验证数据展示
经过测试的应用
| Positive WB detected in | HEK-293 cells, rat kidney tissue, mouse kidney tissue |
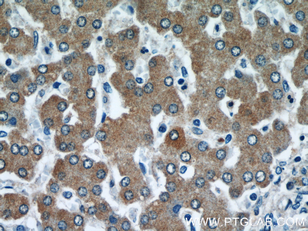
| Positive IHC detected in | human kidney tissue, human liver tissue Note: suggested antigen retrieval with TE buffer pH 9.0; (*) Alternatively, antigen retrieval may be performed with citrate buffer pH 6.0 |
推荐稀释比
| 应用 | 推荐稀释比 |
|---|---|
| Western Blot (WB) | WB : 1:500-1:2000 |
| Immunohistochemistry (IHC) | IHC : 1:300-1:1000 |
| It is recommended that this reagent should be titrated in each testing system to obtain optimal results. | |
| Sample-dependent, Check data in validation data gallery. | |
发表文章中的应用
| WB | See 9 publications below |
产品信息
11688-1-AP targets CYP4A11 in WB, IHC, ELISA applications and shows reactivity with human, mouse, rat samples.
| 经测试应用 | WB, IHC, ELISA Application Description |
| 文献引用应用 | WB |
| 经测试反应性 | human, mouse, rat |
| 文献引用反应性 | human, mouse, rat |
| 免疫原 |
CatNo: Ag2300 Product name: Recombinant human CYP4A11 protein Source: e coli.-derived, PGEX-4T Tag: GST Domain: 1-215 aa of BC022851 Sequence: MSVSVLSPSRLLGDVSGILQAASLLILLLLLIKAVQLYLHRQWLLKALQQFPCPPSHWLFGHIQELQQDQELQRIQKWVETFPSACPHWLWGGKVRVQLYDPDYMKVILGRSDPKSHGSYRFLAPWIGYGLLLLNGQTWFQHRRMLTPAFHYDILKPYVGLMADSVRVMLDKWEELLGQDSPLEVFQHVSLMTLDTIMKCAFRHWQRAQHSRHLP 种属同源性预测 |
| 宿主/亚型 | Rabbit / IgG |
| 抗体类别 | Polyclonal |
| 产品类型 | Antibody |
| 全称 | cytochrome P450, family 4, subfamily A, polypeptide 11 |
| 别名 | 20-HETE synthase, 20-hydroxyeicosatetraenoic acid synthase, CP4Y, CYP4A14, CYP4A2 |
| 计算分子量 | 519 aa, 59 kDa |
| 观测分子量 | 59 kDa |
| GenBank蛋白编号 | BC022851 |
| 基因名称 | CYP4A11 |
| Gene ID (NCBI) | 1579 |
| RRID | AB_10804774 |
| 偶联类型 | Unconjugated |
| 形式 | Liquid |
| 纯化方式 | Antigen affinity purification |
| UNIPROT ID | Q02928 |
| 储存缓冲液 | PBS with 0.02% sodium azide and 50% glycerol, pH 7.3. |
| 储存条件 | Store at -20°C. Stable for one year after shipment. Aliquoting is unnecessary for -20oC storage. |
背景介绍
CYP4A is a member of the CYP4 enzyme family and is involved in the metabolism of medium- and long-chain fatty acids, such as arachidonic acid, palmitate, laurate and compounds with highly regionally selective hydroxylated terminal ω-carbon (PMID: 2554928). CYP4A11 is involved in the development of nonalcoholic fatty liver disease via ROS-induced lipid peroxidation and inflammation (PMID: 32124935). CYP4A11 primarily metabolizes endobiotics and catalyzes the ω-hydroxylation of fatty acids in human liver and kidney tissues (PMID: 34594219). The human CYP4A11 is homologous to mouse CYP4A14 (PMID: 38356602).
实验方案
| Product Specific Protocols | |
|---|---|
| IHC protocol for CYP4A11 antibody 11688-1-AP | Download protocol |
| WB protocol for CYP4A11 antibody 11688-1-AP | Download protocol |
| Standard Protocols | |
|---|---|
| Click here to view our Standard Protocols |
发表文章
| Species | Application | Title |
|---|---|---|
Free Radic Biol Med PPARα agonist WY-14,643 enhances ethanol metabolism in mice: role of catalase. | ||
Food Funct Correction: Total saponins from Rosa laevigata Michx fruit attenuates hepatic steatosis induced by high-fat diet in rats. | ||
Food Funct Total saponins from Rosa laevigata Michx fruit attenuates hepatic steatosis induced by high-fat diet in rats. | ||
Forensic Sci Int Identification of the miRNA-3185/CYP4A11 axis in cardiac tissue as a biomarker for mechanical asphyxia. | ||
Chem Biol Interact Activation of 20-HETE/PPARs involved in reno-therapeutic effect of naringenin on diabetic nephropathy. | ||
Transl Res Aldehyde dehydrogenase 2 attenuates renal injury through inhibiting CYP4A expression |









