验证数据展示
产品信息
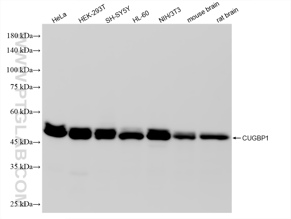
86227-4-PBS targets CUGBP1 in WB, Indirect ELISA applications and shows reactivity with human, mouse, rat samples.
| 经测试应用 | WB, Indirect ELISA Application Description |
| 经测试反应性 | human, mouse, rat |
| 免疫原 |
CatNo: Ag3677 Product name: Recombinant human CUGBP1 protein Source: e coli.-derived, PGEX-4T Tag: GST Domain: 107-479 aa of BC031079 Sequence: DRKLFIGMISKKCTENDIRVMFSSFGQIEECRILRGPDGLSRGCAFVTFTTRAMAQTAIKAMHQAQTMEGCSSPMVVKFADTQKDKEQKRMAQQLQQQMQQISAASVWGNLAGLNTLGPQYLALLQQTASSGNLNTLSSLHPMGGLNAMQLQNLAALAAAASAAQNTPSGTNALTTSSSPLSVLTSSAGSSPSSSSSNSVNPIASLGALQTLAGATAGLNVGSLAGMAALNGGLGSSGLSNGTGSTMEALTQAYSGIQQYAAAALPTLYNQNLLTQQSIGAAGSQKEGPEGANLFIYHLPQEFGDQDLLQMFMPFGNVVSAKVFIDKQTNLSKCFGFVSYDNPVSAQAAIQSMNGFQIGMKRLKVQLKRSKND 种属同源性预测 |
| 宿主/亚型 | Rabbit / IgG |
| 抗体类别 | Recombinant |
| 产品类型 | Antibody |
| 全称 | CUG triplet repeat, RNA binding protein 1 |
| 别名 | 50 kDa nuclear polyadenylated RNA-binding protein, Bruno like protein 2, BRUNOL2, Bruno-like protein 2, CELF 1 |
| 计算分子量 | 483 aa, 52 kDa |
| 观测分子量 | 51-55 kDa |
| GenBank蛋白编号 | BC031079 |
| 基因名称 | CUGBP1 |
| Gene ID (NCBI) | 10658 |
| RRID | AB_3744729 |
| 偶联类型 | Unconjugated |
| 形式 | Liquid |
| 纯化方式 | Protein A purification |
| UNIPROT ID | Q92879 |
| 储存缓冲液 | PBS only, pH 7.3. |
| 储存条件 | Store at -80°C. The product is shipped with ice packs. Upon receipt, store it immediately at -80°C |
背景介绍
CUG triplet repeat RNA binding protein 1 (CUGBP1) is a member of the CUGBP Elav-like family (CELF), which plays an important role in cardiac development and function (PMID: 17130239). CUGBP1 has also been shown to localize to cytoplasmic stress granules when cells are stressed.

