验证数据展示
经过测试的应用
| Positive WB detected in | mouse liver tissue, NIH/3T3 cells |
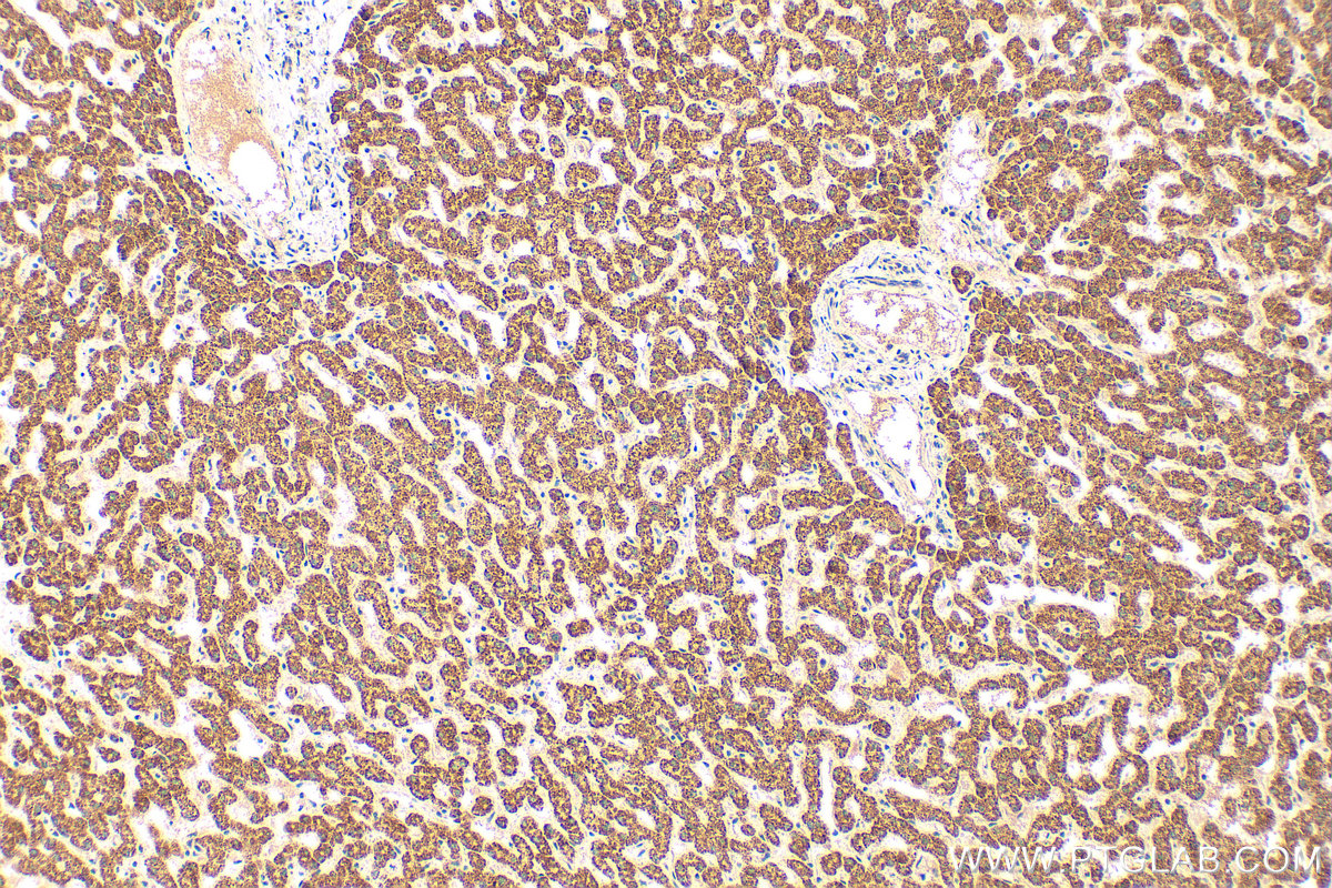
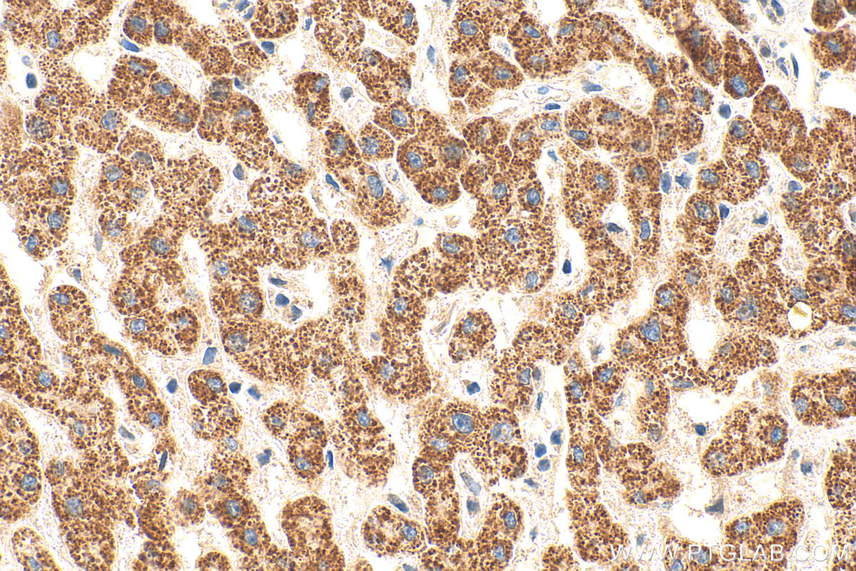
| Positive IHC detected in | human liver tissue, human liver cancer tissue Note: suggested antigen retrieval with TE buffer pH 9.0; (*) Alternatively, antigen retrieval may be performed with citrate buffer pH 6.0 |
推荐稀释比
| 应用 | 推荐稀释比 |
|---|---|
| Western Blot (WB) | WB : 1:500-1:1000 |
| Immunohistochemistry (IHC) | IHC : 1:50-1:500 |
| It is recommended that this reagent should be titrated in each testing system to obtain optimal results. | |
| Sample-dependent, Check data in validation data gallery. | |
产品信息
14739-1-AP targets CYP27A1 in WB, IHC, IF, ELISA applications and shows reactivity with human, mouse, rat samples.
