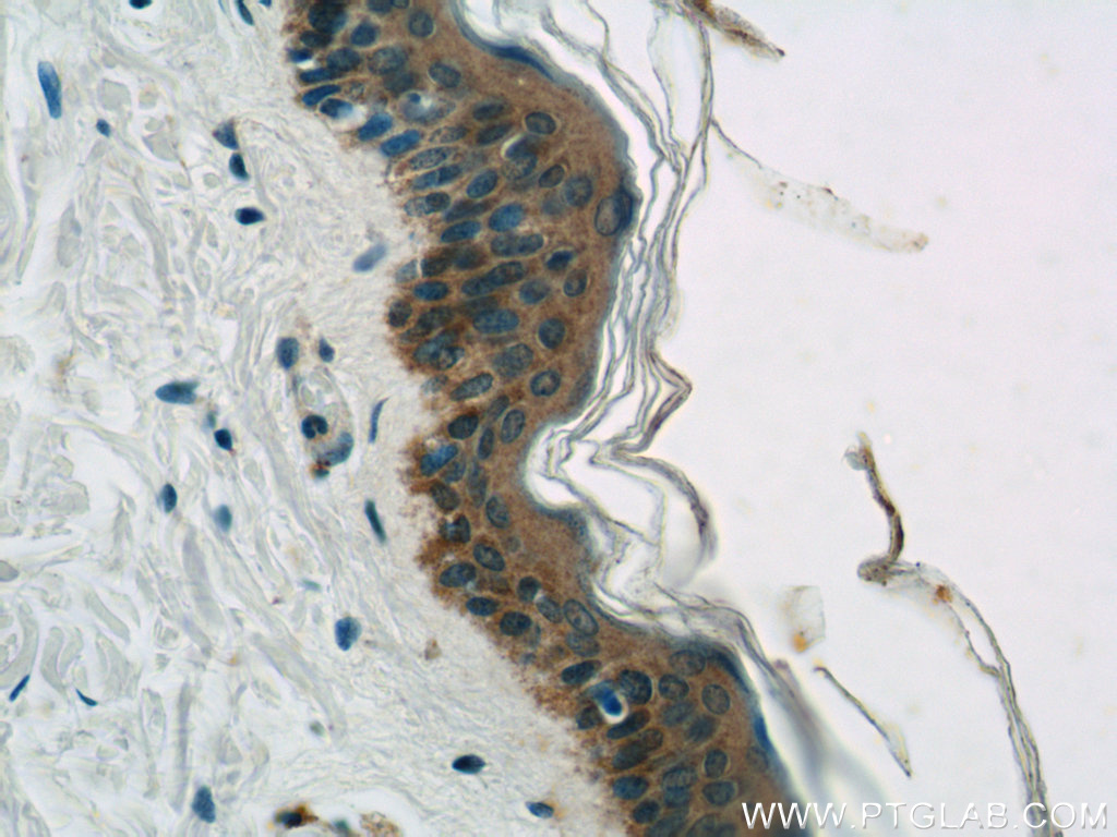
| Positive IHC detected in | human skin tissue, human kidney tissue Note: suggested antigen retrieval with TE buffer pH 9.0; (*) Alternatively, antigen retrieval may be performed with citrate buffer pH 6.0 |
推荐稀释比
| 应用 | 推荐稀释比 |
|---|---|
| Immunohistochemistry (IHC) | IHC : 1:20-1:200 |
| It is recommended that this reagent should be titrated in each testing system to obtain optimal results. | |
| Sample-dependent, Check data in validation data gallery. | |
产品信息
20011-1-AP targets CYP4F8 in IHC, ELISA applications and shows reactivity with human samples.
| 经测试应用 | IHC, ELISA Application Description |
| 经测试反应性 | human |
| 免疫原 |
Peptide 种属同源性预测 |
| 宿主/亚型 | Rabbit / IgG |
| 抗体类别 | Polyclonal |
| 产品类型 | Antibody |
| 全称 | cytochrome P450, family 4, subfamily F, polypeptide 8 |
| 别名 | CPF8, CYP4F8, CYPIVF8, Cytochrome P450 4F8 |
| 计算分子量 | 60 kDa |
| GenBank蛋白编号 | NM_007253 |
| 基因名称 | CYP4F8 |
| Gene ID (NCBI) | 11283 |
| RRID | AB_2878634 |
| 偶联类型 | Unconjugated |
| 形式 | Liquid |
| 纯化方式 | Antigen affinity purification |
| UNIPROT ID | P98187 |
| 储存缓冲液 | PBS with 0.02% sodium azide and 50% glycerol, pH 7.3. |
| 储存条件 | Store at -20°C. Stable for one year after shipment. Aliquoting is unnecessary for -20oC storage. |
背景介绍
CYP4F8, also named as CPF8, belongs to the cytochrome P450 family. Cytochromes P450 are a group of heme-thiolate monooxygenases. CYP4F8 hydroxylates arachidonic acid (20:4n-6) to (18R)-hydroxyarachidonate. CYP4F8 shows little activity against prostaglandin (PG) D2, PGE1, PGE2, PGF2alpha, and leukotriene B4. CYP4F8 catalyzes omega-2 and omega-3-hydroxylation of PGH1 and PGH2. Catalyzes epoxidation of 4,7,10,13,16,19-(Z)-docosahexaenoic acid (22:6n-3) and 7,10,13,16,19-(Z)-docosapentaenoic acid (22:5n-3) and omega-3-hydroxylation of 4,7,10,13,16-(Z)-docosapentaenoic acid (22:5n-6). It catalyzes hydrxylation of PGI2 and carbaprostacyclin. The antibody has no cross reaction to other CYP4F member
实验方案
| Product Specific Protocols | |
|---|---|
| IHC protocol for CYP4F8 antibody 20011-1-AP | Download protocol |
| Standard Protocols | |
|---|---|
| Click here to view our Standard Protocols |





