验证数据展示
经过测试的应用
| Positive WB detected in | PMA treated A549 cells |
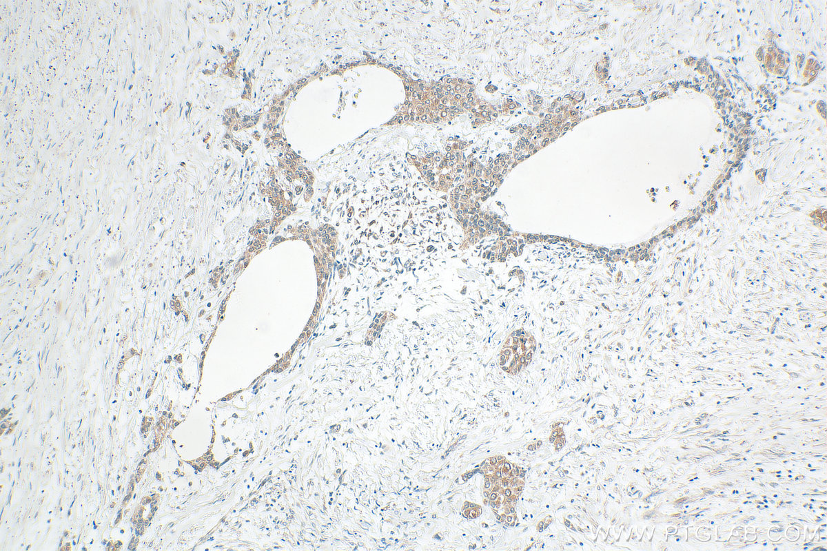
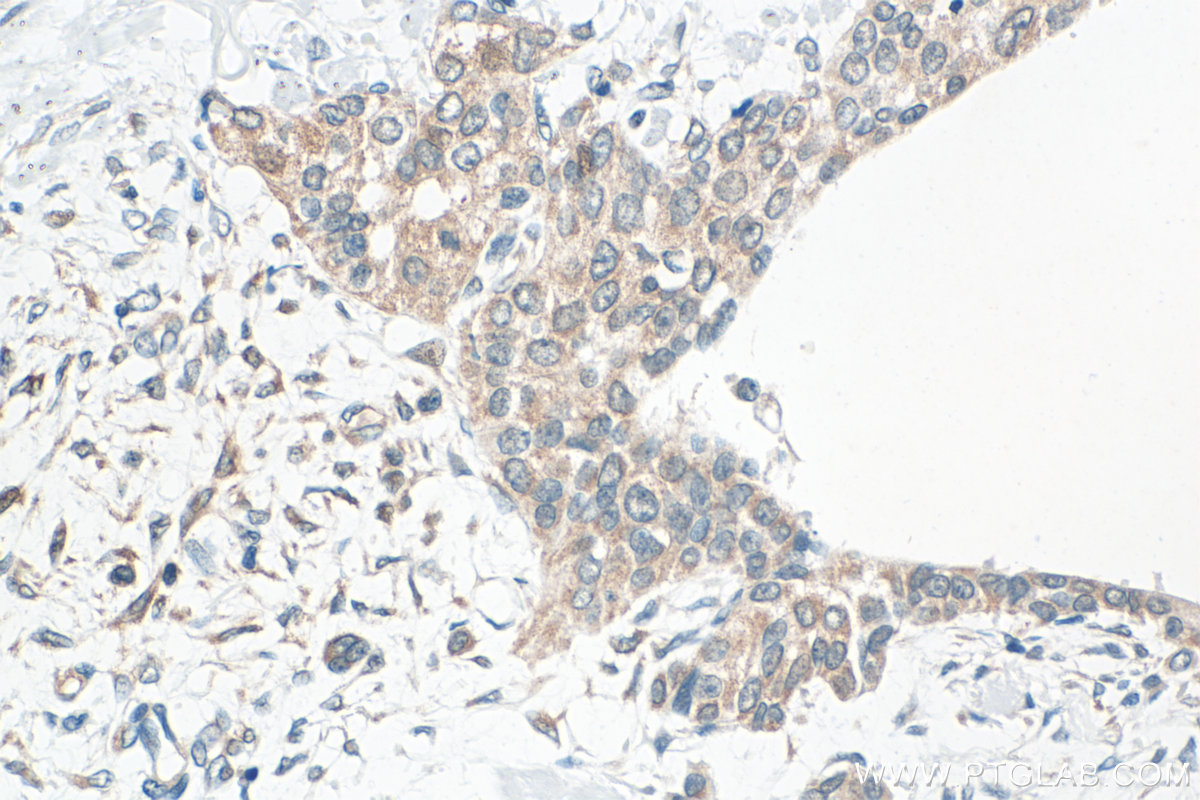
| Positive IHC detected in | human intrahepatic cholangiocarcinoma tissue, human urothelial carcinoma tissue Note: suggested antigen retrieval with TE buffer pH 9.0; (*) Alternatively, antigen retrieval may be performed with citrate buffer pH 6.0 |
推荐稀释比
| 应用 | 推荐稀释比 |
|---|---|
| Western Blot (WB) | WB : 1:500-1:1000 |
| Immunohistochemistry (IHC) | IHC : 1:200-1:800 |
| It is recommended that this reagent should be titrated in each testing system to obtain optimal results. | |
| Sample-dependent, Check data in validation data gallery. | |
发表文章中的应用
| WB | See 1 publications below |
| IHC | See 1 publications below |
产品信息
10809-1-AP targets LIX/CXCL5 in WB, IHC, ELISA applications and shows reactivity with human samples.
| 经测试应用 | WB, IHC, ELISA Application Description |
| 文献引用应用 | WB, IHC |
| 经测试反应性 | human |
| 文献引用反应性 | human |
| 免疫原 |
CatNo: Ag1079 Product name: Recombinant human CXCL5 protein Source: e coli.-derived, PGEX-4T Tag: GST Domain: 1-114 aa of BC008376 Sequence: MSLLSSRAARVPGPSSSLCALLVLLLLLTQPGPIASAGPAAAVLRELRCVCLQTTQGVHPKMISNLQVFAIGPQCSKVEVVASLKNGKEICLDPEAPFLKKVIQKILDGGNKEN 种属同源性预测 |
| 宿主/亚型 | Rabbit / IgG |
| 抗体类别 | Polyclonal |
| 产品类型 | Antibody |
| 全称 | chemokine (C-X-C motif) ligand 5 |
| 别名 | CXCL5, C X C motif chemokine 5, C-X-C motif chemokine 5, CXCL 5, CXCL-5 |