| 经测试应用 | WB, IHC, ELISA Application Description |
| 文献引用应用 | WB, IHC, IF |
| 经测试反应性 | human, mouse, rat |
| 文献引用反应性 | human, mouse, rat, pig, rabbit, chicken |
| 免疫原 |
CatNo: Ag6408 Product name: Recombinant human CYP27A1 protein Source: e coli.-derived, PGEX-4T Tag: GST Domain: 183-531 aa of BC051851 Sequence: DDFMTRLDQLRAESASGNQVSDMAQLFYYFALEAICYILFEKRIGCLQRSIPEDTVTFVRSIGLMFQNSLYATFLPKWTRPVLPFWKRYLDGWNAIFSFGKKLIDEKLEDMEAQLQAAGPDGIQVSGYLHFLLASGQLSPREAMGSLPELLMAGVDTTSNTLTWALYHLSKDPEIQEALHEEVVGVVPAGQVPQHKDFAHMPLLKAVLKETLRLYPVVPTNSRIIEKEIEVDGFLFPKNTQFVFCHYVVSRDPTAFSEPESFQPHRWLRNSQPATPRIQHPFGSVPFGYGVRACLGRRIAELEMQLLLARLIQKYKVVLAPETGELKSVARIVLVPNKKVGLQFLQRQC 种属同源性预测 |
| 宿主/亚型 | Rabbit / IgG |
| 抗体类别 | Polyclonal |
| 产品类型 | Antibody |
| 全称 | cytochrome P450, family 27, subfamily A, polypeptide 1 |
| 别名 | 5-beta-cholestane-3-alpha,7-alpha,12-alpha-triol 26-hydroxylase, CP27, CTX, CYP27, Cytochrome P 450C27/25 |
| 计算分子量 | 60 kDa |
| 观测分子量 | 60-65 kDa |
| GenBank蛋白编号 | BC051851 |
| 基因名称 | CYP27A1 |
| Gene ID (NCBI) | 1593 |
| RRID | AB_2089276 |
| 偶联类型 | Unconjugated |
| 形式 | Liquid |
| 纯化方式 | Antigen affinity purification |
| UNIPROT ID | Q02318 |
| 储存缓冲液 | PBS with 0.02% sodium azide and 50% glycerol, pH 7.3. |
| 储存条件 | Store at -20°C. Stable for one year after shipment. Aliquoting is unnecessary for -20oC storage. |
背景介绍
Mitochondrial sterol 27-hydroxylase (CYP27A1) catalyzes oxidative cleavage of the sterol side chain in the bile acid biosynthetic pathway in the liver and 27-hydroxylation of cholesterol in most tissues(PMID:17088262). It belongs to the cytochrome P450 family. CYP27A1 catalyses an important sterol elimination pathway in the macrophage, and consequently may protect against atherosclerosis.
实验方案
| Product Specific Protocols | |
|---|---|
| IHC protocol for CYP27A1 antibody 14739-1-AP | Download protocol |
| WB protocol for CYP27A1 antibody 14739-1-AP | Download protocol |
| Standard Protocols | |
|---|---|
| Click here to view our Standard Protocols |
发表文章
| Species | Application | Title |
|---|---|---|
Cell Res Tissue-specific transcription reprogramming promotes liver metastasis of colorectal cancer. | ||
J Lipid Res Increased maternal and fetal cholesterol efflux capacity and placental CYP27A1 expression in preeclampsia. | ||
Phytomedicine Dehydrodiconiferyl alcohol, a lignan from Herpetospermum pedunculosum, alleviates cholestasis by activating pathways associated with the farnesoid X receptor. | ||
Phytomedicine Dolomiaea souliei ethyl acetate extract protected against α-naphthylisothiocyanate-induced acute intrahepatic cholestasis through regulation of farnesoid x receptor-mediated bile acid metabolism | ||
Phytomedicine Alisol B 23-acetate adjusts bile acid metabolisim via hepatic FXR-BSEP signaling activation to alleviate atherosclerosis. | ||
J Agric Food Chem Oryzanol Attenuates High Fat and Cholesterol Diet-Induced Hyperlipidemia by Regulating the Gut Microbiome and Amino Acid Metabolism. |







