验证数据展示
经过测试的应用
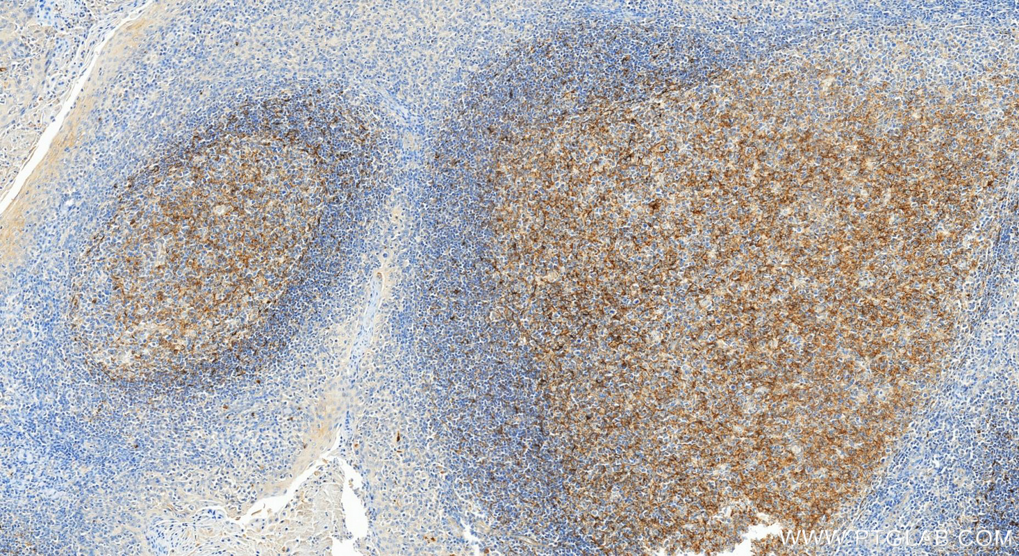
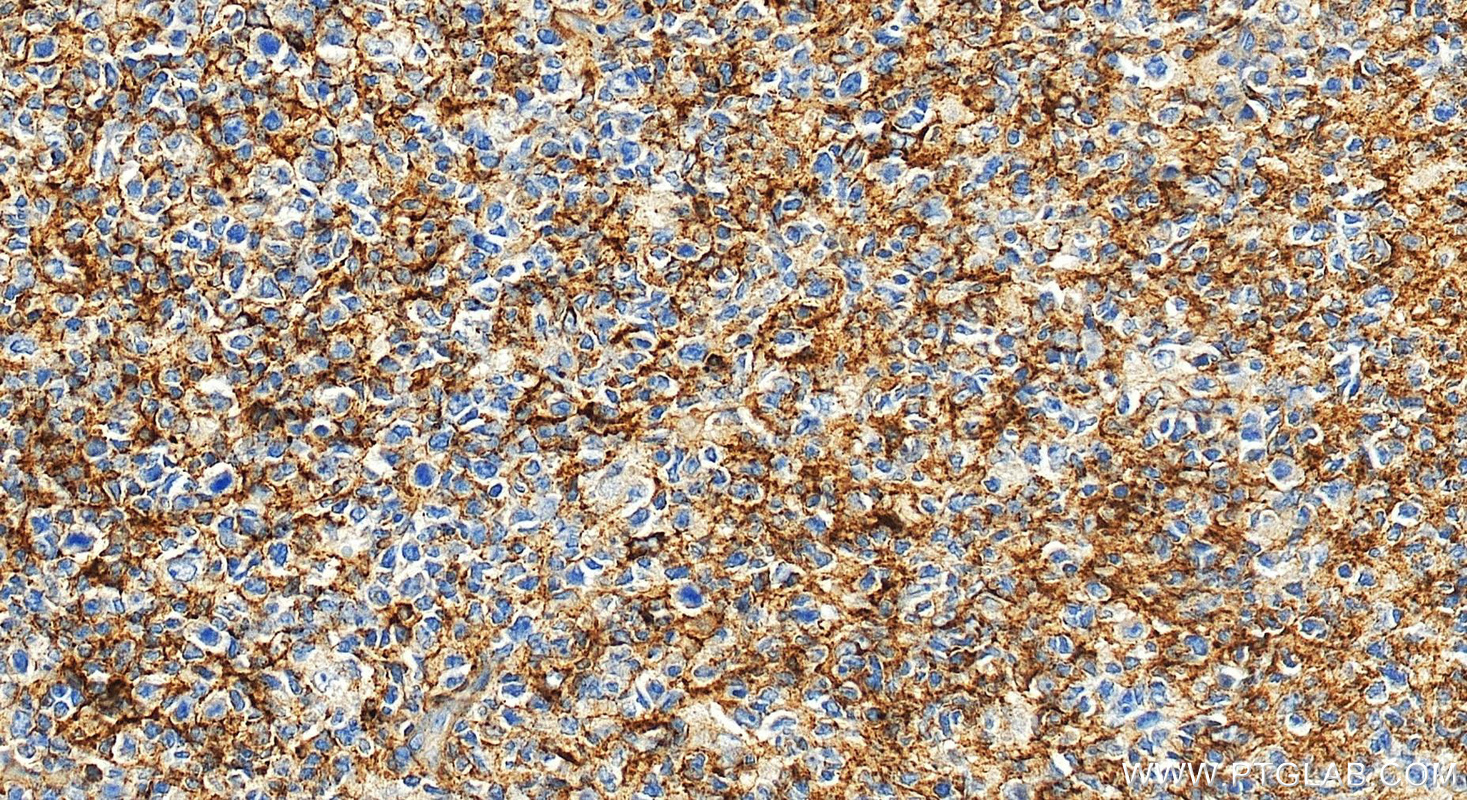
| Positive IHC detected in | human tonsillitis tissue Note: suggested antigen retrieval with TE buffer pH 9.0; (*) Alternatively, antigen retrieval may be performed with citrate buffer pH 6.0 |
推荐稀释比
| 应用 | 推荐稀释比 |
|---|---|
| Immunohistochemistry (IHC) | IHC : 1:1000-1:4000 |
| It is recommended that this reagent should be titrated in each testing system to obtain optimal results. | |
| Sample-dependent, Check data in validation data gallery. | |
产品信息
10927-1-AP targets CXCL13/BCA1 in WB, IHC, IF, ELISA applications and shows reactivity with human samples.
| 经测试应用 | IHC, ELISA Application Description |
| 文献引用应用 | WB, IHC, IF |
| 经测试反应性 | human |
| 文献引用反应性 | human |
| 免疫原 |
CatNo: Ag1358 Product name: Recombinant human CXCL13 protein Source: e coli.-derived, PGEX-4T Tag: GST Domain: 1-109 aa of BC012589 Sequence: MKFISTSLLLMLLVSSLSPVQGVLEVYYTSLRCRCVQESSVFIPRRFIDRIQILPRGNGCPRKEIIVWKKNKSIVCVDPQAEWIQRMMEVLRKRSSSTLPVPVFKRKIP 种属同源性预测 |
| 宿主/亚型 | Rabbit / IgG |
| 抗体类别 | Polyclonal |
| 产品类型 | Antibody |
| 全称 | chemokine (C-X-C motif) ligand 13 |
| 别名 | CXCL13, B cell-attracting chemokine 1, BCA 1, BCA1, BCA-1 |
| 计算分子量 | 13 kDa |
| GenBank蛋白编号 | BC012589 |
| 基因名称 | CXCL13/BCA1 |
| Gene ID (NCBI) | 10563 |
| RRID | AB_2086050 |
| 偶联类型 | Unconjugated |
| 形式 | Liquid |
| 纯化方式 | Antigen affinity purification |
| UNIPROT ID | O43927 |
| 储存缓冲液 | PBS with 0.02% sodium azide and 50% glycerol, pH 7.3. |
| 储存条件 | Store at -20°C. Stable for one year after shipment. Aliquoting is unnecessary for -20oC storage. |
背景介绍
