验证数据展示
经过测试的应用
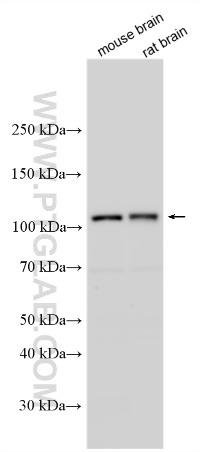
| Positive WB detected in | mouse brain tissue, A431 cells, HEK-293 cells, Jurkat cells, rat brain tissue |
| Positive IP detected in | mouse brain tissue |
| Positive IHC detected in | human colon cancer tissue, human brain tissue, human colon tissue Note: suggested antigen retrieval with TE buffer pH 9.0; (*) Alternatively, antigen retrieval may be performed with citrate buffer pH 6.0 |
推荐稀释比
| 应用 | 推荐稀释比 |
|---|---|
| Western Blot (WB) | WB : 1:1000-1:4000 |
| Immunoprecipitation (IP) | IP : 0.5-4.0 ug for 1.0-3.0 mg of total protein lysate |
| Immunohistochemistry (IHC) | IHC : 1:50-1:500 |
| It is recommended that this reagent should be titrated in each testing system to obtain optimal results. | |
| Sample-dependent, Check data in validation data gallery. | |
产品信息
11110-1-AP targets CYLD in WB, IHC, IF, IP, ELISA applications and shows reactivity with human, mouse, rat samples.
| 经测试应用 | WB, IHC, IP, ELISA Application Description |
| 文献引用应用 | WB, IHC, IF, IP |
| 经测试反应性 | human, mouse, rat |
| 文献引用反应性 | human, mouse, rat |
| 免疫原 |
CatNo: Ag1598 Product name: Recombinant human CYLD protein Source: e coli.-derived, PGEX-4T Tag: GST Domain: 654-953 aa of BC012342 Sequence: TKIMKLRKILEKVEAASGFTSEEKDPEEFLNILFHHILRVEPLLKIRSAGQKVQDCYFYQIFMEKNEKVGVPTIQQLLEWSFINSNLKFAEAPSCLIIQMPRFGKDFKLFKKIFPSLELNITDLLEDTPRQCRICGGLAMYECRECYDDPDISAGKIKQFCKTCNTQVHLHPKRLNHKYNPVSLPKDLPDWDWRHGCIPCQNMELFAVLCIETSHYVAFVKYGKDDSAWLFFDSMADRDGGQNGFNIPQVTPCPEVGEYLKMSLEDLHSLDSRRIQGCARRLLCDAYMCMYQSPTMSLYK 种属同源性预测 |
| 宿主/亚型 | Rabbit / IgG |
| 抗体类别 | Polyclonal |
| 产品类型 | Antibody |
| 全称 | cylindromatosis (turban tumor syndrome) |
| 别名 | CDMT, CYLD1, CYLDI, EAC, EC:3.4.19.12 |
| 计算分子量 | 107 kDa |
| 观测分子量 | 110 kDa |
| GenBank蛋白编号 | BC012342 |
| 基因名称 | CYLD |
| Gene ID (NCBI) | 1540 |
| RRID | AB_10915966 |
| 偶联类型 | Unconjugated |
| 形式 | Liquid |
| 纯化方式 | Antigen affinity purification |
| UNIPROT ID | Q9NQC7 |
| 储存缓冲液 | PBS with 0.02% sodium azide and 50% glycerol, pH 7.3. |
| 储存条件 | Store at -20°C. Stable for one year after shipment. Aliquoting is unnecessary for -20oC storage. |
背景介绍
CYLD, also named as CYLD1, belongs to the peptidase C67 family. It is the protease that specifically cleaves 'Lys-63'-linked polyubiquitin chains. CYLD has endodeubiquitinase activity and plays an important role in the regulation of pathways leading to NF-kappa-B activation. CYLD contributes to the regulation of cell survival, proliferation and differentiation via its effects on NF-kappa-B activation. It is a negative regulator of Wnt signaling. CYLD inhibits HDAC6 and thereby promotes acetylation of alpha-tubulin and stabilization of microtubules. CYLD plays a role in the regulation of microtubule dynamics, and thereby contributes to the regulation of cell proliferation, cell polarization, cell migration, and angiogenesis. It is required for normal cell cycle progress and normal cytokinesis. CYLD inhibits nuclear translocation of NF-kappa-B and plays a role in the regulation of inflammation and the innate immune response, via its effects on NF-kappa-B activation. It is dispensable for the maturation of intrathymic natural killer cells, but required for the continued survival of immature natural killer cells. CYLD negatively regulates TNFRSF11A signaling and osteoclastogenesis. This antibody is a rabbit polyclonal antibody raised against residues near the C terminus of human CYLD.
实验方案
| Product Specific Protocols | |
|---|---|
| IHC protocol for CYLD antibody 11110-1-AP | Download protocol |
| IP protocol for CYLD antibody 11110-1-AP | Download protocol |
| WB protocol for CYLD antibody 11110-1-AP | Download protocol |
| Standard Protocols | |
|---|---|
| Click here to view our Standard Protocols |
发表文章
| Species | Application | Title |
|---|---|---|
Nat Cell Biol TRIM15 and CYLD regulate ERK activation via lysine-63-linked polyubiquitination.
| ||
Cancer Lett CYLD deficiency enhances metabolic reprogramming and tumor progression in nasopharyngeal carcinoma via PFKFB3. | ||
Arterioscler Thromb Vasc Biol CYLD Deubiquitinates Nicotinamide Adenine Dinucleotide Phosphate Oxidase 4 Contributing to Adventitial Remodeling. | ||
Sci Total Environ USP15 participates in DBP-induced testicular oxidative stress injury through regulating the Keap1/Nrf2 signaling pathway.
| ||
iScience Centrosomal protein 120 promotes centrosome amplification and gastric cancer progression via USP54-mediated deubiquitination of PLK4 | ||
Chem Biol Interact miR-501 is upregulated in cervical cancer and promotes cell proliferation, migration and invasion by targeting CYLD.
|












