验证数据展示
经过测试的应用
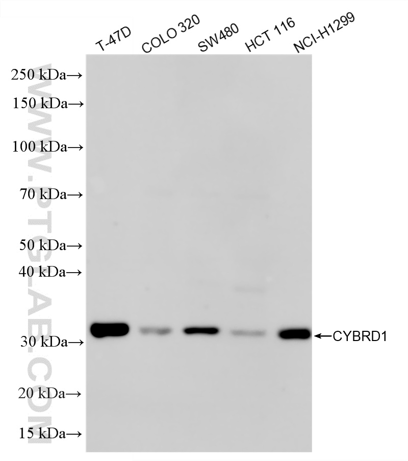
| Positive WB detected in | T-47D cells, mouse colon tissue, rat colon tissue, COLO 320 cells, SW480 cells, HCT 116 cells, NCI-H1299 cells |
推荐稀释比
| 应用 | 推荐稀释比 |
|---|---|
| Western Blot (WB) | WB : 1:500-1:2000 |
| It is recommended that this reagent should be titrated in each testing system to obtain optimal results. | |
| Sample-dependent, Check data in validation data gallery. | |
产品信息
86245-1-RR targets CYBRD1 in WB, ELISA applications and shows reactivity with human, mouse, rat samples.
| 经测试应用 | WB, ELISA Application Description |
| 经测试反应性 | human, mouse, rat |
| 免疫原 |
CatNo: Ag24968 Product name: Recombinant human CYBRD1 protein Source: e coli.-derived, PET30a Tag: 6*His Domain: 148-286 aa of BC065290 Sequence: PLSLRAFLMPIHVYSGIVIFGTVIATALMGLTEKLIFSLRDPAYSTFPPEGVFVNTLGLLILVFGALIFWIVTRPQWKRPKEPNSTILHPNGGTEQGARGSMPAYSGNNMDKSDSELNNEVAARKRNLALDEAGQRSTM 种属同源性预测 |
| 宿主/亚型 | Rabbit / IgG |
| 抗体类别 | Recombinant |
| 产品类型 | Antibody |
| 全称 | cytochrome b reductase 1 |
| 别名 | Cytochrome b reductase 1, DCYTB, Duodenal cytochrome b, EC:7.2.1.3, Ferric chelate reductase 3 |
| 观测分子量 | 25-31 kDa |
| GenBank蛋白编号 | BC065290 |
| 基因名称 | CYBRD1 |
| Gene ID (NCBI) | 79901 |
| RRID | AB_3744746 |
| 偶联类型 | Unconjugated |
| 形式 | Liquid |
| 纯化方式 | Protein A purification |
| UNIPROT ID | Q53TN4 |
| 储存缓冲液 | PBS with 0.02% sodium azide and 50% glycerol, pH 7.3. |
| 储存条件 | Store at -20°C. Stable for one year after shipment. Aliquoting is unnecessary for -20oC storage. |
背景介绍
CYBRD1, also known as Cytochrome b Reductase 1, is a gene encoding a key enzyme involved in iron metabolism. It functions primarily in duodenal enterocytes, where it reduces dietary ferric iron (Fe³⁺) to the more soluble ferrous form (Fe²⁺) at the brush border membrane. This reduction step is crucial for the subsequent uptake of iron into the body via the divalent metal transporter 1 (DMT1). CYBRD1's activity is therefore essential for maintaining systemic iron homeostasis, and its expression is regulated by body iron stores and hypoxia. Dysregulation of this gene has been implicated in disorders of iron overload, such as hereditary hemochromatosis, highlighting its significant role in human iron physiology.
实验方案
| Product Specific Protocols | |
|---|---|
| WB protocol for CYBRD1 antibody 86245-1-RR | Download protocol |
| Standard Protocols | |
|---|---|
| Click here to view our Standard Protocols |


