验证数据展示
经过测试的应用
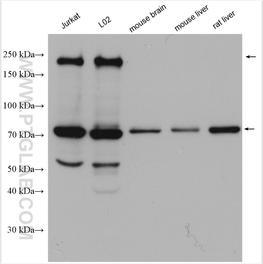
| Positive WB detected in | Jurkat cells, human brain tissue, human liver tissue, mouse liver tissue, rat brain tissue, mouse brain tissue, L02 cells, rat liver tissue |
| Positive IP detected in | mouse brain tissue |
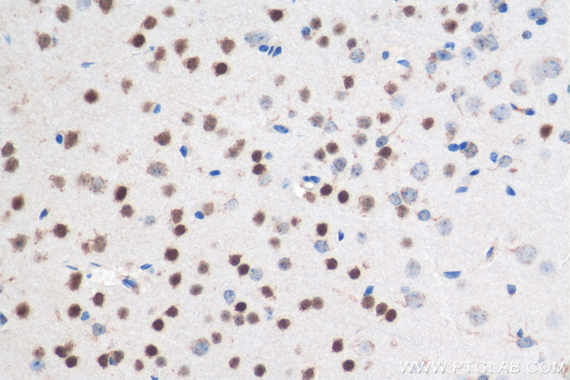
| Positive IHC detected in | mouse brain tissue Note: suggested antigen retrieval with TE buffer pH 9.0; (*) Alternatively, antigen retrieval may be performed with citrate buffer pH 6.0 |
| Positive IF/ICC detected in | SH-SY5Y cells |
推荐稀释比
| 应用 | 推荐稀释比 |
|---|---|
| Western Blot (WB) | WB : 1:2000-1:16000 |
| Immunoprecipitation (IP) | IP : 0.5-4.0 ug for 1.0-3.0 mg of total protein lysate |
| Immunohistochemistry (IHC) | IHC : 1:1000-1:4000 |
| Immunofluorescence (IF)/ICC | IF/ICC : 1:200-1:800 |
| It is recommended that this reagent should be titrated in each testing system to obtain optimal results. | |
| Sample-dependent, Check data in validation data gallery. | |
产品信息
11733-1-AP targets CUX1 in WB, IHC, IF/ICC, IP, ChIP, ELISA applications and shows reactivity with human, mouse, rat samples.
| 经测试应用 | WB, IHC, IF/ICC, IP, ELISA Application Description |
| 文献引用应用 | WB, IHC, IF, IP, ChIP |
| 经测试反应性 | human, mouse, rat |
| 文献引用反应性 | human, mouse, rat, sheep |
| 免疫原 |
CatNo: Ag2335 Product name: Recombinant human CUX1 protein Source: e coli.-derived, PGEX-4T Tag: GST Domain: 1-341 aa of BC025422 Sequence: MAANVGSMFQYWKRFDLQQLQRELDATATVLANRQDESEQSRKRLIEQSREFKKNTPEDLRKQVAPLLKSFQGEIDALSKRSKEAEAAFLNVYKRLIDVPDPVPALDLGQQLQLKVQRLHDIETENQKLRETLEEYNKEFAEVKNQEVTIKALKEKIREYEQTLKNQAETIALEKEQKLQNDFAEKERKLQETQMSTTSKLEEAEHKVQSLQTALEKTRTELFDLKTKYDEETTAKADEIEMIMTDLERANQRAEVAQREAETLREQLSSANHSLQLASQIQKAPDVAIEVLTRSSLEVELAAKEREIAQLVEDVQRLQASLTKLRENSASQISQLEQQLS 种属同源性预测 |
| 宿主/亚型 | Rabbit / IgG |
| 抗体类别 | Polyclonal |
| 产品类型 | Antibody |
| 全称 | cut-like homeobox 1 |
| 别名 | COY1, Clox, CDP1, CDP/Cut, CDP |
| 计算分子量 | 676 aa, 77 kDa |
| 观测分子量 | 80 kDa |
| GenBank蛋白编号 | BC025422 |
| 基因名称 | CUX1 |
| Gene ID (NCBI) | 1523 |
| RRID | AB_2086995 |
| 偶联类型 | Unconjugated |
| 形式 | Liquid |
| 纯化方式 | Antigen affinity purification |
| UNIPROT ID | Q13948 |
| 储存缓冲液 | PBS with 0.02% sodium azide and 50% glycerol, pH 7.3. |
| 储存条件 | Store at -20°C. Stable for one year after shipment. Aliquoting is unnecessary for -20oC storage. |
背景介绍
CUX1 is a transcription factors that regulates a large number of genes and microRNAs involved in multiple cellular processes, such as DNA replication, progression into S phase and later, the spindle assembly checkpoint that controls progression through mitosis. Cux1, a marker of supragranular layers. CUX1 acts by preventing binding of positively-acting CCAAT factors to promoters to mediated its gene reperssion. Also it's a component of nf-munr repressor, and binds to the matrix attachment regions (MARs) (5' and 3') of the immunoglobulin heavy chain enhancer. It can represses T-cell receptor (TCR) beta enhancer function by binding to MARbeta, an ATC-rich DNA sequence located upstream of the TCR beta enhancer. CUX1 protein containing three cut repeats and a homeodomain called p200, there are several truncated isoforms that have been identified. These isoforms include a testis-specific isoform containing one cut repeat and the homeodomain called p55. In situ hybridization showed that mRNA for p55 was most abundant in round spermatids. Additional isoforms include p75, a protein similar in structure to p55, derived from the use of an alternate promoter in intron 20 ; the cut alternately spliced protein (CASP), a Golgi protein that contains amino-terminal sequences but none of the cut repeats or homeodomains ; and several other isoforms (p80, p90, p110, and p150) that appear to arise via proteolytic processing ]. This antibody can recognizes full-length p200 Cux1 and CASP protein (70~80kDa).
实验方案
| Product Specific Protocols | |
|---|---|
| IF protocol for CUX1 antibody 11733-1-AP | Download protocol |
| IHC protocol for CUX1 antibody 11733-1-AP | Download protocol |
| IP protocol for CUX1 antibody 11733-1-AP | Download protocol |
| WB protocol for CUX1 antibody 11733-1-AP | Download protocol |
| Standard Protocols | |
|---|---|
| Click here to view our Standard Protocols |
发表文章
| Species | Application | Title |
|---|---|---|
Adv Sci (Weinh) IFITM2 Modulates Endocytosis Maintaining Neural Stem Cells in Developing Neocortex | ||
Sci Adv IgSF11 homophilic adhesion proteins promote layer-specific synaptic assembly of the cortical interneuron subtype. | ||
Nat Commun Cut-like homeobox 1 (CUX1) tumor suppressor gene haploinsufficiency induces apoptosis evasion to sustain myeloid leukemia.
|















