验证数据展示
产品信息
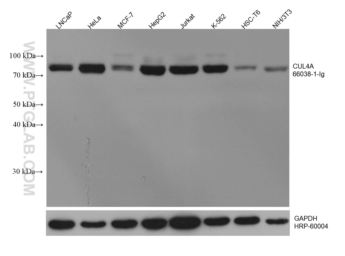
66038-1-PBS targets CUL4A in WB, IHC, IF/ICC, IP, Indirect ELISA applications and shows reactivity with human, mouse, rat, pig, monkey samples.
| 经测试应用 | WB, IHC, IF/ICC, IP, Indirect ELISA Application Description |
| 经测试反应性 | human, mouse, rat, pig, monkey |
| 免疫原 |
CatNo: Ag18089 Product name: Recombinant human CUL4A protein Source: e coli.-derived, PET28a Tag: 6*His Domain: 460-759 aa of BC008308 Sequence: RLLVGKSASVDAEKSMLSKLKHECGAAFTSKLEGMFKDMELSKDIMVHFKQHMQNQSDSGPIDLTVNILTMGYWPTYTPMEVHLTPEMIKLQEVFKAFYLGKHSGRKLQWQTTLGHAVLKAEFKEGKKEFQVSLFQTLVLLMFNEGDGFSFEEIKMATGIEDSELRRTLQSLACGKARVLIKSPKGKEVEDGDKFIFNGEFKHKLFRIKINQIQMKETVEEQVSTTERVFQDRQYQIDAAIVRIMKMRKTLGHNLLVSELYNQLKFPVKPGDLKKRIESLIDRDYMERDKDNPNQYHYVA 种属同源性预测 |
| 宿主/亚型 | Mouse / IgG1 |
| 抗体类别 | Monoclonal |
| 产品类型 | Antibody |
| 全称 | cullin 4A |
| 别名 | 1A7F12, CUL 4A, CUL-4A, cullin 4A |
| 计算分子量 | 77 kDa |
| 观测分子量 | 77 kDa, 88 kDa |
| GenBank蛋白编号 | BC008308 |
| 基因名称 | CUL4A |
| Gene ID (NCBI) | 8451 |
| RRID | AB_11042446 |
| 偶联类型 | Unconjugated |
| 形式 | Liquid |
| 纯化方式 | Protein A purification |
| UNIPROT ID | Q13619 |
| 储存缓冲液 | PBS only, pH 7.3. |
| 储存条件 | Store at -80°C. The product is shipped with ice packs. Upon receipt, store it immediately at -80°C |
背景介绍
Cullin proteins assemble a large number of RING E3 ubiquitin ligases, participating in the proteolysis through the ubiquitin-proteasome pathway. Two cullin 4 (CUL4) proteins, CUL4A (87 kDa) and CUL4B(104 kDa), have been identified. The two CUL4 sequences are 83% identical. They target certain proteins for degradation by binding protein DDB1 to form a CUL4-DDB1 ubiquitin ligase complex with DDB. They form two individual E3 ligases, DDB1-CUL4ADDB2 and DDB1-CUL4BDDB2 in this process. CUL4A appeared in both the nucleus and the cytosol, suggesting a more complex mechanism for entering the nucleus. CUL4B is localized in the nucleus and facilitates the transfer of DDB1 into the nucleus independently of DDB2.










