验证数据展示
经过测试的应用
| Positive WB detected in | rat liver tissue |
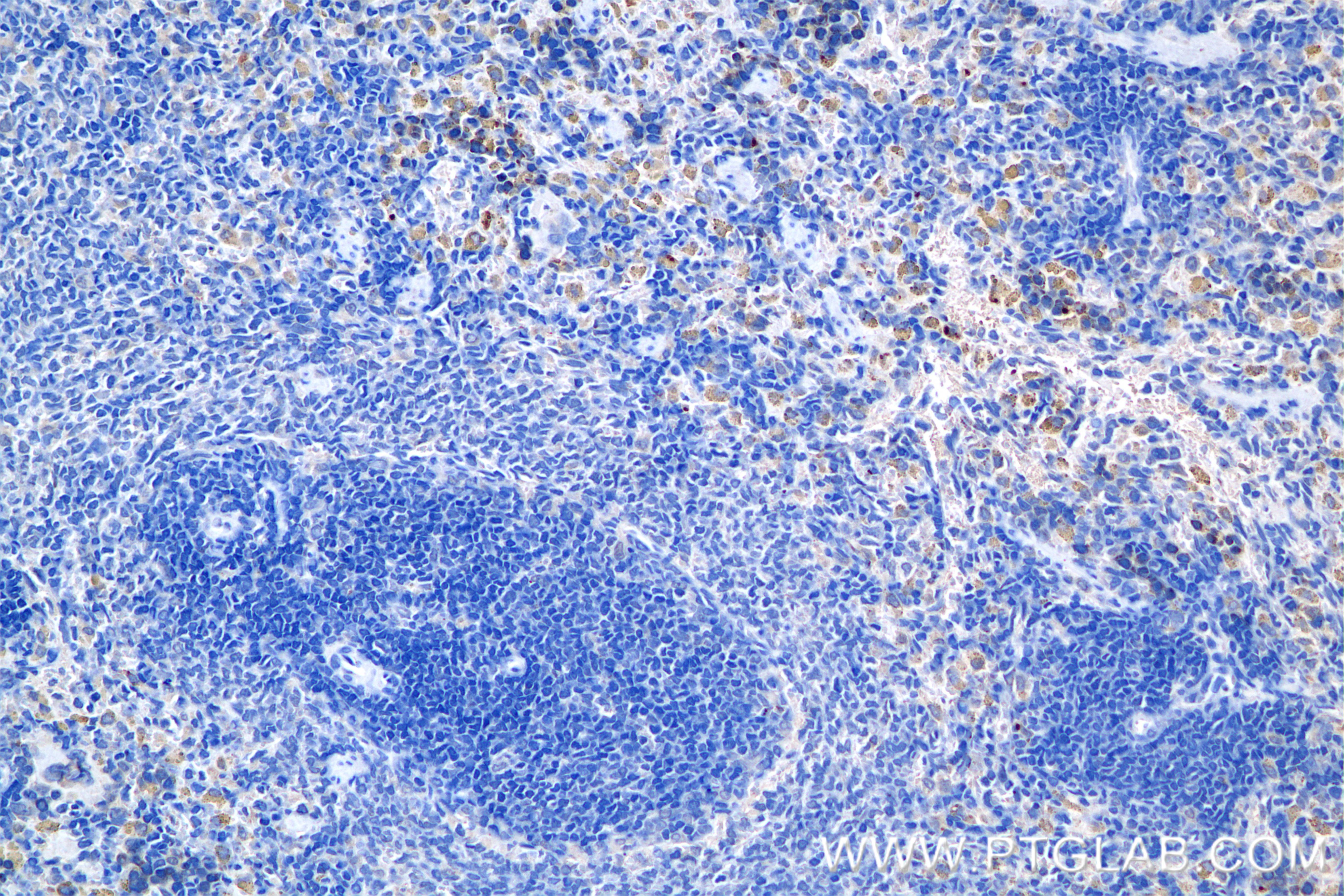
| Positive IHC detected in | rat spleen tissue Note: suggested antigen retrieval with TE buffer pH 9.0; (*) Alternatively, antigen retrieval may be performed with citrate buffer pH 6.0 |
推荐稀释比
| 应用 | 推荐稀释比 |
|---|---|
| Western Blot (WB) | WB : 1:1000-1:4000 |
| Immunohistochemistry (IHC) | IHC : 1:250-1:1000 |
| It is recommended that this reagent should be titrated in each testing system to obtain optimal results. | |
| Sample-dependent, Check data in validation data gallery. | |
产品信息
85144-5-RR targets CXCR2 in WB, IHC, ELISA applications and shows reactivity with mouse, rat samples.
| 经测试应用 | WB, IHC, ELISA Application Description |
| 经测试反应性 | mouse, rat |
| 免疫原 |
CatNo: Eg2228 Product name: Recombinant Mouse CXCR2 protein (rFc Tag) Source: mammalian cells-derived, pHZ-KIsec-N-rFc Tag: N-rFc Domain: 1-47 aa of NM_009909.3 Sequence: MGEFKVDKFNIEDFFSGDLDIFNYSSGMPSILPDAVPCHSENLEINS 种属同源性预测 |
| 宿主/亚型 | Rabbit / IgG |
| 抗体类别 | Recombinant |
| 产品类型 | Antibody |
| 全称 | interleukin 8 receptor, beta |
| 别名 | 242766H6, CD182, Cmkar2, C-X-C chemokine receptor type 2, CXC-R2 |
| 计算分子量 | 40 kDa |
| 观测分子量 | 45 kDa |
| GenBank蛋白编号 | NM_009909.3 |
| 基因名称 | Cxcr2 |
| Gene ID (NCBI) | 12765 |
| 偶联类型 | Unconjugated |
| 形式 | Liquid |
| 纯化方式 | Protein A purification |
| UNIPROT ID | P35343 |
| 储存缓冲液 | PBS with 0.02% sodium azide and 50% glycerol, pH 7.3. |
| 储存条件 | Store at -20°C. Stable for one year after shipment. Aliquoting is unnecessary for -20oC storage. |
背景介绍
CXCR2, also named as Cmkar2, Gpcr16, Il8rb or CD182, belongs to the G-protein coupled receptor 1 family. CXCR2 is a receptor for interleukin-8 which is a powerful neutrophil chemotactic factor. Binding of IL-8 to the receptor causes activation of neutrophils. This response is mediated via a G-protein that activates a phosphatidylinositol-calcium second messenger system. CXCR2 binds to IL-8 with high affinity. CXCR2 also binds with high affinity to CXCL3, GRO/MGSA and NAP-2.
实验方案
| Product Specific Protocols | |
|---|---|
| IHC protocol for CXCR2 antibody 85144-5-RR | Download protocol |
| WB protocol for CXCR2 antibody 85144-5-RR | Download protocol |
| Standard Protocols | |
|---|---|
| Click here to view our Standard Protocols |