| 计算分子量 | 12 kDa |
| 观测分子量 | 10-12 kDa |
| GenBank蛋白编号 | BC008376 |
| 基因名称 | CXCL5 |
| Gene ID (NCBI) | 6374 |
| RRID | AB_2292366 |
| 偶联类型 | Unconjugated |
| 形式 | Liquid |
| 纯化方式 | Antigen affinity purification |
| UNIPROT ID | P42830 |
| 储存缓冲液 | PBS with 0.02% sodium azide and 50% glycerol, pH 7.3. |
| 储存条件 | Store at -20°C. Stable for one year after shipment. Aliquoting is unnecessary for -20oC storage. |
背景介绍
Chemokines are a class of pro-inflammatory cytokines that can recruit and activate chemotactic cells. CXCL5 is a member of the chemokine family binding CXCR2, a G-protein coupled receptor. CXCL5 is a chemokine that promotes tumor formation by triggering the migration of immune cells to tumors and promotes immmuno-suppressive characteristics of the tumor microenvironment. CXCL5 can also promote tumor cell metastasis and recruit vascular endothelial cells for angiogenesis.
实验方案
| Product Specific Protocols | |
|---|---|
| IHC protocol for LIX/CXCL5 antibody 10809-1-AP | Download protocol |
| WB protocol for LIX/CXCL5 antibody 10809-1-AP | Download protocol |
| Standard Protocols | |
|---|---|
| Click here to view our Standard Protocols |
发表文章
| Species | Application | Title |
|---|---|---|
Stem Cells Advantages of Cell Proliferation and Immune Regulation in CD146+NESTIN+ HUMSCs: Insights from Single-Cell RNA Sequencing | ||
Cancer Lett Distinct Immunophenotypic Profiles and Neutrophil Heterogeneity in Colorectal Cancer |