BLR1 (Burkitt lymphoma receptor-1), also called CXCR5, is highly expressed on Burkitt lymphoma cells and B lymphocytes. It may therefore function in the homing of B lymphocytes to follicles. It was reported that the B cell chemokine CXCL13 is elevated in MS serum and cerebrospinal fluid. CXCL13 is also regarded as a proposed serum biomarker of synovitis in RA( Rheumatoid arthritis). CXCL13 consists of a 22-aa signal peptide and a 87-aa mature poly-peptide.
实验方案
| Product Specific Protocols | |
|---|---|
| IHC protocol for CXCL13/BCA1 antibody 10927-1-AP | Download protocol |
| Standard Protocols | |
|---|---|
| Click here to view our Standard Protocols |
发表文章
| Species | Application | Title |
|---|---|---|
Sci Adv Defined lifestyle and germline factors predispose Asian populations to gastric cancer. | ||
Nat Commun B cells sustain inflammation and predict response to immune checkpoint blockade in human melanoma. | ||
Genomics MIN score predicts primary response to infliximab/adalimumab and vedolizumab therapy in patients with inflammatory bowel diseases. | ||
Aging (Albany NY) Immune profiling reveals prognostic genes in high-grade serous ovarian cancer. | ||
J Immunol Villitis of unknown etiology is associated with a distinct pattern of chemokine up-regulation in the feto-maternal and placental compartments: implications for conjoint maternal allograft rejection and maternal anti-fetal graft-versus-host disease. | ||
Front Immunol A Standardized Analysis of Tertiary Lymphoid Structures in Human Melanoma: Disease Progression- and Tumor Site-Associated Changes With Germinal Center Alteration. |

