验证数据展示
经过测试的应用
| Positive WB detected in | mouse liver tissue, HepG2 cells, mouse cerebellum tissue, mouse lung tissue, rat liver tissue |
| Positive IP detected in | mouse lung tissue |
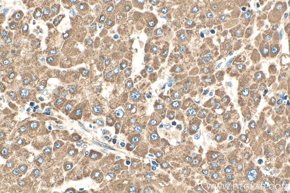
| Positive IHC detected in | human liver cancer tissue, human breast cancer tissue Note: suggested antigen retrieval with TE buffer pH 9.0; (*) Alternatively, antigen retrieval may be performed with citrate buffer pH 6.0 |
| Positive IF/ICC detected in | HeLa cells |
| Positive FC (Intra) detected in | Jurkat cells |
推荐稀释比
| 应用 | 推荐稀释比 |
|---|---|
| Western Blot (WB) | WB : 1:1000-1:4000 |
| Immunoprecipitation (IP) | IP : 0.5-4.0 ug for 1.0-3.0 mg of total protein lysate |
| Immunohistochemistry (IHC) | IHC : 1:50-1:500 |
| Immunofluorescence (IF)/ICC | IF/ICC : 1:200-1:800 |
| Flow Cytometry (FC) (INTRA) | FC (INTRA) : 0.25 ug per 10^6 cells in a 100 µl suspension |
| It is recommended that this reagent should be titrated in each testing system to obtain optimal results. | |
| Sample-dependent, Check data in validation data gallery. | |
产品信息
13241-1-AP targets CYP1A1 in WB, IHC, IF/ICC, FC (Intra), IP, ELISA applications and shows reactivity with human, mouse, rat samples.
| 经测试应用 | WB, IHC, IF/ICC, FC (Intra), IP, ELISA Application Description |
| 文献引用应用 | WB, IHC, IF |
| 经测试反应性 | human, mouse, rat |
| 文献引用反应性 | human, mouse, rat, pig, zebrafish |
| 免疫原 |
CatNo: Ag3990 Product name: Recombinant human CYP1A1 protein Source: e coli.-derived, PGEX-4T Tag: GST Domain: 115-465 aa of BC023019 Sequence: ISNGQSMSFSPDSGPVWAARRRLAQNGLKSFSIASDPASSTSCYLEEHVSKEAEVLISTLQELMAGPGHFNPYRYVVVSVTNVICAICFGRRYDHNHQELLSLVNLNNNFGEVVGSGNPADFIPILRYLPNPSLNAFKDLNEKFYSFMQKMVKEHYKTFEKGHIRDITDSLIEHCQEKQLDENANVQLSDEKIINIVLDLFGAGFDTVTTAISWSLMYLVMNPRVQRKIQEELDTVIGRSRRPRLSDRSHLPYMEAFILETFRHSSFVPFTIPHSTTRDTSLKGFYIPKGRCVFVNQWQINHDQKLWVNPSEFLPERFLTPDGAIDKVLSEKVIIFGMGKRKCIGETIARW 种属同源性预测 |
| 宿主/亚型 | Rabbit / IgG |
| 抗体类别 | Polyclonal |
| 产品类型 | Antibody |
| 全称 | cytochrome P450, family 1, subfamily A, polypeptide 1 |
| 别名 | AHH, AHRR, CP11, CYP1, CYPIA1 |
| 计算分子量 | 512 aa, 58 kDa |
| 观测分子量 | 50-58 kDa |
| GenBank蛋白编号 | BC023019 |
| 基因名称 | CYP1A1 |
| Gene ID (NCBI) | 1543 |
| RRID | AB_2877928 |
| 偶联类型 | Unconjugated |
| 形式 | Liquid |
| 纯化方式 | Antigen affinity purification |
| UNIPROT ID | P04798 |
| 储存缓冲液 | PBS with 0.02% sodium azide and 50% glycerol, pH 7.3. |
| 储存条件 | Store at -20°C. Stable for one year after shipment. Aliquoting is unnecessary for -20oC storage. |
实验方案
| Product Specific Protocols | |
|---|---|
| FC protocol for CYP1A1 antibody 13241-1-AP | Download protocol |
| IF protocol for CYP1A1 antibody 13241-1-AP | Download protocol |
| IHC protocol for CYP1A1 antibody 13241-1-AP | Download protocol |
| IP protocol for CYP1A1 antibody 13241-1-AP | Download protocol |
| WB protocol for CYP1A1 antibody 13241-1-AP | Download protocol |
| Standard Protocols | |
|---|---|
| Click here to view our Standard Protocols |
发表文章
| Species | Application | Title |
|---|---|---|
Environ Int Novel fluorescent and secreted transcriptional reporters for quantifying activity of the xenobiotic sensor aryl hydrocarbon receptor (AHR) | ||
Free Radic Biol Med 5-Methoxyflavone ameliorates non-alcoholic fatty liver disease through targeting the cytochrome P450 1A1 | ||
Phytother Res Quercetin ameliorates ulcerative colitis by activating aryl hydrocarbon receptor to improve intestinal barrier integrity | ||
NPJ Regen Med Myeloid cell-associated aromatic amino acid metabolism facilitates CNS myelin regeneration | ||
Cell Rep Hypoxia-induced PRMT1 methylates HIF2β to promote breast tumorigenesis via enhancing glycolytic gene transcription | ||
Environ Pollut Regioselective hydroxylation of carbendazim by mammalian cytochrome P450: A combined experimental and computational study. |











