验证数据展示
经过测试的应用
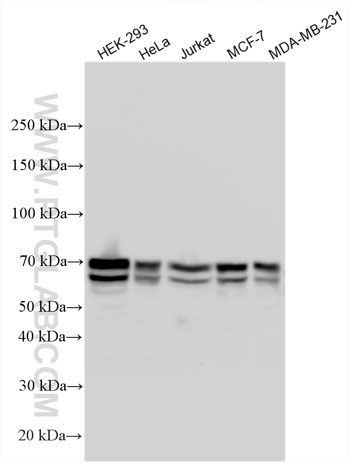
| Positive WB detected in | HEK-293 cells, HeLa cells, Jurkat cells, MCF-7 cells, MDA-MB-231 cells |
| Positive IHC detected in | mouse heart tissue, human ovary cancer tissue Note: suggested antigen retrieval with TE buffer pH 9.0; (*) Alternatively, antigen retrieval may be performed with citrate buffer pH 6.0 |
| Positive IF/ICC detected in | HEK-293 cells |
推荐稀释比
| 应用 | 推荐稀释比 |
|---|---|
| Western Blot (WB) | WB : 1:2000-1:10000 |
| Immunohistochemistry (IHC) | IHC : 1:50-1:500 |
| Immunofluorescence (IF)/ICC | IF/ICC : 1:20-1:200 |
| It is recommended that this reagent should be titrated in each testing system to obtain optimal results. | |
| Sample-dependent, Check data in validation data gallery. | |
发表文章中的应用
| IF | See 1 publications below |
产品信息
22357-1-AP targets CXorf15 in WB, IHC, IF/ICC, ELISA applications and shows reactivity with human, mouse samples.
| 经测试应用 | WB, IHC, IF/ICC, ELISA Application Description |
| 文献引用应用 | IF |
| 经测试反应性 | human, mouse |
| 文献引用反应性 | human |
| 免疫原 |
CatNo: Ag17936 Product name: Recombinant human CXorf15 protein Source: e coli.-derived, PGEX-4T Tag: GST Domain: 447-528 aa of BC101576 Sequence: ELNEKVEVLKEQVSIKAAIKAANRDLATPVMQPCTALDSHKELNTSSKRALGAHLEAEPKSQRSAVQKPPSTGSAPAIESVD 种属同源性预测 |
| 宿主/亚型 | Rabbit / IgG |
| 抗体类别 | Polyclonal |
| 产品类型 | Antibody |
| 全称 | chromosome X open reading frame 15 |
| 别名 | ELRG, Environmental lipopolysaccharide-responding gene protein, Factor inhibiting ATF4-mediated transcription, FIAT, Gamma taxilin |
| 计算分子量 | 528 aa, 61 kDa |
| 观测分子量 | 66-70 kDa |
| GenBank蛋白编号 | BC101576 |
| 基因名称 | CXorf15 |
| Gene ID (NCBI) | 55787 |
| RRID | AB_2879087 |
| 偶联类型 | Unconjugated |
| 形式 | Liquid |
| 纯化方式 | Antigen Affinity purified |
| UNIPROT ID | Q9NUQ3 |
| 储存缓冲液 | PBS with 0.02% sodium azide and 50% glycerol, pH 7.3. |
| 储存条件 | Store at -20°C. Stable for one year after shipment. Aliquoting is unnecessary for -20oC storage. |
实验方案
| Product Specific Protocols | |
|---|---|
| IF protocol for CXorf15 antibody 22357-1-AP | Download protocol |
| IHC protocol for CXorf15 antibody 22357-1-AP | Download protocol |
| WB protocol for CXorf15 antibody 22357-1-AP | Download protocol |
| Standard Protocols | |
|---|---|
| Click here to view our Standard Protocols |




